2025³â12¿ù23ÀÏtue
·Î±×ÀÎ | ȸ¿ø°¡ÀÔ
OFF
Æ®À§ÅÍ·Î º¸³»±â ½ÎÀÌ¿ùµå °ø°¨
±â»ç±ÛÈ®´ë ±â»ç±ÛÃà¼Ò ±â»ç½ºÅ©·¦ À̸ÞÀϹ®ÀÇ ÇÁ¸°Æ®Çϱâ
°í´ë±¸·Î ±èÇѰ⠱³¼ö, ¹ÙÀÌ¿ÀÇö¹Ì°æ »çÁøÀü ´ë»ó
¹«¸­°üÀý ¿¬ºÎÁ¶Á÷ ÂïÀº ¡®Èò ¼ö¿° ÇҾƹöÁö¡¯ ¼ö»ó
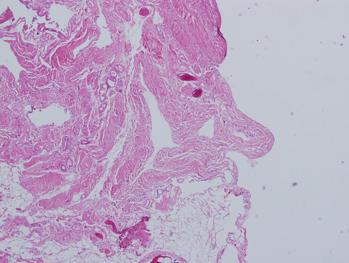
[ 2013³â 01¿ù 15ÀÏ 17½Ã 52ºÐ ]

°í·Á´ëÇб³±¸·Îº´¿ø ±èÇѰ⠱³¼ö°¡ Á¦9ȸ ¹ÙÀÌ¿ÀÇö¹Ì°æ »çÁøÀü¿¡¼­ ´ë»óÀÎ ±³À°°úÇбâ¼úºÎ Àå°ü»óÀ» ¼ö»óÇß´Ù.

 

±è ±³¼ö´Â ±¸¶ø 27ÀÏ ÃæºÏµµÃ» ´ëȸÀǽǿ¡¼­ ¿­¸° ½Ã»ó½Ä¿¡¼­ À̽ÃÁ¾ ÃæÃ»ºÏµµ µµÁö»ç·ÎºÎÅÍ ´ë»óÀ» ¹Þ¾Ò´Ù.

 

¼ö»óÀÛÀº ¹«¸­ °üÀý ¿¬ºÎÁ¶Á÷À» È®´ëÇÑ ¡®Èò ¼ö¿° ÇҾƹöÁö¡¯[»çÁø]¶õ ÀÛǰÀÌ´Ù. ¡°Èò ¼ö¿° ÇҾƹöÁö°¡ ½Ã¿øÇÑ ¸·°É¸®¸¦ ÇÑ »ç¹ß µéÀÌŲ °Í °°´Ù¡±, ¡°¼ö¿°»Ó ¾Æ´Ï¶ó ´«°ú ´«½ç, ÄÚ¿Í ¸Ó¸®Ä«¶ô±îÁö ½ÇÁ¦ »ç¶÷À» ¿¬»ó½ÃŰ´Â µî ¿¹¼úÀÛǰ °°Àº ´À³¦À» Áش١±´Â ÆòÀ» ¹Þ¾Ò´Ù.

 

±è ±³¼ö´Â ÀÌ ÀÛǰ ¿Ü¿¡µµ ÀڱðæºÎ ºÐºñ»ùÀ» ÂïÀº 'ºÒ³ª¹æ', ¿ä»ê¿°À» È®´ëÇÑ 'Äݷμ¼¿ò'ÀÌ ÀÔ¼±ÀÛ¿¡ ´ç¼±µÆ´Ù.

 

¹ÙÀÌ¿ÀÇö¹Ì°æ »çÁøÀüÀº Çö¹Ì°æ »çÁøÀ» ÅëÇØ »ý¸í°øÇÐ °ü½É Á¦°í¸¦ À§ÇØ ÃæÃ»ºÏµµ, ¿À¼Û¹ÙÀÌ¿ÀÁøÈïÀç´Ü, ÃæºÏ´ë°¡ °øµ¿À¸·Î °³ÃÖÇÑ´Ù.

À¯ÇüʱâÀÚ yhtmedi@dailymedi.com
À̱âÀÚÀÇ ´Ù¸¥´º½ºº¸±â
¹«ÅëÀåÀÔ±Ý Á¤º¸ÀÔ·Â ÀÔ±ÝÀÚ¸í ÀԱݿ¹Á¤ÀÏÀÚ
(ÀÔ±ÝÇÏ½Ç ÀÔ±ÝÀÚ¸í + ÀԱݿ¹Á¤ÀÏÀÚ¸¦ ÀÔ·ÂÇϼ¼¿ä)
[°ü·Ã´º½º]
- °ü·Ã´º½º°¡ ¾ø½À´Ï´Ù.
Æ®À§ÅÍ·Î º¸³»±â ½ÎÀÌ¿ùµå °ø°¨
±â»ç±ÛÈ®´ë ±â»ç±ÛÃà¼Ò ±â»ç½ºÅ©·¦ À̸ÞÀϹ®ÀÇ ÇÁ¸°Æ®Çϱâ
¸íÁöº´¿ø, ͺ À̰ÇÈñ ȸÀå ÁÖÄ¡ÀÇ À̰­¿ì ±³¼ö(»ï¼º¼­¿ïº´¿ø ÀçȰÀÇÇаú) ¿µÀÔ
´ëÀü¼º¸ðº´¿ø ±èµ¿±â¡¤À̵¿Ã¢ ±³¼ö, ´ëÇÑÀ̺ñÀÎÈİúÇÐȸ ÃÖ¿ì¼ö ±¸¿¬»ó¡¤ÃÖ¿ì¼ö Æ÷½ºÅÍ»ó
Á¶Àç¿ì ±³¼ö(°í´ë±¸·Îº´¿ø Á¤Çü¿Ü°ú), ´ëÇѰñÀýÇÐȸ ÃÖ´Ù³í¹®»ó
´ëÇÑÀÇ»çÇùȸ ºÎȸÀå ¹éÇö¿í¡¤Àǹ«ÀÌ»ç ¿Àµ¿È£¡¤Á¤º¸Åë½ÅÀÌ»ç À¯¼Ò¿µèâ
Çѱ¹Á¦¾à¹ÙÀÌ¿ÀÇùȸ ÀǾàǰ±¤°í½ÉÀÇÀ§¿øÈ¸ À§¿øÀå ±è¼ºÁø¡¤ºÎÀ§¿øÀå ÀÌÁØÈñ¡¤ÀåÃá°ï èâ
¹è±â¼ö ±³¼ö(¾ÆÁִ뺴¿ø ¼Ò¾ÆÃ»¼Ò³â°ú), Á¦100ȸ ¾î¸°À̳¯ ¿ÁÁ¶±ÙÁ¤ÈÆÀå
À̺´ÈÆ¡¤½ÉÀç¾Ó ±³¼öÆÀ(±æº´¿ø Á¤Çü¿Ü°ú), ´ëÇѰñÀýÇÐȸ ¿ÃÇØ ¿ì¼ö ±¸¿¬»ó
³²°¡Àº ±³¼ö(°í´ë±¸·Îº´¿ø °¡Á¤ÀÇÇаú), Çѱ¹¿©ÀÚÀÇ»çȸ Á¦4ȸ ÀþÀºÀÇÇÐÀÚ Çмú»ó
±¹¸³Áß¾ÓÀÇ·á¿ø Áß¾ÓÀÀ±ÞÀÇ·á¼¾ÅÍÀå ±è¼ºÁß(Á¶¼±´ëº´¿ø ÀÀ±ÞÀÇÇаú ±³¼ö)
ÃÖÁ¤¿õ ¿µ°æÀÇ·áÀç´Ü ÀüÁÖº´¿ø ÀÌ»çÀå, ¾Æµ¿º¸È£»ç¾÷ ±â±Ý 4000¸¸¿ø
±è¿µÁÖ ±³¼ö(ÀÌ´ë¸ñµ¿º´¿ø »êºÎÀΰú), Á¦13ȸ Çѵ¶¿©ÀÇ»çÇмú´ë»ó
¹ÚÂùÈì ±³¼ö(ÇѸ²´ëÃáõ¼º½Éº´¿ø À̺ñÀÎÈİú), ´ëÇÑÀ̺ñÀÎÈİúÇÐȸ Çмú»ó
Á¶¼öÁø ±³¼ö(ÇѸ²´ëµ¿Åº¼º½Éº´¿ø ½Å°æ°ú), Á¦26ȸ JWÁß¿ÜÇмú´ë»ó
¼­Á¤°Ç ¿¬¼¼¼­³»°ú ¿øÀå ÀåÀλó