2026³â01¿ù01ÀÏthu
·Î±×ÀÎ | ȸ¿ø°¡ÀÔ
OFF
Æ®À§ÅÍ·Î º¸³»±â ½ÎÀÌ¿ùµå °ø°¨
±â»ç±ÛÈ®´ë ±â»ç±ÛÃà¼Ò ±â»ç½ºÅ©·¦ À̸ÞÀϹ®ÀÇ ÇÁ¸°Æ®Çϱâ
¹æ»ç¼± ¾Æ´Ñ ºûÀ¸·Î 'ÃæÄ¡ °¨º°±â¼ú' °³¹ß
¿¬¼¼´ë Ä¡°ú´ëÇÐ ±è¹éÀÏ ±³¼öÆÀ, Á¤·®±¤Çü±¤ ±â¼ú À¯È¿¼º ÀÔÁõ
[ 2018³â 08¿ù 29ÀÏ 11½Ã 40ºÐ ]
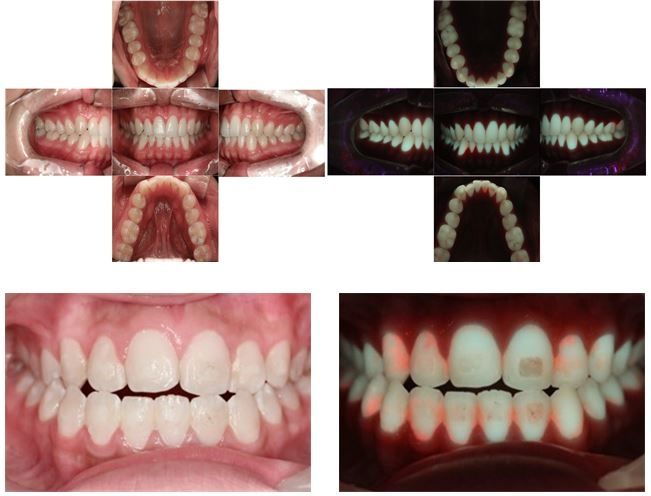
[µ¥Àϸ®¸Þµð °íÀç¿ì ±âÀÚ] °¡½Ã±¤¼±À» ÀÌ¿ëÇØ ÃæÄ¡ ÁøÇà »óȲÀ» »ìÇÊ ¼ö ÀÖ´Â ±â¼úÀÌ °³¹ßµÆ´Ù.
 
¿¬¼¼´ëÇб³ Ä¡°ú´ëÇÐ ¿¹¹æÄ¡°úÇб³½Ç ±è¹éÀÏ ±³¼öÆÀÀº Çü±¤¿µ»ó±â¼ú°ú Á¤·®È­±â¼úÀ» ÀÌ¿ëÇØ Ä¡¾Æ¿ì½Ä »óŸ¦ Áø´Ü·°Ë»çÇÏ´Â ¹æ¹ýÀ» °³¹ßÇß´Ù°í 29ÀÏ ¹àÇû´Ù.

ÀÌ ±â¼úÀº Çѱ¹º¸°ÇÀǷῬ±¸¿ø(NECA) ÃÖÁ¾ ½ÉÀǸ¦ °ÅÃÄ ÃÖ±Ù ½ÅÀÇ·á±â¼ú·Î ÃÖÁ¾ ÀÎÁõ ¹Þ¾Ò´Ù.

±è ±³¼öÆÀÀº ¹æ»ç¼± °Ë»ç ´ë½Å ÀÎü¿¡ ¹«ÇØÇÑ ¹°ÁúÀ» Ȱ¿ëÇϱâ À§ÇØ ¿¬±¸¸¦ °ÅµìÇß°í, ‘Á¤·®±¤Çü±¤±â¼ú'ÀÇ °¡´É¼ºÀ» È®ÀÎÇß´Ù. ÀÌÈÄ Çü±¤¿µ»ó°Ë»çÀÇ ¾ÈÀü¼º°ú À¯È¿¼º È®ÀÎÀ» À§ÇØ 2³â¿¡ °ÉÄ£ ÀÓ»ó½ÃÇè°ú ¿¬±¸¿¡ µ¹ÀÔÇß´Ù.
 
º¹ÁöºÎ°¡ ÁÖ°üÇÏ´Â º¸°ÇÀǷῬ±¸°³¹ß»ç¾÷À» ¼öÁÖÇØ ÀÓ»ó½ÃÇèÀ» °ÅÄ£ ±×´Â À°¾ÈÀ¸·Î ÃæÄ¡¸¦ °Ë»çÇϱ⠾î·Á¿î ±¸Ä¡ºÎÀÇ ±³ÇÕ¸é°ú ÀÎÁ¢¸é ºÎÀ§¸¦ ´ë»óÀ¸·Î ³ª´² Æò°¡¸¦ ÁøÇàÇß´Ù.

±× °á°ú Á¤È®ÇÑ Áø´Ü ¿©ºÎ¸¦ È®ÀÎÀÌ °¡´ÉÇÑ ¹Î°¨µµ¿Í ƯÀ̵µ ºÎ¹®¿¡¼­ Á¤·®±¤Çü±¤ ±â¼úÀÌ 80% ÀÌ»ó Á¤È®µµ¸¦ °¡Á³À½À» È®ÀÎÇß´Ù.
 
³ª¾Æ°¡ Ä¡¾Æ¸é »óŸ¦ »çÁø°ú ¿µ»ó¹°·Î ±â·ÏÇÏ°í µ¿½Ã¿¡ º´¼Ò »óŸ¦ ºÐ¼®ÇØ Á¤·®È­µÈ ¼öÄ¡¸¦ Á¦½ÃÇÔÀ¸·Î½á °´°üÈ­µÈ Áø´Ü±âÁØÀ» ¸¶·ÃÇß°í, ÀÌ´Â Àü±¹ Ä¡°ú º´·ÀÇ¿ø¿¡¼­ Á¤·® µ¥ÀÌÅ͸¦ ÃàÀûÇϴµ¥ µµ¿òÀÌ µÉ °ÍÀ¸·Î Àü¸ÁÇß´Ù.
 
Á¤·® µ¥ÀÌÅÍ´Â ¿¬°ü ºÐ¾ß ¿¬±¸ ÀÛ¾÷¿¡ Ȱ¿ëµÉ »Ó¸¸ ¾Æ´Ï¶ó ȯÀÚµé°ú ÀÇ·áÁøÀÌ ÃæÄ¡ Áø´Ü°ú Ä¡·á¹ý¿¡ ´ëÇÑ ³íÀǸ¦ ÇÏ´Â °úÁ¤¿¡¼­µµ ½Å·Ú°¨À» ³ôÀÌ´Â µ¥ µµ¿òÀÌ µÉ °ÍÀ¸·Î º¸ÀδÙ.
 
ÇÑÆí ±è ±³¼öÆÀÀº Á¤·®±¤Çü±¤±â¼úÀÌ ÃæÄ¡ Áø´Ü¿¡ ÀÓ»óÀû Ÿ´ç¼ºÀÌ ÀÖÀ½À» Ä¡°úºÐ¾ß Àü¹® ÇмúÁö¿¡ µÎ ÆíÀÇ ³í¹®À¸·Î ¹ßÇ¥Çß´Ù.
ko@dailymedi.com
À̱âÀÚÀÇ ´Ù¸¥´º½ºº¸±â
¹«ÅëÀåÀÔ±Ý Á¤º¸ÀÔ·Â ÀÔ±ÝÀÚ¸í ÀԱݿ¹Á¤ÀÏÀÚ
(ÀÔ±ÝÇÏ½Ç ÀÔ±ÝÀÚ¸í + ÀԱݿ¹Á¤ÀÏÀÚ¸¦ ÀÔ·ÂÇϼ¼¿ä)
[°ü·Ã´º½º]
- °ü·Ã´º½º°¡ ¾ø½À´Ï´Ù.
Æ®À§ÅÍ·Î º¸³»±â ½ÎÀÌ¿ùµå °ø°¨
±â»ç±ÛÈ®´ë ±â»ç±ÛÃà¼Ò ±â»ç½ºÅ©·¦ À̸ÞÀϹ®ÀÇ ÇÁ¸°Æ®Çϱâ
¸íÁöº´¿ø, ͺ À̰ÇÈñ ȸÀå ÁÖÄ¡ÀÇ À̰­¿ì ±³¼ö(»ï¼º¼­¿ïº´¿ø ÀçȰÀÇÇаú) ¿µÀÔ
´ëÀü¼º¸ðº´¿ø ±èµ¿±â¡¤À̵¿Ã¢ ±³¼ö, ´ëÇÑÀ̺ñÀÎÈİúÇÐȸ ÃÖ¿ì¼ö ±¸¿¬»ó¡¤ÃÖ¿ì¼ö Æ÷½ºÅÍ»ó
Á¶Àç¿ì ±³¼ö(°í´ë±¸·Îº´¿ø Á¤Çü¿Ü°ú), ´ëÇѰñÀýÇÐȸ ÃÖ´Ù³í¹®»ó
´ëÇÑÀÇ»çÇùȸ ºÎȸÀå ¹éÇö¿í¡¤Àǹ«ÀÌ»ç ¿Àµ¿È£¡¤Á¤º¸Åë½ÅÀÌ»ç À¯¼Ò¿µèâ
Çѱ¹Á¦¾à¹ÙÀÌ¿ÀÇùȸ ÀǾàǰ±¤°í½ÉÀÇÀ§¿øÈ¸ À§¿øÀå ±è¼ºÁø¡¤ºÎÀ§¿øÀå ÀÌÁØÈñ¡¤ÀåÃá°ï èâ
¹è±â¼ö ±³¼ö(¾ÆÁִ뺴¿ø ¼Ò¾ÆÃ»¼Ò³â°ú), Á¦100ȸ ¾î¸°À̳¯ ¿ÁÁ¶±ÙÁ¤ÈÆÀå
À̺´ÈÆ¡¤½ÉÀç¾Ó ±³¼öÆÀ(±æº´¿ø Á¤Çü¿Ü°ú), ´ëÇѰñÀýÇÐȸ ¿ÃÇØ ¿ì¼ö ±¸¿¬»ó
³²°¡Àº ±³¼ö(°í´ë±¸·Îº´¿ø °¡Á¤ÀÇÇаú), Çѱ¹¿©ÀÚÀÇ»çȸ Á¦4ȸ ÀþÀºÀÇÇÐÀÚ Çмú»ó
±¹¸³Áß¾ÓÀÇ·á¿ø Áß¾ÓÀÀ±ÞÀÇ·á¼¾ÅÍÀå ±è¼ºÁß(Á¶¼±´ëº´¿ø ÀÀ±ÞÀÇÇаú ±³¼ö)
ÃÖÁ¤¿õ ¿µ°æÀÇ·áÀç´Ü ÀüÁÖº´¿ø ÀÌ»çÀå, ¾Æµ¿º¸È£»ç¾÷ ±â±Ý 4000¸¸¿ø
±è¿µÁÖ ±³¼ö(ÀÌ´ë¸ñµ¿º´¿ø »êºÎÀΰú), Á¦13ȸ Çѵ¶¿©ÀÇ»çÇмú´ë»ó
¹ÚÂùÈì ±³¼ö(ÇѸ²´ëÃáõ¼º½Éº´¿ø À̺ñÀÎÈİú), ´ëÇÑÀ̺ñÀÎÈİúÇÐȸ Çмú»ó
Á¶¼öÁø ±³¼ö(ÇѸ²´ëµ¿Åº¼º½Éº´¿ø ½Å°æ°ú), Á¦26ȸ JWÁß¿ÜÇмú´ë»ó
¼­Á¤°Ç ¿¬¼¼¼­³»°ú ¿øÀå ÀåÀλó