|
½É³»¸·¿° ȯÀÚ¿¡°Ô Ç×»ýÁ¦ Åõ¿© ¹× Áõ»ó Ä¡·á¸¦ ½ÃÇàÇÏ´Â °Íº¸´Ù Á¶±â¼ö¼úÀ» ÅëÇØ Àû±ØÀûÀÎ Ä¡·á¸¦ ÇÏ´Â °ÍÀÌ ÇÕº´Áõ ¿¹¹æ¿¡ È¿°úÀûÀ̶ó´Â ¿¬±¸°á°ú°¡ ¹ßÇ¥µÅ ÇаèÀÇ ÁÖ¸ñÀ» ¹Þ°í ÀÖ´Ù.
¼¿ï¾Æ»êº´¿ø ½ÉÀå³»°ú °´öÇö ±³¼ö[»çÁø]°¡ ¼¼°èÀû ÀǰúÇÐ Àú³ÎÀÎ NEJM(New England Journal of Medicine)¿¡ °ÔÀç(¹Ì±¹ µ¿ºÎ ½Ã°£ 27ÀÏ ¿ÀÈÄ 5½Ã)ÇÑ ³í¹®¿¡ µû¸£¸é 48½Ã°£ ³» Á¶±â ¼ö¼ú·Î ½É³»¸·¿°À» Ä¡·áÇÒ °æ¿ì ÇÕº´Áõ ¹ß»ý·üÀ» ±âÁ¸ 28.2%¿¡¼ 2.7%±îÁö ³·Ãâ ¼ö ÀÖ´Â °ÍÀ¸·Î ³ªÅ¸³µ´Ù.
À̹ø ¿¬±¸´Â ½ÉÀåÆÇ¸·¿¡ ¿°ÁõÀ» À¯¹ßÇØ ³ôÀº »ç¸Á·ü°ú ½É°¢ÇÑ ÈÄÀ¯ÁõÀ» ¹ß»ý½ÃŰ´Â ½É³»¸·¿°¿¡ °üÇÑ Ä¡·á¹ýÀ» Á¦½ÃÇÑ °ÍÀ¸·Î, ½É³»¸·¿° ȯÀÚÀÇ Ä¡·á ±âÁØÀ» ±âÁ¸ ¡®Ç×»ýÁ¦ Åõ¿©¿Í Áõ»ó Ä¡·á¡¯¿¡¼ Áø´Ü ÈÄ 48½Ã°£ ¾È¿¡ ¼ö¼úÀ» ½ÃÇàÇÏ´Â ¡®Á¶±â Àû±Ø ¼ö¼ú¡¯·Î »õ·Ó°Ô Á¤¸³ÇØ¾ß ÇÑ´Ù´Â ³»¿ëÀÌ´Ù.
½É³»¸·¿°Àº Ç÷°üÀ» µû¶ó µ¹´ø ¼¼±ÕÀ̳ª °õÆÎÀ̰¡ ½ÉÀåÆÇ¸·¿¡ ´Þ¶óºÙ¾î °¨¿°À» ÀÏÀ¸Å°´Â Áõ»óÀ» ÁöĪÇÏ´Â °ÍÀ¸·Î Á¤»óÀο¡°Ô´Â Å« ¹®Á¦°¡ µÇÁö ¾ÊÁö¸¸ ½ÉÀå ÆÇ¸·¿¡ º´ÀÌ Àְųª ÀΰøÆÇ¸· ¶Ç´Â ½ÉÀ屸Á¶¿¡ ÀÌ»óÀÌ ÀÖ´Â °æ¿ì¿¡´Â ÆÇ¸· ¼Õ»ó, ½ÉÀå¹Úµ¿ ÀÌ»ó, ½ÉºÎÀüÁõ, ³úÁ¹Áß, ½É±Ù°æ»ö, ´ëµ¿¸Æ·ù µî Ä¡¸íÀû ÇÕº´ÁõÀÌ ¹ß»ýÇÑ´Ù.
½É³»¸·¿°Àº Ä¡·áÇÏÁö ¾Ê°í ¹æÄ¡ÇÏ¸é »ç¸Á·üÀÌ 100%¿¡ À̸£´Â °ÍÀ¸·Î ¾Ë·ÁÁ® ÀÖ´Ù.
|

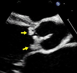
½É³»¸·¿° ȯÀÚÀÇ ½ÉÀåÆÇ¸·¿¡ Ç÷Àü, ¼¼±Õµ¢¾î¸® µîÀÌ Çü¼ºµÈ ½ÉÀåÃÊÀ½ÆÄ »çÁø | Áö±Ý±îÁö ½É³»¸·¿° Ä¡·á´Â 4ÁÖ ³»¿ÜÀÇ Ç×»ýÁ¦ Áֻ縦 ÅëÇØ ¿øÀÎÀÌ µÇ´Â ¼¼±ÕÀ» Á¦°ÅÇϰí ÀÌÈÄ »óȲ¿¡ µû¶ó ¼ö¼úÀ» ÇÏ´Â ¹æ½ÄÀ¸·Î ÀÌ·ïÁ³´Ù.
Á¶±â ¼ö¼úÀº °¨¿°µÈ ½ÉÀåÆÇ¸·¿¡ ´õ Å« ºÎ´ãÀ» Áشٴ »ý°¢¿¡ °ÅÀÇ ½ÃÇàµÇÁö ¾Ê¾ÒÀ¸¸ç Ä¡·á ¹æÇâ°ú °úÁ¤µµ ÀÇ·áÁøÀÇ °³ÀÎÀû ÆÇ´Ü¿¡ ÀÇÇØ Á¿ìµÇ´Â °æ¿ì°¡ ¸¹¾Ò´Ù.
ÇÏÁö¸¸ °´öÇö ±³¼ö´Â ¿¬±¸¸¦ ÅëÇØ Áø´Ü ÈÄ 48½Ã°£ ³»¿¡ ¼ö¼úÀ» ÇÏ´Â Ä¡·á¹ýÀÌ ÇÕº´Áõ ¹ß»ý·üÀ» ÇöÀúÈ÷ ³·Ãâ ¼ö ÀÖ´Ù´Â °ÍÀ» È®ÀÎÇß´Ù.
° ±³¼ö°¡ 2006³âºÎÅÍ 2011³â±îÁö Áø·á ¹ÞÀº ½É³»¸·¿° ȯÀÚ 76¸íÀ» ´ë»óÀ¸·Î 37¸íÀº Á¶±â¼ö¼ú, 39¸íÀº ±âÁ¸ Ä¡·á¹ýÀ» Àû¿ëÇØ ÃßÀû °üÂûÇÑ °á°ú, Á¶±â¼ö¼ú ȯÀÚÀÇ ÇÕº´Áõ ¹ß»ý·üÀº 37¸í Áß 1¸íÀ¸·Î 2.7%¿¡ ºÒ°úÇßÁö¸¸ ±âÁ¸ Ä¡·á¹ý ȯÀÚ±º¿¡¼´Â °°Àº ±â°£ µ¿¾È 39¸í Áß 11¸í¿¡°Ô ³ú°æ»ö, µ¿¸ÆÇùÂø µîÀÌ ¹ß»ýÇØ 28.2%ÀÇ ³ôÀº ÇÕº´Áõ ¹ßº´·üÀ» º¸¿´´Ù.
Ç×»ýÁ¦ Åõ¿©·Î ¼¼±ÕÀ» Á¶ÀýÇÏ´Â 4ÁÖ µ¿¾È ½ÉÀåÆÇ¸· ±â´ÉÀÌ ºü¸¥ ¼Óµµ·Î ¾ÇȵŠ»öÀüÁõ¿¡ µû¸¥ ´Ù¾çÇÑ ÇÕº´ÁõÀÌ ¹ß»ýÇÑ °ÍÀÌ´Ù.
ƯÈ÷, Á¶±â¼ö¼ú ȯÀÚ±º¿¡¼´Â ½Å°æ¸¶ºñ¿Í ¾ð¾îÀå¾Ö °°Àº ½É°¢ÇÑ ÈÄÀ¯ÁõÀ» À¯¹ßÇÏ´Â ³úÁ¹ÁßÀÌ ´Ü ÇѰǵµ ¹ß»ýÇÏÁö ¾Ê¾ÒÀ¸³ª, ±âÁ¸ Ä¡·á¹ý ȯÀÚ±º¿¡¼´Â Áø´Ü ÈÄ 6ÁÖ ¸¸¿¡ 5¸íÀÇ È¯ÀÚ¿¡°Ô ³ú°æ»öÀÌ ¹ß»ýÇß´Ù.
°´öÇö ±³¼ö´Â ¡°»öÀüÁõÀÇ 65%°¡ ³úÇ÷°üÀ» ħ¹üÇÏ°í °á°úÀûÀ¸·Î Àüü ½É³»¸·¿° ȯÀÚÀÇ 20¡40%¿¡¼ ³ú°æ»öÀ¸·Î ÀÎÇÑ »ç¸Á ¹× Àå¾Ö°¡ µ¿¹ÝµÇ¹Ç·Î ÃÖ¼±ÀÇ Ä¡·á¸¦ À§Çؼ´Â Á¶±âºÎÅÍ Àû±ØÀûÀ¸·Î ¼ö¼úÀ» ½ÃÇàÇØ¾ß ÇÑ´Ù¡±°í °Á¶Çß´Ù.
ÀÌ ¿¬±¸ °á°ú´Â À۳⠹̱¹ ½ÉÀåÇùȸ·ÎºÎÅÍ ¼¼°èÀûÀÎ ÀÓ»ó ¿¬±¸(Late Breaking Clinical Trial Report)·Î ¼±Á¤µÅ ÀÇÇÐÀÇ ÁÖ¸ñÀ» ¹ÞÀº ¹Ù ÀÖÀ¸¸ç À̹ø NEJM µîÀç¿Í ÇÔ²² Àü ¼¼°è ÀÇÇÐÀÚµéÀÇ °ü½Éµµ ´õ Ä¿Áö°í ÀÖ´Ù.
° ±³¼ö´Â ¡°NEJM¿¡ ³í¹®ÀÌ µîÀçµÊ¿¡ µû¶ó ±×µ¿¾È ºÒ¸íÈ®Çß´ø Ä¡·á ¹æÄ§À¸·Î ÀÇÇа迡¼µµ °í¹ÎÀ» °ÅµìÇß´ø ½É³»¸·¿°¿¡ ´ëÇÑ ÃÖ¼±ÀÇ Ä¡·á¹ýÀÌ Á¦½ÃµÆ´Ù¡±¸ç ¡°°¨±â¿Í È¥µ¿ÇÏ´Ù »ý¸íÀÌ À§Çù¹Þ´Â °æ¿ìµµ ¸¹Àº ¸¸Å ½ÉÀåÆÇ¸·ÁõÀÌ Àִ ȯÀÚµéÀº 7ÀÏ ÀÌ»ó °í¿, ¿ÀÇÑ µîÀÇ Áõ»óÀÌ Áö¼ÓµÇ¸é ½É³»¸·¿°À» ÀǽÉÇϰí Á¤È®ÇÑ Áø·á¸¦ ¹Þ´Â °ÍÀÌ ÁÁ´Ù¡±°í ¸»Çß´Ù. |