2025³â12¿ù30ÀÏtue
·Î±×ÀÎ | ȸ¿ø°¡ÀÔ
OFF
Æ®À§ÅÍ·Î º¸³»±â ½ÎÀÌ¿ùµå °ø°¨
±â»ç±ÛÈ®´ë ±â»ç±ÛÃà¼Ò ±â»ç½ºÅ©·¦ À̸ÞÀϹ®ÀÇ ÇÁ¸°Æ®Çϱâ
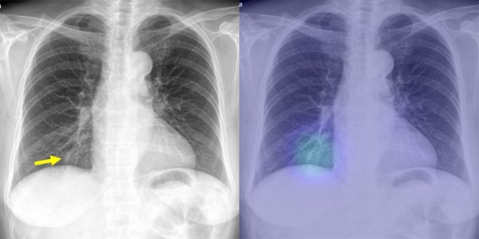
¼­¿ï´ëº´¿ø "ÀΰøÁö´É(AI) ÆÇµ¶ Á¤È®µµ ³ôÀδÙ"
Æó¾Ï Æ÷ÇÔ 4´ë ÈäºÎÁúȯ 'ÀΰøÁö´É º¸Á¶Áø´Ü ½Ã½ºÅÛ' ¿Ï¼º
[ 2019³â 04¿ù 01ÀÏ 11½Ã 18ºÐ ]
[µ¥Àϸ®¸Þµð ¹Ú´ëÁø ±âÀÚ] ¹Úâ¹Î ¼­¿ï´ëº´¿ø ¿µ»óÀÇÇаú ±³¼ö´Â ÁÖ¿ä ÈäºÎ 4´ëÁúȯ ¸ðµÎ¸¦ ãÀ» ¼ö ÀÖ´Â ÀΰøÁö´É º¸Á¶Áø´Ü ½Ã½ºÅÛÀÌ ¿Ï¼ºµÆ´Ù°í 1ÀÏ ¹àÇû´Ù.
 
À̹ø ÀΰøÁö´É È¿°ú¼ºÀ» ÀÔÁõÇÑ ¿¬±¸°á°ú´Â ¼¼°èÀû ÇмúÁöÀÎ ÀÚ¸¶ ³×Æ®¿öÅ© ¿ÀÇÂ’(JAMA Network Open) ÃÖ±ÙÈ£¿¡ °ÔÀçµÆ´Ù.
 
ÈäºÎ 4´ë Áúȯ¿¡´Â Æó¾Ï, Æó°áÇÙ, Æó·Å, ±âÈäÀÌ Æ÷ÇԵȴÙ. ¼¼°èÀûÀ¸·Î ¹ßº´ ºóµµ¿Í »ç¸Á·üÀÌ ³ô¾Æ Á¤È®ÇÑ Áø´ÜÀ» ÅëÇÑ Á¶±â Ä¡·á°¡ ¸Å¿ì Áß¿äÇÏ´Ù.
 
¹Ú ±³¼öÆÀÀº À̹ø ÀΰøÁö´É ½Ã½ºÅÛ °³¹ßÀ» À§ÇØ 4´ë ÈäºÎÁúȯ X¼± ¿µ»óÀÚ·á°¡ Æ÷ÇÔ µÈ ÃÑ 9¸¸8,621°ÇÀÇ ÈäºÎ X¼± ¿µ»óÀÚ·á °á°ú¸¦ ÀÌ¿ëÇß´Ù.
 
¼­¿ï´ëº´¿ø, º¸¶ó¸Åº´¿ø, °­µ¿°æÈñ´ëº´¿ø, À»Áö´ëº´¿ø, ÇÁ¶û½º ±×¸£³ëºí ´ëÇк´¿ø¿¡¼­ ¼º´ÉÀ» °ËÁõÇßÀ¸¸ç, ¿ÜºÎ±â°ü Æò°¡ Áø´Ü Á¤È®µµ°¡ Æò±Õ 97% ÀÌ»óÀ¸·Î ¸Å¿ì ¿ì¼öÇÑ °á°ú¸¦ º¸¿´´Ù.
 
¿µ»óÀÇÇаú Àü¹®ÀǸ¦ Æ÷ÇÔÇÑ 15¸íÀÇ ÀÇ»ç¿ÍÀÇ ºñ±³Æò°¡¿¡¼­µµ ÀΰøÁö´ÉÀÌ ´ëºÎºÐÀÇ ÆÇµ¶Àǻ纸´Ù ³ôÀº Áø´Ü Á¤È®µµ¸¦ º¸¿´´Ù. ÀÇ·áÁøÀÌ ÀΰøÁö´É º¸Á¶¸¦ ¹ÞÀ» °æ¿ì ÃÖ´ë 9%±îÁö ÆÇµ¶´É·ÂÀÌ Çâ»óµÆ´Ù.
 
°³¹ßµÈ ÀΰøÁö´É ½Ã½ºÅÛÀº ȯÀÚÀÇ ÈäºÎ X¼± ¿µ»óÀ» ºÐ¼®ÇØ ÀÌ»ó ¼Ò°ßÀÌ ÀÖ´Â ºÎÀ§¸¦ Ç¥½ÃÇÏ°í ±× °¡´É¼ºÀ» È®·ü °ªÀ¸·Î Á¦½ÃÇØ ÁØ´Ù. ÀÇ·áÁøÀº ÀΰøÁö´É ¼ÒÇÁÆ®¿þ¾î µµ¿òÀ¸·Î º¸´Ù ¼Õ½±°Ô ¿µ»óÁø´ÜÀ» ³»¸± ¼ö ÀÖ°Ô µÈ´Ù.
 
¹Úâ¹Î ±³¼ö´Â À̹ø¿¡ º¸¿ÏµÈ ½Ã½ºÅÛÀº ¹ßº´ ºóµµ¿Í Á߿䵵°¡ ³ôÀº ÈäºÎÁúȯÀ» ÇÑ ¹ø¿¡ È®ÀÎ ÇÒ ¼ö ÀÖ¾î ÀÓ»ó¿¡ º¸´Ù È¿°úÀûÀ¸·Î Ȱ¿ëÇÒ ¼ö ÀÖÀ» °ÍÀ̶ó°í ¸»Çß´Ù.
 
ÇÑÆí, ¼­¿ï´ëº´¿ø°ú ¼ÒÇÁÆ®¿þ¾î ȸ»ç ·ç´ÖÀÌ °øµ¿À¸·Î ÁøÇàÇÑ À̹ø ¿¬±¸´Â ¼­¿ï½Ã »êÇп¬ Çù·Â»ç¾÷ Áö¿øÀ» ¹Þ¾ÒÀ¸¸ç, °³¹ßµÈ ½Ã½ºÅÛÀº ¿Ã ÇϹݱ⠽ÄǰÀǾàǰ¾ÈÀüó ÀÇ·á±â±â ½ÂÀÎÀ» ¾ÕµÎ°í ÀÖ´Ù.
djpark@dailymedi.com
À̱âÀÚÀÇ ´Ù¸¥´º½ºº¸±â
¹«ÅëÀåÀÔ±Ý Á¤º¸ÀÔ·Â ÀÔ±ÝÀÚ¸í ÀԱݿ¹Á¤ÀÏÀÚ
(ÀÔ±ÝÇÏ½Ç ÀÔ±ÝÀÚ¸í + ÀԱݿ¹Á¤ÀÏÀÚ¸¦ ÀÔ·ÂÇϼ¼¿ä)
[°ü·Ã´º½º]
ÀÇ»ç 83% "ÀΰøÁö´É(AI) È£ÀÇÀû"¡¤¡¤¡¤35% "¿ªÇÒ ´ëü °¡´É"
Æ®À§ÅÍ·Î º¸³»±â ½ÎÀÌ¿ùµå °ø°¨
±â»ç±ÛÈ®´ë ±â»ç±ÛÃà¼Ò ±â»ç½ºÅ©·¦ À̸ÞÀϹ®ÀÇ ÇÁ¸°Æ®Çϱâ
¸íÁöº´¿ø, ͺ À̰ÇÈñ ȸÀå ÁÖÄ¡ÀÇ À̰­¿ì ±³¼ö(»ï¼º¼­¿ïº´¿ø ÀçȰÀÇÇаú) ¿µÀÔ
´ëÀü¼º¸ðº´¿ø ±èµ¿±â¡¤À̵¿Ã¢ ±³¼ö, ´ëÇÑÀ̺ñÀÎÈİúÇÐȸ ÃÖ¿ì¼ö ±¸¿¬»ó¡¤ÃÖ¿ì¼ö Æ÷½ºÅÍ»ó
Á¶Àç¿ì ±³¼ö(°í´ë±¸·Îº´¿ø Á¤Çü¿Ü°ú), ´ëÇѰñÀýÇÐȸ ÃÖ´Ù³í¹®»ó
´ëÇÑÀÇ»çÇùȸ ºÎȸÀå ¹éÇö¿í¡¤Àǹ«ÀÌ»ç ¿Àµ¿È£¡¤Á¤º¸Åë½ÅÀÌ»ç À¯¼Ò¿µèâ
Çѱ¹Á¦¾à¹ÙÀÌ¿ÀÇùȸ ÀǾàǰ±¤°í½ÉÀÇÀ§¿øÈ¸ À§¿øÀå ±è¼ºÁø¡¤ºÎÀ§¿øÀå ÀÌÁØÈñ¡¤ÀåÃá°ï èâ
¹è±â¼ö ±³¼ö(¾ÆÁִ뺴¿ø ¼Ò¾ÆÃ»¼Ò³â°ú), Á¦100ȸ ¾î¸°À̳¯ ¿ÁÁ¶±ÙÁ¤ÈÆÀå
À̺´ÈÆ¡¤½ÉÀç¾Ó ±³¼öÆÀ(±æº´¿ø Á¤Çü¿Ü°ú), ´ëÇѰñÀýÇÐȸ ¿ÃÇØ ¿ì¼ö ±¸¿¬»ó
³²°¡Àº ±³¼ö(°í´ë±¸·Îº´¿ø °¡Á¤ÀÇÇаú), Çѱ¹¿©ÀÚÀÇ»çȸ Á¦4ȸ ÀþÀºÀÇÇÐÀÚ Çмú»ó
±¹¸³Áß¾ÓÀÇ·á¿ø Áß¾ÓÀÀ±ÞÀÇ·á¼¾ÅÍÀå ±è¼ºÁß(Á¶¼±´ëº´¿ø ÀÀ±ÞÀÇÇаú ±³¼ö)
ÃÖÁ¤¿õ ¿µ°æÀÇ·áÀç´Ü ÀüÁÖº´¿ø ÀÌ»çÀå, ¾Æµ¿º¸È£»ç¾÷ ±â±Ý 4000¸¸¿ø
±è¿µÁÖ ±³¼ö(ÀÌ´ë¸ñµ¿º´¿ø »êºÎÀΰú), Á¦13ȸ Çѵ¶¿©ÀÇ»çÇмú´ë»ó
¹ÚÂùÈì ±³¼ö(ÇѸ²´ëÃáõ¼º½Éº´¿ø À̺ñÀÎÈİú), ´ëÇÑÀ̺ñÀÎÈİúÇÐȸ Çмú»ó
Á¶¼öÁø ±³¼ö(ÇѸ²´ëµ¿Åº¼º½Éº´¿ø ½Å°æ°ú), Á¦26ȸ JWÁß¿ÜÇмú´ë»ó
¼­Á¤°Ç ¿¬¼¼¼­³»°ú ¿øÀå ÀåÀλó