2026³â01¿ù08ÀÏthu
·Î±×ÀÎ | ȸ¿ø°¡ÀÔ
OFF
Æ®À§ÅÍ·Î º¸³»±â ½ÎÀÌ¿ùµå °ø°¨
±â»ç±ÛÈ®´ë ±â»ç±ÛÃà¼Ò ±â»ç½ºÅ©·¦ À̸ÞÀϹ®ÀÇ ÇÁ¸°Æ®Çϱâ
Çʸ³½º, ºòµ¥ÀÌÅÍ È°¿ë ¿µ»óÀÇÇÐ ¼Ö·ç¼Ç Á¦½Ã
ÀÌ´Þ 26ÀÏ ¿­¸®´Â ºÏ¹Ì¿µ»óÀÇÇÐȸ(RSNA) Âü¿©
[ 2017³â 11¿ù 23ÀÏ 17½Ã 18ºÐ ]
Çコ Å×Å©³î·ÎÁö ±â¾÷ ·Î¿­ Çʸ³½º (Royal Phillips, Çʸ³½º)°¡ ¿À´Â 11¿ù26ÀÏ(ÇöÁö½Ã°¢)ºÎÅÍ 12¿ù1ÀϱîÁö ¹Ì±¹ ½ÃÄ«°í¿¡¼­ ¿­¸®´Â Á¦103ȸ ºÏ¹Ì¿µ»óÀÇÇÐȸ (Radiological Society of North America Meeting, RSNA2017)¿¡ Âü°¡, Æ÷°ýÀûÀÎ Ä¿³ØÆ¼µå ¿µ»óÀÇÇÐ ¼Ö·ç¼ÇÀ» ¼±º¸ÀÎ´Ù°í ¹àÇû´Ù.

Çʸ³½º´Â À̹ø ÇÐȸ¿¡¼­ ‘No Silos, No Limits’¸¦ Àü½Ã ÁÖÁ¦·Î »ï°í, ÇаèÀÇ ¼ö¿ä¸¦ ¸¸Á·ÇÒ µðÁöÅÐ ¿µ»óÁø´Ü ¼Ö·ç¼Ç°ú ºòµ¥ÀÌÅÍ ±â¹ÝÀÇ ¼ÒÇÁÆ®¿þ¾î¸¦ ¼Ò°³ÇÑ´Ù.
 
MR ºÎ¹®¿¡¼­ Çʸ³½º´Â ¾÷°è óÀ½À¸·Î »ó¿ëÈ­ÇÏ°Ô µÈ MR Ư¼ö¿µ»ó ±â¹ý APT (Amide Proton Transfer)¸¦ °ø°³ÇÑ´Ù.
 
³úÁ¾¾çÀÇ ´Ü¹éÁú ÇÔ·®°ú pH(»ê¼ºµµ)¸¦ ÃøÁ¤ÇÔÀ¸·Î½á ±âÁ¸ ÃÔ¿µ ±â¹ýÀ¸·Î´Â ¾Ë±â ¾î·Á¿î ³úÁ¾¾ç Àç¹ßÀ̳ª ÀüÀ̸¦ ¿¹ÃøÇÏ´Â µ¥ µµ¿òÀ» ÁØ´Ù.
 
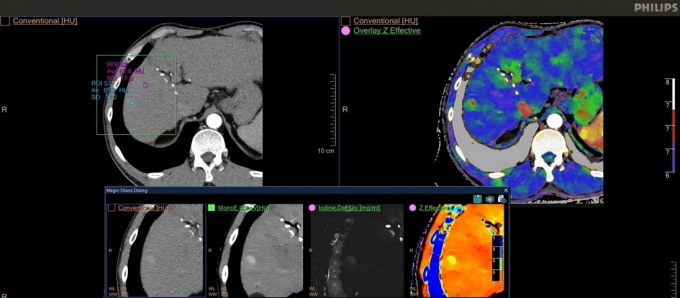
ÀÓ»ó ¼º´ÉÀÌ ÇÑÃþ °­È­µÈ ¾ÆÀÌÄÜ ½ºÆåÆ®·² CT(IQon Spectral CT)µµ °ø°³ÇÑ´Ù.

 
±âÁ¸ CT¿Í °°Àº ÃÔ¿µ ¹æ¹ýÀ¸·Î ½ºÄµÇØ ÀÏ¹Ý CT ÀÚ·á¿Í ÀÎü ³»ºÎ Á¶Á÷ÀÇ ±¸¼º ¹°Áú Á¤º¸¸¦ ´ãÀº ½ºÆåÆ®·² µ¥ÀÌÅ͸¦ µ¿½Ã¿¡ ¾òÀ» ¼ö ÀÖ´Ù.
 
»çÀü¿¡ °èȹÇÏÁö ¾Ê¾Æµµ CT ÃÔ¿µ ÈÄ Çʿ信 µû¶ó µ¥ÀÌÅ͸¦ ºÒ·¯¿Í ½ºÆåÆ®·² ¿µ»ó Á¤º¸¸¦ ºÐ¼®ÇÒ ¼ö Àִ٠ƯÈ÷ ÇÏ·ç ÃÖ´ë 200¸íÀÇ ½ºÆåÆ®·² µ¥ÀÌÅ͸¦ À籸¼ºÇÒ ¼ö ÀÖ¾î ±âÁ¸º¸´Ù ´õ¿í dzºÎÇÑ Áø´Ü Á¤º¸¸¦ ¾ò°Ô µÆ´Ù.
 
Ç»¾î¿þÀÌºê ¸®´Ï¾î Æ®·£½ºµà¼­ eL18-4(PureWave Linear Transducer eL18-4)µµ óÀ½ ¼±º¸ÀδÙ. ±âÁ¸ °íÁÖÆÄ ¸®´Ï¾î Æ®·£½ºµà¼­¿Í ´Þ¸® ½Åü ³» 14cm±îÁö Åõ°úµÅ À¯¹æ, ±Ù°ñ°Ý µî Ç¥À缺Áúȯ Áø´ÜÀº ¹°·Ð ³ôÀº Åõ°ú·Â ¹× ÇØ»ó·ÂÀ» ¿äÇÏ´Â Àå(Bowel) ÃÊÀ½ÆÄ °Ë»ç¿¡µµ À¯¿ëÇÏ´Ù. 
 
·Î¹öÆ® Ä«¼¿¶ó(Robert Cascella) Çʸ³½º Áø´Ü ¹× Ä¡·á »ç¾÷ ºÎ¹® CEO´Â “°¡Ä¡ ±â¹ÝÀÇ ÇコÄɾ Áß¿äÇØÁö¸é¼­ ¿µ»óÀÇÇа迡¼­´Â Á¡Â÷ ´õ ¸¹Àº ȯÀÚ ¸ÂÃãÇü ¸ðµ¨°ú dzºÎÇÑ ¿¬±¸ »ç·Ê°¡ ÇÊ¿äÇÒ °Í”À̶ó¸ç “ºòµ¥ÀÌÅ͸¦ ±â¹ÝÀ¸·Î ¿µ»óÀÇÇÐÀÇ Àü¹®¼ºÀ» ÇÑÃþ °­È­ÇÒ ÅëÇÕÀûÀÎ ¼Ö·ç¼Ç °³¹ß¿¡ ¸ÅÁø, ÀÇ·áÁøÀÌ Çѹø¿¡ Á¤È®ÇÑ Áø´ÜÀ» ³»¸®´Âµ¥ µµ¿òÀ» ÁÖ°Ú´Ù”°í ¸»Çß´Ù. 
ÇÑÇØÁø±âÀÚ hjhan@dailymedi.com
À̱âÀÚÀÇ ´Ù¸¥´º½ºº¸±â
¹«ÅëÀåÀÔ±Ý Á¤º¸ÀÔ·Â ÀÔ±ÝÀÚ¸í ÀԱݿ¹Á¤ÀÏÀÚ
(ÀÔ±ÝÇÏ½Ç ÀÔ±ÝÀÚ¸í + ÀԱݿ¹Á¤ÀÏÀÚ¸¦ ÀÔ·ÂÇϼ¼¿ä)
[°ü·Ã´º½º]
- °ü·Ã´º½º°¡ ¾ø½À´Ï´Ù.
Æ®À§ÅÍ·Î º¸³»±â ½ÎÀÌ¿ùµå °ø°¨
±â»ç±ÛÈ®´ë ±â»ç±ÛÃà¼Ò ±â»ç½ºÅ©·¦ À̸ÞÀϹ®ÀÇ ÇÁ¸°Æ®Çϱâ
¸íÁöº´¿ø, ͺ À̰ÇÈñ ȸÀå ÁÖÄ¡ÀÇ À̰­¿ì ±³¼ö(»ï¼º¼­¿ïº´¿ø ÀçȰÀÇÇаú) ¿µÀÔ
´ëÀü¼º¸ðº´¿ø ±èµ¿±â¡¤À̵¿Ã¢ ±³¼ö, ´ëÇÑÀ̺ñÀÎÈİúÇÐȸ ÃÖ¿ì¼ö ±¸¿¬»ó¡¤ÃÖ¿ì¼ö Æ÷½ºÅÍ»ó
Á¶Àç¿ì ±³¼ö(°í´ë±¸·Îº´¿ø Á¤Çü¿Ü°ú), ´ëÇѰñÀýÇÐȸ ÃÖ´Ù³í¹®»ó
´ëÇÑÀÇ»çÇùȸ ºÎȸÀå ¹éÇö¿í¡¤Àǹ«ÀÌ»ç ¿Àµ¿È£¡¤Á¤º¸Åë½ÅÀÌ»ç À¯¼Ò¿µèâ
Çѱ¹Á¦¾à¹ÙÀÌ¿ÀÇùȸ ÀǾàǰ±¤°í½ÉÀÇÀ§¿øÈ¸ À§¿øÀå ±è¼ºÁø¡¤ºÎÀ§¿øÀå ÀÌÁØÈñ¡¤ÀåÃá°ï èâ
¹è±â¼ö ±³¼ö(¾ÆÁִ뺴¿ø ¼Ò¾ÆÃ»¼Ò³â°ú), Á¦100ȸ ¾î¸°À̳¯ ¿ÁÁ¶±ÙÁ¤ÈÆÀå
À̺´ÈÆ¡¤½ÉÀç¾Ó ±³¼öÆÀ(±æº´¿ø Á¤Çü¿Ü°ú), ´ëÇѰñÀýÇÐȸ ¿ÃÇØ ¿ì¼ö ±¸¿¬»ó
³²°¡Àº ±³¼ö(°í´ë±¸·Îº´¿ø °¡Á¤ÀÇÇаú), Çѱ¹¿©ÀÚÀÇ»çȸ Á¦4ȸ ÀþÀºÀÇÇÐÀÚ Çмú»ó
±¹¸³Áß¾ÓÀÇ·á¿ø Áß¾ÓÀÀ±ÞÀÇ·á¼¾ÅÍÀå ±è¼ºÁß(Á¶¼±´ëº´¿ø ÀÀ±ÞÀÇÇаú ±³¼ö)
ÃÖÁ¤¿õ ¿µ°æÀÇ·áÀç´Ü ÀüÁÖº´¿ø ÀÌ»çÀå, ¾Æµ¿º¸È£»ç¾÷ ±â±Ý 4000¸¸¿ø
±è¿µÁÖ ±³¼ö(ÀÌ´ë¸ñµ¿º´¿ø »êºÎÀΰú), Á¦13ȸ Çѵ¶¿©ÀÇ»çÇмú´ë»ó
¹ÚÂùÈì ±³¼ö(ÇѸ²´ëÃáõ¼º½Éº´¿ø À̺ñÀÎÈİú), ´ëÇÑÀ̺ñÀÎÈİúÇÐȸ Çмú»ó
Á¶¼öÁø ±³¼ö(ÇѸ²´ëµ¿Åº¼º½Éº´¿ø ½Å°æ°ú), Á¦26ȸ JWÁß¿ÜÇмú´ë»ó
¼­Á¤°Ç ¿¬¼¼¼­³»°ú ¿øÀå ÀåÀλó