2026³â02¿ù01ÀÏsun
·Î±×ÀÎ | ȸ¿ø°¡ÀÔ
OFF
Æ®À§ÅÍ·Î º¸³»±â ½ÎÀÌ¿ùµå °ø°¨
±â»ç±ÛÈ®´ë ±â»ç±ÛÃà¼Ò ±â»ç½ºÅ©·¦ À̸ÞÀϹ®ÀÇ ÇÁ¸°Æ®Çϱâ
¿µ»óÀÇÇÐ Àü°øÀÇµé ¡°ÇÑÀÇ»ç ÀÇ·á±â±â ¹ý¾È À߸øµÆ´Ù¡±
´ë±¹¹Î ¼­½Å ¹ßÇ¥, ¡°¸ðµç ÇÇÇØ´Â ±¹¹Îµé¿¡°Ô µ¹¾Æ°¥ °Í¡±
[ 2017³â 10¿ù 14ÀÏ 16½Ã 10ºÐ ]

¿µ»óÀÇÇаú Àü°øÀǵ鵵 ‘ÇÑÀÇ»çÀÇ Áø´Ü¿ë ¹æ»ç¼± ¹ß»ýÀåÄ¡ »ç¿ë Çã¿ë ¹ý¾È’ ¹ßÀÇ¿Í °ü·ÃÇØ ¹Ý¹ßÇÏ°í ³ª¼¹´Ù.

Àü±¹ ¿µ»óÀÇÇаú Àü°øÀǵéÀº 13ÀÏ ‘ÇÑÀÇ»çÀÇ Çö´ëÀÇ·á±â±â »ç¿ë Çã¿ë ¹ý¾È’ÀÇ À߸øµÈ Á¡À» Á¶¸ñÁ¶¸ñ ¹Ý¹ÚÇÏ´Â ³»¿ëÀÇ ´ë±¹¹Î ¼­½ÅÀ» ¹ßÇ¥Çß´Ù.
 

À̵éÀº ´ë±¹¹Î ¼­½ÅÀ» ÅëÇØ “Á¤±Ô ±³À°°úÁ¤À» ¸¶Ä£ ÀÇ»çµéµµ Àü¹®ºÐ¾ß°¡ ¾Æ´Ï¸é X-ray¿Í °°Àº Áø´Ü¿µ»óÀ» ÀڽŠÀÖ°Ô ÆÇµ¶ÇÏÁö ¸øÇÏ´Â °æ¿ì°¡ ¸¹´Ù”¸ç “´ëÇÑÇÑÀÇ»çÇùȸ(ÀÌÇÏ ÇÑÀÇÇù)´Â Áø´Ü¿ë ¹æ»ç¼± ¹ß»ýÀåÄ¡¸¸ ÀÖ´Ù¸é Á¤È®ÇÑ Áø´Ü, Æí¸®ÇÑ Áø·á, ¾ÈÀüÇÑ Ä¡·á ¸ðµÎ°¡ °¡´ÉÇÏ´Ù°í Çϴµ¥ ÇÑÀÇÇù°ú ÀÌ¿¡ µ¿Á¶ÇÏ´Â ÀϺΠ±¹È¸ÀÇ¿øµé ÁÖÀåÀº Ʋ·È´Ù”°í ÁöÀûÇß´Ù.
 

±×·¯¸é¼­ ½ÇÁ¦ ¹æ»ç¼± ÀåÄ¡·Î ÃÔ¿µÇÑ °á°ú¸¦ ¿¹·Î Á¦½ÃÇß´Ù.

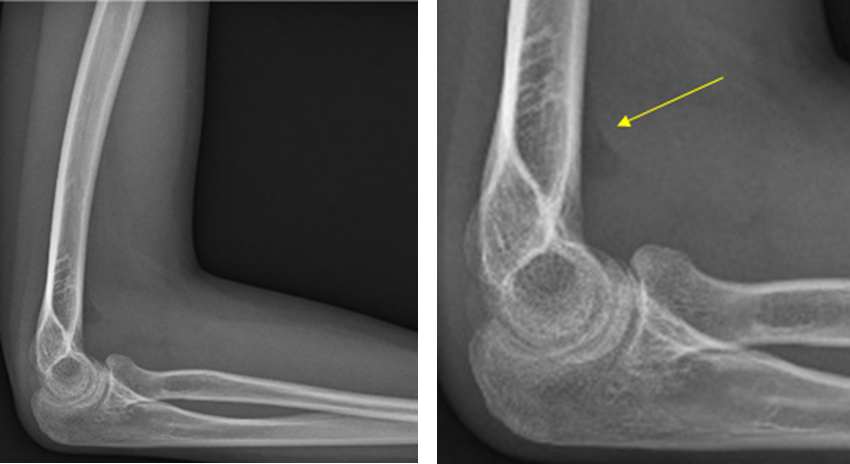
À̵éÀº “X-ray¿¡¼­ º¸ÀÌ´Â »À¿¡´Â °ñÀý¼Ò°ßÀÌ º¸ÀÌÁö ¾ÊÁö¸¸ ¿À¸¥ÂÊ ¿µ»óÀÇ È­»ìÇ¥°¡ °¡¸®Å°´Â °ËÀº ºÎºÐÀº °ñÀý¿¡ ÀÇÇØ °üÀý¿¡ ¹°¿¡ Â÷¼­ Áö¹æÀ» µé¾î¿Ã·Á ¹ß»ýÇÑ °Í”À̶ó°í ¼³¸íÇß´Ù.
 

±×·¯¸é¼­ “X-ray ÆÇµ¶Àº »À»Ó¸¸ ¾Æ´Ï¶ó ¿¬Á¶Á÷¿¡¼­ º¸ÀÌ´Â ÀÌ·± ¼Ò°ßÀ» È®ÀÎÇÒ ÁÙ ¾Æ´Â ´É·ÂÀÌ ÇÊ¿äÇϸç, ÀÌ»óÀÌ ÀÖ´Ù¸é ¿øÀÎÀ» ¸íÈ®È÷ ¾Ë±â À§ÇØ Ãß°¡°Ë»ç ¿©ºÎ¸¦ °áÁ¤ÇØ¾ß ÇÑ´Ù”¸ç “¸¸¾à ÀÌ X-ray¸¦ Âï°íµµ Á¤»óÀ¸·Î ÆÇµ¶ÇÏ¿© Ãß°¡°Ë»ç¸¦ ½ÃÇàÇÏÁö ¾Ê¾Ò´Ù¸é À߸øµÈ Áø´ÜÀ» ³»¸° °Í”À̶ó°í °­Á¶Çß´Ù.
 

À̾î À̵éÀº “ÀÌ ¹ý¾ÈÀÌ Åë°úµÈ´Ù¸é ÇÑÀÇ¿ø¿¡¼­ ÃÔ¿µÇÑ X-ray¿¡¼­ °ñÀýÀÌ ¾ø´Ù´Â À̾߱⸦ ¹Ï°í °ñÀýÀ» ¹æÄ¡ÇÏ¿© »ý±â´Â °Ç°­»ó ÇÇÇØ¿Í ÀÇÇÐÀû Àü¹®Áö½ÄÀÌ ¾øÀ¸¸é¼­µµ X-ray¸¦ Âï°í ±¹¹Î°Ç°­º¸Çè °ø´Ü¿¡ ºñ¿ëÀ» û±¸ÇÏ´Â ÇÑÀÇ»çµé¿¡ ÀÇÇÑ °æÁ¦Àû ÇÇÇØ´Â °í½º¶õÈ÷ ±¹¹Î ¸ðµÎ¿¡°Ô µ¹¾Æ°¥ °Í”À̶ó°í ¿ì·ÁÇß´Ù.
 

¿µ»óÀÇÇаú Àü°øÀǵéÀº ±Ã±ØÀûÀ¸·Î ÇÑÀÇ»çµéÀÇ Çö´ëÀÇ·á±â±â »ç¿ëÀ» Çã¿ëÇÏ´Â ¹ý¾ÈÀ» Æó±âÇØ¾ß ÇÑ´Ù°í ÀÔÀ» ¸ðÀ¸°í ÀÖ´Ù.
 

À̵éÀº “Çй®ÀÇ ±â¹ÝÀÌ ´Ù¸£°í ÆÇµ¶´É·ÂÀÌ Àü¹«ÇÑ ÇÑÀǻ翡°Ô Çö´ëÀÇ·á±â±â »ç¿ëÀ» Çã¿ëÇÏ·Á´Â ÁÖÀåÀ» ¿µ»óÀÇÇаú Àü°øÀÇ Àϵ¿Àº µµÀúÈ÷ ³³µæÇÒ ¼ö ¾ø´Ù”¸ç “ÇÑÀÇÇÐ Àü¹®°¡¶ó ÀÚóÇÏ´Â ÇÑÀÇ»çµéÀº ÀڽŵéÀÇ ÀÌÀÍÀ» À§ÇØ ±¹¹ÎÀ» ¼Ó¿©¼­´Â ¾ÈµÈ´Ù. ¶ÇÇÑ ±¹¹ÎÀÇ °Ç°­±ÇÀ» ¼öÈ£ÇØ¾ß ÇÒ ±¹È¸ÀÇ¿øÀÌ ±¹¹Îµé¿¡°Ô Áø½ÇÀ» °¡¸° ä ƯÁ¤ Áý´ÜÀÇ ÀÌÀÍÀ» À§ÇØ ÀÏÇØ¼­µµ ¾ÈµÈ´Ù”°í ²¿Áý¾ú´Ù.
 

ÀÌ¾î “¿µ»óÀÇÇаú Àü°øÀǷμ­ °øºÎÇÏ´Â °Í°ú ´õºÒ¾î ±¹¹Îµé²² ÀÌ ¹ý¾ÈÀÌ À߸øµÈ °ÍÀÓÀ» ¾Ë·Á ÁøÁ¤À¸·Î ±¹¹ÎÀÇ °Ç°­À» ÃÖ¿ì¼±À¸·Î »ý°¢ÇÏ´Â ÀÇ»çµéÀÌ µÇµµ·Ï °è¼ÓÇØ¼­ ¶æÀ» ¸ð¾Æ ¾ÕÀå¼­ ³ª°¥ °Í”À̶ó°í µ¡ºÙ¿´´Ù.

À±¿µÃ¤±âÀÚ ycyun95@dailymedi.com
À̱âÀÚÀÇ ´Ù¸¥´º½ºº¸±â
¹«ÅëÀåÀÔ±Ý Á¤º¸ÀÔ·Â ÀÔ±ÝÀÚ¸í ÀԱݿ¹Á¤ÀÏÀÚ
(ÀÔ±ÝÇÏ½Ç ÀÔ±ÝÀÚ¸í + ÀԱݿ¹Á¤ÀÏÀÚ¸¦ ÀÔ·ÂÇϼ¼¿ä)
[°ü·Ã´º½º]
ì¢-ùÛ, ÇÑÀÇ»ç Çö´ëÀÇ·á±â±â Çã¿ë¹ý¾È ·Îºñ ¡®Ãæµ¹¡¯
Æ®À§ÅÍ·Î º¸³»±â ½ÎÀÌ¿ùµå °ø°¨
±â»ç±ÛÈ®´ë ±â»ç±ÛÃà¼Ò ±â»ç½ºÅ©·¦ À̸ÞÀϹ®ÀÇ ÇÁ¸°Æ®Çϱâ
¸íÁöº´¿ø, ͺ À̰ÇÈñ ȸÀå ÁÖÄ¡ÀÇ À̰­¿ì ±³¼ö(»ï¼º¼­¿ïº´¿ø ÀçȰÀÇÇаú) ¿µÀÔ
´ëÀü¼º¸ðº´¿ø ±èµ¿±â¡¤À̵¿Ã¢ ±³¼ö, ´ëÇÑÀ̺ñÀÎÈİúÇÐȸ ÃÖ¿ì¼ö ±¸¿¬»ó¡¤ÃÖ¿ì¼ö Æ÷½ºÅÍ»ó
Á¶Àç¿ì ±³¼ö(°í´ë±¸·Îº´¿ø Á¤Çü¿Ü°ú), ´ëÇѰñÀýÇÐȸ ÃÖ´Ù³í¹®»ó
´ëÇÑÀÇ»çÇùȸ ºÎȸÀå ¹éÇö¿í¡¤Àǹ«ÀÌ»ç ¿Àµ¿È£¡¤Á¤º¸Åë½ÅÀÌ»ç À¯¼Ò¿µèâ
Çѱ¹Á¦¾à¹ÙÀÌ¿ÀÇùȸ ÀǾàǰ±¤°í½ÉÀÇÀ§¿øÈ¸ À§¿øÀå ±è¼ºÁø¡¤ºÎÀ§¿øÀå ÀÌÁØÈñ¡¤ÀåÃá°ï èâ
¹è±â¼ö ±³¼ö(¾ÆÁִ뺴¿ø ¼Ò¾ÆÃ»¼Ò³â°ú), Á¦100ȸ ¾î¸°À̳¯ ¿ÁÁ¶±ÙÁ¤ÈÆÀå
À̺´ÈÆ¡¤½ÉÀç¾Ó ±³¼öÆÀ(±æº´¿ø Á¤Çü¿Ü°ú), ´ëÇѰñÀýÇÐȸ ¿ÃÇØ ¿ì¼ö ±¸¿¬»ó
³²°¡Àº ±³¼ö(°í´ë±¸·Îº´¿ø °¡Á¤ÀÇÇаú), Çѱ¹¿©ÀÚÀÇ»çȸ Á¦4ȸ ÀþÀºÀÇÇÐÀÚ Çмú»ó
±¹¸³Áß¾ÓÀÇ·á¿ø Áß¾ÓÀÀ±ÞÀÇ·á¼¾ÅÍÀå ±è¼ºÁß(Á¶¼±´ëº´¿ø ÀÀ±ÞÀÇÇаú ±³¼ö)
ÃÖÁ¤¿õ ¿µ°æÀÇ·áÀç´Ü ÀüÁÖº´¿ø ÀÌ»çÀå, ¾Æµ¿º¸È£»ç¾÷ ±â±Ý 4000¸¸¿ø
±è¿µÁÖ ±³¼ö(ÀÌ´ë¸ñµ¿º´¿ø »êºÎÀΰú), Á¦13ȸ Çѵ¶¿©ÀÇ»çÇмú´ë»ó
¹ÚÂùÈì ±³¼ö(ÇѸ²´ëÃáõ¼º½Éº´¿ø À̺ñÀÎÈİú), ´ëÇÑÀ̺ñÀÎÈİúÇÐȸ Çмú»ó
Á¶¼öÁø ±³¼ö(ÇѸ²´ëµ¿Åº¼º½Éº´¿ø ½Å°æ°ú), Á¦26ȸ JWÁß¿ÜÇмú´ë»ó
¼­Á¤°Ç ¿¬¼¼¼­³»°ú ¿øÀå ÀåÀλó