2025³â12¿ù29ÀÏmon
·Î±×ÀÎ | ȸ¿ø°¡ÀÔ
OFF
Æ®À§ÅÍ·Î º¸³»±â ½ÎÀÌ¿ùµå °ø°¨
±â»ç±ÛÈ®´ë ±â»ç±ÛÃà¼Ò ±â»ç½ºÅ©·¦ À̸ÞÀϹ®ÀÇ ÇÁ¸°Æ®Çϱâ
¼¼ºê¶õ½º "ÀΰøÁö´É X-ray ÆÇµ¶±â¼ú, µö³ëÀ̵å ÀÌÀü"
"ȯÀÚ ÁßÁõµµ µî ÆÄ¾Ç °¡´É, ÀÇ»ç ¿ªÇÒ ±Ø´ëÈ­ ±â¿©"
[ 2019³â 07¿ù 24ÀÏ 13½Ã 45ºÐ ]
[µ¥Àϸ®¸Þµð °íÀç¿ì ±âÀÚ] ¼¼ºê¶õ½ºº´¿ø ¿µ»óÀÇÇаú ÀÌ¿µÇÑ ±³¼öÆÀ°ú ¿¬¼¼´ëÇб³ °ø°ú´ëÇРȲµµ½Ä ±³¼öÆÀÀÌ °øµ¿¿¬±¸¸¦ ÅëÇØ °³¹ßÇÑ ÀΰøÁö´É ±â¼úÀ» µö³ëÀ̵忡 ÀÌÀüÇß´Ù°í 24ÀÏ ¹àÇû´Ù.

ÇØ´ç ±â¼úÀ» ÀÌ¿ëÇϸé X-ray ÆÇµ¶ °á°ú·Î ȯÀÚÀÇ ÁßÁõµµ¸¦ ÆÄ¾ÇÇÒ ¼ö ÀÖ´Ù.
 
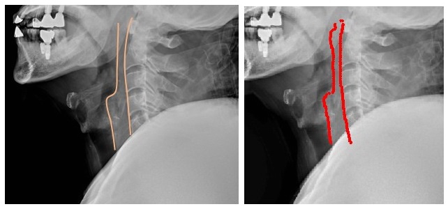
ÀϹÝÀûÀ¸·Î ¿Ü»óÀ¸·Î ÀÀ±Þ½ÇÀ» ¹æ¹®ÇÑ È¯ÀÚ´Â °æÃß·ÈäºÎ·°ñ¹Ý µî X-ray¸¦ ÃÔ¿µÇÑ´Ù. ÀÌÁß °æÃß X-ray ¿µ»óÀº ÀÀ±ÞȯÀÚ³ª ÁßÁõȯÀÚ¸¦ Æò°¡Çϴµ¥ ±âÃÊ ¿µ»óÀÚ·á·Î Ȱ¿ëµÈ´Ù.
 
°æÃß C2/C3¹ø°ú C6/7¹øÀÇ °æ¿ì ôÃß¾Õ °ø°£Àº °¢°¢ 6~7mm¿Í 20mmÁ¤µµ·Î ÃøÁ¤µÇ´Âµ¥, ³»ºÎÃâÇ÷À̳ª ºÎÁ¾ µîÀÌ ÀÖÀ» °æ¿ì µÎ²²°¡ ³Ð¾îÁø´Ù.

À̶§ ÀÇ»ç´Â X-ray ¿µ»ó ÆÇµ¶°á°ú¿¡ µû¶ó CT³ª MRI µî Á¤¹Ð°Ë»ç¸¦ ÇÒÁö, ¾Æ´Ï¸é ÀÀ±Þóġ¸¦ ¿ì¼±ÇÒÁö °èȹÀ» ¼¼¿î´Ù.
 
ÀÌ¿µÇÑ ±³¼öÆÀÀº °æÃß X-ray °Ë»ç¿¡¼­ C2¹ø°ú C6¹ø ôÃß¾Õ °ø°£À» °ËÃâÇÒ ¼ö ÀÖµµ·Ï 200¸íÀÇ ÃøÁ¤ °ªÀ» µ¥ÀÌÅÍÈ­½ÃÄÑ µö·¯´×À» ÅëÇØ AI¿¡ ÇнÀ½ÃÄ×´Ù. À̾î AI¸¦ ÅëÇØ ÀÀ±Þ½ÇÀ» ¹æ¹®ÇÑ 136¸íÀÇ °æÃß X-ray¸¦ ºÐ¼®Çß´Ù.
 
ºÐ¼® °á°ú¿¡ µû¸£¸é C2ÀÇ °æ¿ì 97%¿¡¼­ ¿µ»óÀÇÇаú ÀÇ»ç Áø´Ü°ú ÀÏÄ¡Çß°í, C6ÀÇ °æ¿ì¿¡´Â 92.7%¿¡¼­ Á¤È®µµ¸¦ º¸¿´´Ù. ƯÈ÷ °æÃß ¼ö¼úÀ» ¹ÞÀº ȯÀÚ³ª ÀÓÇöõÆ® µî º¸Ã¶¹°À» °¡Áø ȯÀڴ Á¤È®ÇÑ Áø´Üµµ °¡´ÉÇß´Ù.
 
½ÇÁ¦ Ä¡°ú º¸Ã¶Ä¡·á¸¦ ¹ÞÀº ¿Ü»óȯÀÚÀÇ °æÃß X-ray ¿µ»óÀ» ¿µ»óÀÇÇаú Àǻ簡 ÆÇµ¶(»çÁø ÁÂÃø)ÇÑ °á°ú¿Í AI°¡ ÆÇµ¶(»çÁø ¿ìÃø)ÇÑ °á°ú¸¦ ºñ±³ÇßÀ» ¶§ Å« Â÷À̰¡ ¾ø¾ú´Ù.

¿¢½º·¹À̸¦ ÆÇµ¶ÇÒ ¶§ ôÃß ¾Õ °ø°£À» º¸±â À§ÇØ Ã´Ãß ¾Õ °ø°£¼±À» ±×¸®°Ô µÇ´Âµ¥, AI¿ª½Ã Àǻ簡 ±×¸° °ø°£¼±°ú °°Àº ¸ð¾çÀ» ±×·È´Ù.
 
ÀÌ ±³¼öÆÀÀº À̹ø X-ray AI ±â¼úÀÌ Àû¿ëµÉ °æ¿ì ÀÀ±Þ½ÇÀ» ¹æ¹®ÇÑ ¿Ü»óȯÀÚÀÇ °æ¿ì ºü¸¥ ÁßÁõµµ ºÐ·ù¸¦ ÅëÇØ Á¦ÇÑµÈ ÀÇ·áÀηÂÀÌ Àû½Ã ÅõÀԵŠȯÀڵ鿡°Ô ÀûÀýÇÑ Ä¡·á¸¦ Á¦°øÇÒ °ÍÀ¸·Î ±â´ëÇϰí ÀÖ´Ù.
 
¶Ç ±â¼úÀ» ÀÌÀü ¹ÞÀº µö³ëÀ̵å¿Í ¿¬±¸¸¦ ½Ç¿ëÈ­Çϱâ À§ÇØ Àӻ󿬱¸µµ °èȹ ÁßÀÌ´Ù.
 
ÀÌ¿µÇÑ ±³¼ö´Â “¹Ù»Û ÀÀ±Þ½Ç¿¡¼­ X-ray ÆÇµ¶ AI ±â¼úÀÌ Àû¿ëµÇ¸é ÀÇ»ç ¿ªÇÒÀÌ ÁÙ¾îµå´Â °Ô ¾Æ´Ï¶ó ÀÇ»ç ÁýÁß·ÂÀ» ³ôÀÌ°í ¿ªÇÒÀ» ±Ø´ëÈ­Çϴµ¥ À̹ÙÁö ÇÒ °Í”À̶ó°í ¸»Çß´Ù.
ko@dailymedi.com
À̱âÀÚÀÇ ´Ù¸¥´º½ºº¸±â
¹«ÅëÀåÀÔ±Ý Á¤º¸ÀÔ·Â ÀÔ±ÝÀÚ¸í ÀԱݿ¹Á¤ÀÏÀÚ
(ÀÔ±ÝÇÏ½Ç ÀÔ±ÝÀÚ¸í + ÀԱݿ¹Á¤ÀÏÀÚ¸¦ ÀÔ·ÂÇϼ¼¿ä)
[°ü·Ã´º½º]
- °ü·Ã´º½º°¡ ¾ø½À´Ï´Ù.
Æ®À§ÅÍ·Î º¸³»±â ½ÎÀÌ¿ùµå °ø°¨
±â»ç±ÛÈ®´ë ±â»ç±ÛÃà¼Ò ±â»ç½ºÅ©·¦ À̸ÞÀϹ®ÀÇ ÇÁ¸°Æ®Çϱâ
¸íÁöº´¿ø, ͺ À̰ÇÈñ ȸÀå ÁÖÄ¡ÀÇ À̰­¿ì ±³¼ö(»ï¼º¼­¿ïº´¿ø ÀçȰÀÇÇаú) ¿µÀÔ
´ëÀü¼º¸ðº´¿ø ±èµ¿±â¡¤À̵¿Ã¢ ±³¼ö, ´ëÇÑÀ̺ñÀÎÈİúÇÐȸ ÃÖ¿ì¼ö ±¸¿¬»ó¡¤ÃÖ¿ì¼ö Æ÷½ºÅÍ»ó
Á¶Àç¿ì ±³¼ö(°í´ë±¸·Îº´¿ø Á¤Çü¿Ü°ú), ´ëÇѰñÀýÇÐȸ ÃÖ´Ù³í¹®»ó
´ëÇÑÀÇ»çÇùȸ ºÎȸÀå ¹éÇö¿í¡¤Àǹ«ÀÌ»ç ¿Àµ¿È£¡¤Á¤º¸Åë½ÅÀÌ»ç À¯¼Ò¿µèâ
Çѱ¹Á¦¾à¹ÙÀÌ¿ÀÇùȸ ÀǾàǰ±¤°í½ÉÀÇÀ§¿øÈ¸ À§¿øÀå ±è¼ºÁø¡¤ºÎÀ§¿øÀå ÀÌÁØÈñ¡¤ÀåÃá°ï èâ
¹è±â¼ö ±³¼ö(¾ÆÁִ뺴¿ø ¼Ò¾ÆÃ»¼Ò³â°ú), Á¦100ȸ ¾î¸°À̳¯ ¿ÁÁ¶±ÙÁ¤ÈÆÀå
À̺´ÈÆ¡¤½ÉÀç¾Ó ±³¼öÆÀ(±æº´¿ø Á¤Çü¿Ü°ú), ´ëÇѰñÀýÇÐȸ ¿ÃÇØ ¿ì¼ö ±¸¿¬»ó
³²°¡Àº ±³¼ö(°í´ë±¸·Îº´¿ø °¡Á¤ÀÇÇаú), Çѱ¹¿©ÀÚÀÇ»çȸ Á¦4ȸ ÀþÀºÀÇÇÐÀÚ Çмú»ó
±¹¸³Áß¾ÓÀÇ·á¿ø Áß¾ÓÀÀ±ÞÀÇ·á¼¾ÅÍÀå ±è¼ºÁß(Á¶¼±´ëº´¿ø ÀÀ±ÞÀÇÇаú ±³¼ö)
ÃÖÁ¤¿õ ¿µ°æÀÇ·áÀç´Ü ÀüÁÖº´¿ø ÀÌ»çÀå, ¾Æµ¿º¸È£»ç¾÷ ±â±Ý 4000¸¸¿ø
±è¿µÁÖ ±³¼ö(ÀÌ´ë¸ñµ¿º´¿ø »êºÎÀΰú), Á¦13ȸ Çѵ¶¿©ÀÇ»çÇмú´ë»ó
¹ÚÂùÈì ±³¼ö(ÇѸ²´ëÃáõ¼º½Éº´¿ø À̺ñÀÎÈİú), ´ëÇÑÀ̺ñÀÎÈİúÇÐȸ Çмú»ó
Á¶¼öÁø ±³¼ö(ÇѸ²´ëµ¿Åº¼º½Éº´¿ø ½Å°æ°ú), Á¦26ȸ JWÁß¿ÜÇмú´ë»ó
¼­Á¤°Ç ¿¬¼¼¼­³»°ú ¿øÀå ÀåÀλó