2025³â12¿ù29ÀÏmon
·Î±×ÀÎ | ȸ¿ø°¡ÀÔ
OFF
Æ®À§ÅÍ·Î º¸³»±â ½ÎÀÌ¿ùµå °ø°¨
±â»ç±ÛÈ®´ë ±â»ç±ÛÃà¼Ò ±â»ç½ºÅ©·¦ À̸ÞÀϹ®ÀÇ ÇÁ¸°Æ®Çϱâ
°Ç°­ÇÏ°Ô ºÎ¸ð ǰ ¾È±ä Ⱦ°Ý¸· Å»ÀåÁõ 'Ãʹ̼÷¾Æ'
¼­¿ï¾Æ»ê ¾î¸°À̺´¿ø ½Å»ý¾ÆÆÀ, 76ÀÏ È¥½ÅÀÇ Ä¡·á¡¤¼ö¼ú °á½Ç
[ 2019³â 06¿ù 27ÀÏ 15½Ã 45ºÐ ]

[µ¥Àϸ®¸Þµð ¹é¼ºÁÖ ±âÀÚ] 900g ¸ö¹«°Ô·Î ž Ãʹ̼÷¾Æ°¡ ¼±Ãµ¼º Ⱦ°Ý¸· Å»ÀåÁõÀ̶ó´Â ÀÌÁß°í¸¦ À̰ܳ»°í °Ç°­ÇÏ°Ô ºÎ¸ðÀÇ Ç°À¸·Î µ¹¾Æ°¬´Ù.
 

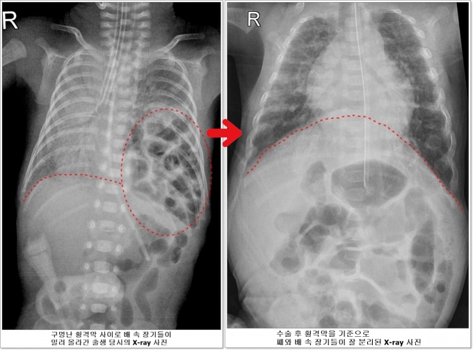
Ⱦ°Ý¸·Àº °¡½¿°ú ¹è¸¦ ³ª´©´Â ±ÙÀ°À¸·Î ¼±Ãµ¼º Ⱦ°Ý¸· Å»ÀåÁõÀº ±¸¸Û ³­ Ⱦ°Ý¸· »çÀÌ·Î ¹è ¼Ó Àå±â°¡ ¿Ã¶ó°¡ ½ÉÀå°ú Æó¸¦ ¾Ð¹ÚÇÏ´Â ÁßÁõ ÁúȯÀÌ´Ù.


¼­¿ï¾Æ»êº´¿øÀº ¼±Ãµ¼º Ⱦ°Ý¸· Å»ÀåÁõÀ» °®°í 27ÁÖ 5ÀÏ ¸¸¿¡ 900gÀÇ ÃʱؼÒÀúüÁß ¹Ì¼÷¾Æ·Î ž ÀüÈ£»ï(3°³¿ù/³²) ¾Æ±â°¡ 76ÀÏ °£ÀÇ ÁýÁßÄ¡·á¸¦ ¸¶Ä¡°í ÃÖ±Ù °Ç°­ÇÏ°Ô Åð¿øÇß´Ù°í 26ÀÏ ¹àÇû´Ù.


¹Ì±¹¼Ò¾Æ¿Ü°úÇÐȸÁö º¸°í¿¡ µû¸£¸é ÇöÀç±îÁö ¿ÞÂÊ ¼±Ãµ¼º Ⱦ°Ý¸· Å»ÀåÁõÀ» °®°í ž »ýÁ¸ÇÑ ¹Ì¼÷¾Æ Áß °¡Àå ÀÛÀº ¾ÆÀÌÀÇ Ã¼ÁßÀº 960gÀÌ´Ù.


È£»ïÀÌ´Â ±×º¸´Ù 60gÀ̳ª ÀûÀº 900gÀÇ Ã¼ÁßÀ¸·Î žÁö¸¸, Èûµç ¼ö¼úÀ» À̰ܳ»°í Ä¡·á¸¦ Àß ¸¶Ä£ ÈÄ ÁýÀ¸·Î µ¹¾Æ°¡°Ô µÈ °ÍÀÌ´Ù.  

È£»ïÀÌ ¾î¸Ó´Ï Á¤¾¾´Â ÀӽŠ7°³¿ù ´ç½Ã ÀÓ½ÅÁßµ¶ÁõÀÌ ¹ßº´ÇØ ÀÎõÀÇ ÇÑ ´ëÇк´¿øÀ¸·Î ¿Å°ÜÁ³´Ù. Ä¡·á °úÁ¤¿¡¼­ ¾Æ±â¿Í »ê¸ð°¡ ¸ðµÎ À§ÇèÇØÁú ¼ö ÀÖ¾î ÀӽŠ27ÁÖ 5ÀϰÀÎ Áö³­ 4¿ù 11ÀÏ ÀÀ±Þ Á¦¿ÕÀý°³ ¼ö¼úÀ» ¹Þ°í È£»ïÀ̸¦ Ãâ»êÇß´Ù.


È£»ïÀÌ´Â Ãâ»ý Á÷ÈÄ ¼ûÀ» ½¬Áö ¾Ê°í ½ÉÀåµµ ¶ÙÁö ¾Ê¾Æ ½ÉÆó¼Ò»ý¼úÀ» ¹Þ¾Ò´Ù. ¼Ò»ý ÈÄ ½ÃÇàÇÑ °Ë»ç¿¡¼­ »êÀü ÃÊÀ½ÆÄ¿¡¼­´Â ¹ß°ßÇÏÁö ¸øÇß´ø ¿ÞÂÊ ¼±Ãµ¼º Ⱦ°Ý¸· Å»ÀåÁõÀÌ È®ÀεƴÙ. ÁýÁßÄ¡·á¸¦ À§ÇØ °ð¹Ù·Î ¼­¿ï¾Æ»êº´¿ø ½Å»ý¾ÆÁßȯÀڽǷΠ¿Å°ÜÁ³´Ù. 


º¸Åë »êÀü °Ë»ç¿¡¼­ žÆÀÇ ¼±Ãµ¼º Ⱦ°Ý¸· Å»ÀåÁõÀÌ È®ÀεǸé, ÃÖ´ëÇÑ ¾ö¸¶ ¹î¼Ó¿¡¼­ ÀÚ¶ö ¼ö ÀÖµµ·Ï Çϰí 36ÁÖ ÀÌ»óÀÌ µÇ¾úÀ» ¶§ Ãâ»êÀ» ÇÑ´Ù.
 

Ãâ»ý ÈÄ ½Å»ý¾Æ´Â ½ÉÇÑ È£ÈíºÎÀüÀ¸·Î ÀÎÇØ ÀΰøÈ£Èí±â¿Í ¿¡Å©¸ð(ECMO) Ä¡·á°¡ ÇÊ¿äÇÏ´Ù. ±¸¸Û ³­ Ⱦ°Ý¸· »çÀ̸¦ ÅëÇØ ¿Ã¶ó°£ ¼ÒÈ­±â Àå±â¸¦ ¹è ¼ÓÀ¸·Î ³»¸®°í ±¸¸ÛÀ» ¸·´Â ¼ö¼úÀ» ¹Þ¾Æ¾ß ÇÑ´Ù.
 
ÇÏÁö¸¸ ¹Ì¼÷¾Æ, ƯÈ÷ 1kg ¹Ì¸¸ÀÇ Ãʹ̼÷¾ÆÀÇ °æ¿ì¿¡´Â Ç÷°üÀÌ ³Ê¹« ¾ã¾Æ ÁÖ»ç ¹Ù´Ã(Ä«Å×ÅÍ)À» ³ÖÀ» ¼ö ¾ø¾î ¿¡Å©¸ð Ä¡·áÁ¶Â÷ ºÒ°¡´ÉÇØ »ýÁ¸È®·üÀÌ Èñ¹ÚÇÏ´Ù. ÀÌ ¶§¹®¿¡ ¹Ì¼÷¾Æ ÁýÁßÄ¡·á¿¡¼­µµ °¡Àå °í³­µµ Ä¡·á Áß Çϳª·Î ¼Õ²ÅÈù´Ù.


Ãʹ̼÷¾ÆÀΠȣ»ïÀ̵µ ¿¡Å©¸ð Ä¡·á°¡ ºÒ°¡´ÉÇÑ »óÅ¿´°í, Àü ¼¼°èÀûÀ¸·Îµµ ¼±Ãµ¼º Ⱦ°Ý¸· Å»ÀåÁõÀ» °¡Áø Ãʹ̼÷¾ÆÀÇ Ä¡·á °æÇèµéÀÌ °ÅÀÇ ¾ø¾ú´Ù.

ÀÌ ¶§¹®¿¡ ±è±â¼ö‧±è¾Ö¶õ‧À̺´¼·‧Á¤ÀǼ® ±³¼ö·Î ±¸¼ºµÈ ¼­¿ï¾Æ»êº´¿ø ¾î¸°À̺´¿ø ½Å»ý¾ÆÆÀÀº Ä¡·á ³ëÇϿ츦 ÃÖ´ëÇÑ È°¿ë, ¼ö½Ã·Î »óŸ¦ °üÂûÇϸ鼭 Àü¹®ÀûÀÎ ÀΰøÈ£Èí±â Ä¡·á¸¦ ÅëÇØ ÀûÀýÇÑ »ê¼Ò ³óµµ¸¦ À¯ÁöÇß´Ù.


¶Ç ¼ÒÈ­±â Àå±âµéÀÌ ¸ðµÎ °¡½¿ ¾ÈÀ¸·Î µé¾î°¡ Àֱ⠶§¹®¿¡ ¸ðÀ¯µµ Á¤»óÀûÀ¸·Î ¸ÔÀ» ¼ö ¾ø¾î Á᫐ Á¤¸Æ°üÀ» ÅëÇØ ÁÖ»ç ¿µ¾çÁ¦¸¦ Åõ¿©Çß´Ù. ÇÏÁö¸¸ ÁÖ»ç ¿µ¾çÁ¦¸¦ ÇØµ¶Çϱâ À§ÇØ °£(ÊÜ)ÀÇ ºÎ´ãÀÌ Ä¿Áö¸é¼­ ´ãÁóÁ¤Ã¼°¡ ÀϾ°í ÀåÆó»öÀÌ ¹ß»ýÇϱ⵵ Çß´Ù.


È£»ïÀÌ´Â ÀÌ ¸ðµç °úÁ¤À» ´Ù À̰ܳ»°í ž Áö 40ÀÏÀÌ µÇ´ø 5¿ù20ÀÏ Ã¼Áß 1530gÀÌ µÇ¸é¼­ ¼Ò¾Æ¿Ü°ú ³²±ÃÁ¤¸¸ ±³¼ö°¡ ±¸¸Û³­ Ⱦ°Ý¸·À» ¸·´Â ¼ö¼úÀ» ¼º°øÀûÀ¸·Î ½ÃÇàÇß´Ù.


ÀÌÈÄ Ãâ»ý 47Àϰ¿¡ ÀΰøÈ£Èí±â¸¦ »©°í ½º½º·Î ¼ûÀ» ½¬±â ½ÃÀÛÇß´Ù. ÀÔÀ¸·Î ¸ðÀ¯¸¦ ¸ÔÀ» ¼ö ÀÖÀ» Á¤µµ·Î ºü¸£°Ô ȸº¹µÇ¸é¼­ üÁß 2.4kgÀÌ µÅ Áö³­ 6¿ù25ÀÏ º¸ÅëÀÇ ½Å»ý¾Æµéó·³ ºÎ¸ð´Ô°ú ÇÔ²² ÁýÀ¸·Î µ¹¾Æ°¥ ¼ö ÀÖ¾ú´Ù.


È£»ïÀÌ ºÎ¸ð´Â Áß±¹ÀÎÀ¸·Î 20¿©³â µ¿¾È Çѱ¹¿¡¼­ ¹«¿ª¾÷À» Çϰí ÀÖ´Ù. ¾î¸Ó´Ï Á¤Çâ¼±¾¾(38¼¼)´Â “ÀÌ·¸°Ô ¾ÆÀ̰¡ °Ç°­À» µÇã¾Æ °¡Á·°ú ÇÔ²² ÁýÀ¸·Î µ¹¾Æ°¥ ¼ö ÀÖ¾î ÇູÇÏ´Ù. ¾ÆÀ̸¦ »ì·ÁÁֽŠÀÇ·áÁø¿¡ °¨»çÇÑ ¸¶À½ »ÓÀÌ´Ù”°í ¸»Çß´Ù.


È£»ïÀÌ ÁÖÄ¡ÀÇÀÎ Á¤ÀǼ® ¼­¿ï¾Æ»êº´¿ø ½Å»ý¾Æ°ú ±³¼ö´Â “¾Æ±â¸¦ »ì¸®±â À§ÇØ ´Ù¸¥ º´¿ø ÀÇ·áÁøµé °£ÀÇ ±ä¹ÐÇÑ ÇùÁ¶°¡ ÀÌ·ïÁ³°í, ÀÌ·¯ÇÑ ³ë·Âµé·Î ÁÁÀº °á½ÇÀ» ¸ÎÀ» ¼ö ÀÖ¾ú´Ù”°í ¹àÇû´Ù.


±×´Â “Çö´ë ÀÇÇбâ¼ú·Îµµ ºÒ°¡´ÉÇÏ´Ù°í ¿©°ÜÁö´Â ÀÏÀ» Æ÷±âÇÏÁö ¾Ê°í ½Å»ý¾ÆÁßȯÀڽǿ¡¼­ ¿À·£ Ä¡·á¿Í Àü¹®¼ºÀ» °®Ãá ÀÇ»ç¿Í °£È£»çµéÀÌ ÈûÀ» ÇÕÃÄ °¡´ÉÀ¸·Î ¹Ù²å´Ù´Âµ¥ Å« Àǹ̰¡ ÀÖ´Ù”°í °­Á¶Çß´Ù.

paeksj@dailymedi.com
À̱âÀÚÀÇ ´Ù¸¥´º½ºº¸±â
¹«ÅëÀåÀÔ±Ý Á¤º¸ÀÔ·Â ÀÔ±ÝÀÚ¸í ÀԱݿ¹Á¤ÀÏÀÚ
(ÀÔ±ÝÇÏ½Ç ÀÔ±ÝÀÚ¸í + ÀԱݿ¹Á¤ÀÏÀÚ¸¦ ÀÔ·ÂÇϼ¼¿ä)
[°ü·Ã´º½º]
¼­¿ï¾Æ»ê, ±¹³» ÃÖÃÊ 'Àü¸³¼±¾Ï ¿µ»ó À¶ÇÕ Àåºñ' µµÀÔ
Æ®À§ÅÍ·Î º¸³»±â ½ÎÀÌ¿ùµå °ø°¨
±â»ç±ÛÈ®´ë ±â»ç±ÛÃà¼Ò ±â»ç½ºÅ©·¦ À̸ÞÀϹ®ÀÇ ÇÁ¸°Æ®Çϱâ
¸íÁöº´¿ø, ͺ À̰ÇÈñ ȸÀå ÁÖÄ¡ÀÇ À̰­¿ì ±³¼ö(»ï¼º¼­¿ïº´¿ø ÀçȰÀÇÇаú) ¿µÀÔ
´ëÀü¼º¸ðº´¿ø ±èµ¿±â¡¤À̵¿Ã¢ ±³¼ö, ´ëÇÑÀ̺ñÀÎÈİúÇÐȸ ÃÖ¿ì¼ö ±¸¿¬»ó¡¤ÃÖ¿ì¼ö Æ÷½ºÅÍ»ó
Á¶Àç¿ì ±³¼ö(°í´ë±¸·Îº´¿ø Á¤Çü¿Ü°ú), ´ëÇѰñÀýÇÐȸ ÃÖ´Ù³í¹®»ó
´ëÇÑÀÇ»çÇùȸ ºÎȸÀå ¹éÇö¿í¡¤Àǹ«ÀÌ»ç ¿Àµ¿È£¡¤Á¤º¸Åë½ÅÀÌ»ç À¯¼Ò¿µèâ
Çѱ¹Á¦¾à¹ÙÀÌ¿ÀÇùȸ ÀǾàǰ±¤°í½ÉÀÇÀ§¿øÈ¸ À§¿øÀå ±è¼ºÁø¡¤ºÎÀ§¿øÀå ÀÌÁØÈñ¡¤ÀåÃá°ï èâ
¹è±â¼ö ±³¼ö(¾ÆÁִ뺴¿ø ¼Ò¾ÆÃ»¼Ò³â°ú), Á¦100ȸ ¾î¸°À̳¯ ¿ÁÁ¶±ÙÁ¤ÈÆÀå
À̺´ÈÆ¡¤½ÉÀç¾Ó ±³¼öÆÀ(±æº´¿ø Á¤Çü¿Ü°ú), ´ëÇѰñÀýÇÐȸ ¿ÃÇØ ¿ì¼ö ±¸¿¬»ó
³²°¡Àº ±³¼ö(°í´ë±¸·Îº´¿ø °¡Á¤ÀÇÇаú), Çѱ¹¿©ÀÚÀÇ»çȸ Á¦4ȸ ÀþÀºÀÇÇÐÀÚ Çмú»ó
±¹¸³Áß¾ÓÀÇ·á¿ø Áß¾ÓÀÀ±ÞÀÇ·á¼¾ÅÍÀå ±è¼ºÁß(Á¶¼±´ëº´¿ø ÀÀ±ÞÀÇÇаú ±³¼ö)
ÃÖÁ¤¿õ ¿µ°æÀÇ·áÀç´Ü ÀüÁÖº´¿ø ÀÌ»çÀå, ¾Æµ¿º¸È£»ç¾÷ ±â±Ý 4000¸¸¿ø
±è¿µÁÖ ±³¼ö(ÀÌ´ë¸ñµ¿º´¿ø »êºÎÀΰú), Á¦13ȸ Çѵ¶¿©ÀÇ»çÇмú´ë»ó
¹ÚÂùÈì ±³¼ö(ÇѸ²´ëÃáõ¼º½Éº´¿ø À̺ñÀÎÈİú), ´ëÇÑÀ̺ñÀÎÈİúÇÐȸ Çмú»ó
Á¶¼öÁø ±³¼ö(ÇѸ²´ëµ¿Åº¼º½Éº´¿ø ½Å°æ°ú), Á¦26ȸ JWÁß¿ÜÇмú´ë»ó
¼­Á¤°Ç ¿¬¼¼¼­³»°ú ¿øÀå ÀåÀλó