2025³â12¿ù29ÀÏmon
·Î±×ÀÎ | ȸ¿ø°¡ÀÔ
OFF
Æ®À§ÅÍ·Î º¸³»±â ½ÎÀÌ¿ùµå °ø°¨
±â»ç±ÛÈ®´ë ±â»ç±ÛÃà¼Ò ±â»ç½ºÅ©·¦ À̸ÞÀϹ®ÀÇ ÇÁ¸°Æ®Çϱâ
Ãß³ª¿ä¹ý ¿ø¸® Âø¾È 'Ç㸮º¸È£Äí¼Ç' Ãâ½Ã
ÀÚ»ý¹ÙÀÌ¿À, ÀÚ»ý ¸ÂÃãÀÇÇÐ Á¦Ç° 2Á¾ ¼±ºÄ
[ 2019³â 09¿ù 02ÀÏ 11½Ã 45ºÐ ]

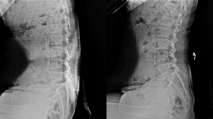
[µ¥Àϸ®¸Þµð ¹ÚÁ¤¿¬ ±âÀÚ] ÀÚ»ýÇѹ溴¿ø °ü°è»ç ÀÚ»ý¹ÙÀÌ¿À´Â ÀÏ»ó»ýȰ ¼Ó ôÃßÀÇ ¿Ã¹Ù¸¥ ÀÚ¼¼ À¯ÁöÀ» µ½´Â Ç㸮Äí¼Ç ‘ÀÚ»ý ¸ÂÃã¹ÌÇÐ Ç㸮Äí¼Ç’À» Ãâ½ÃÇß´Ù°í 2ÀÏ ¹àÇû´Ù.

 

ÀÚ»ý ¸ÂÃã¹ÌÇÐ Ç㸮Äí¼ÇÀº ÀÇÀÚ µî¹ÞÀÌ¿¡ °íÁ¤ÇØ »ç¿ëÇÏ´Â Á¦Ç°À¸·Î, ÀÚ»ýÇѹ溴¿øÀÇ Ãß³ª¿ä¹ý ¿ø¸®¿¡ Âø¾ÈÇØ °³¹ßµÆ´Ù. ±âÁ¸ Ç㸮Äí¼Ç°ú Â÷º°È­µÈ ±â¼úÀ» ÅëÇØ ¾ÉÀº ÀÚ¼¼¿¡¼­ ôÃß°¡ °¡ÇØÁö´Â ÇÏÁßÀ» È¿°úÀûÀ¸·Î ºÐ»ê½ÃÄÑÁØ´Ù.

 

°¡Àå Å« Ư¡Àº Á¦Ç° Á߾Ӻο¡ À§Ä¡ÇÑ Èä¿äÃß¿¬Á¢ºÎ ¹Þħ´ë´Ù. Èä¿äÃß¿¬Á¢ºÎ¶õ ÈäÃß(µî»À)¿Í ¿äÃß(Ç㸮»À)°¡ À̾îÁö´Â ÁöÁ¡À¸·Î, µð½ºÅ© ÁúȯÀÌ °¡Àå ºó¹øÈ÷ ¹ß»ýÇÏ´Â ¿äÃß 4¹ø°ú 5¹ø ¿¬°áºÎÀ§¿¡¼­ 10~15cm ¶³¾îÁø °÷¿¡ À§Ä¡ÇØ ÀÖ´Ù.
 

ÀÚ»ý ¸ÂÃã¹ÌÇÐ Ç㸮Äí¼ÇÀº ÀÌ Èä¿äÃß¿¬Á¢ºÎ¸¦ È¿°úÀûÀ¸·Î ÁöÁöÇØÁÜÀ¸·Î½á üÁß ºÐ»êÀ» µ½°í ¿äÃ߸¦ ½ÅÀå½ÃÄÑ Ã´Ãß¿¡ °¡ÇØÁö´Â ¾Ð¹ÚÀ» ÇØ¼Ò½ÃÄÑÁØ´Ù.

½ÇÁ¦ Ãß³ª¿ä¹ý¿¡¼­µµ Èä¿äÃß¿¬Á¢ºÎ´Â ôÃßÁúȯ Ä¡·á ½Ã Áß¿äÇÏ°Ô ¿©°ÜÁö´Â ºÎÀ§·Î Ʋ¾îÁø Èä¿äÃß¿¬Á¢ºÎ À§Ä¡¸¦ ¿Ã¹Ù¸£°Ô µÇµ¹·Á ôÃ߸¦ ºñ·ÔÇØ ÁÖº¯ ½Å°æ°ú ±ÙÀ°ÀÌ ¹Þ´Â ¾Ð¹ÚÀ» ÇØ¼Ò½ÃŲ´Ù.

 

ÀÚ»ý¹ÙÀÌ¿À °ü°èÀÚ´Â “ÀÚ»ý ¸ÂÃã¹ÌÇÐ Ç㸮Äí¼ÇÀº ¶óµ· µî ¹ß¾Ï¹°Áú°ú ȯ°æ È£¸£¸óÀÌ »ý¼ºµÇÁö ¾Ê´Â ÀÎüÀÇ ¹«ÇØÇÑ ¼ÒÀç·Î Á¦À۵г²³à³ë¼Ò ¸ðµÎ ¾È½ÉÇÏ°í »ç¿ëÇÒ ¼ö ÀÖ´Ù”¸ç “ÇöÀç Èä¿äÃß¿¬Á¢ºÎ¸¦ ÁöÁöÇÒ ¼ö ÀÖ´Â ÀÚ»ý ¸ÂÃã¹ÌÇÐ Ç㸮Äí¼Ç ¸¸ÀÇ ±â¼ú°ú µðÀÚÀο¡ ´ëÇÑ Æ¯Çã ¹× µðÀÚÀαÇÀ» Ãâ¿øÇß´Ù”°í ¸»Çß´Ù.

 

ÀÚ»ý ¸ÂÃã¹ÌÇÐ Ç㸮Äí¼ÇÀº 9¿ù3ÀϺÎÅÍ Àü±¹ 21°³ ÀÚ»ýÇѹ溴¿ø¤ýÀÚ»ýÇÑÀÇ¿ø ³» ÀÚ»ý¹ÙÀÌ¿À¼ó¿¡¼­ ±¸¸ÅÇÒ ¼ö ÀÖ´Ù.

mut@dailymedi.com
À̱âÀÚÀÇ ´Ù¸¥´º½ºº¸±â
¹«ÅëÀåÀÔ±Ý Á¤º¸ÀÔ·Â ÀÔ±ÝÀÚ¸í ÀԱݿ¹Á¤ÀÏÀÚ
(ÀÔ±ÝÇÏ½Ç ÀÔ±ÝÀÚ¸í + ÀԱݿ¹Á¤ÀÏÀÚ¸¦ ÀÔ·ÂÇϼ¼¿ä)
[°ü·Ã´º½º]
- °ü·Ã´º½º°¡ ¾ø½À´Ï´Ù.
Æ®À§ÅÍ·Î º¸³»±â ½ÎÀÌ¿ùµå °ø°¨
±â»ç±ÛÈ®´ë ±â»ç±ÛÃà¼Ò ±â»ç½ºÅ©·¦ À̸ÞÀϹ®ÀÇ ÇÁ¸°Æ®Çϱâ
¸íÁöº´¿ø, ͺ À̰ÇÈñ ȸÀå ÁÖÄ¡ÀÇ À̰­¿ì ±³¼ö(»ï¼º¼­¿ïº´¿ø ÀçȰÀÇÇаú) ¿µÀÔ
´ëÀü¼º¸ðº´¿ø ±èµ¿±â¡¤À̵¿Ã¢ ±³¼ö, ´ëÇÑÀ̺ñÀÎÈİúÇÐȸ ÃÖ¿ì¼ö ±¸¿¬»ó¡¤ÃÖ¿ì¼ö Æ÷½ºÅÍ»ó
Á¶Àç¿ì ±³¼ö(°í´ë±¸·Îº´¿ø Á¤Çü¿Ü°ú), ´ëÇѰñÀýÇÐȸ ÃÖ´Ù³í¹®»ó
´ëÇÑÀÇ»çÇùȸ ºÎȸÀå ¹éÇö¿í¡¤Àǹ«ÀÌ»ç ¿Àµ¿È£¡¤Á¤º¸Åë½ÅÀÌ»ç À¯¼Ò¿µèâ
Çѱ¹Á¦¾à¹ÙÀÌ¿ÀÇùȸ ÀǾàǰ±¤°í½ÉÀÇÀ§¿øÈ¸ À§¿øÀå ±è¼ºÁø¡¤ºÎÀ§¿øÀå ÀÌÁØÈñ¡¤ÀåÃá°ï èâ
¹è±â¼ö ±³¼ö(¾ÆÁִ뺴¿ø ¼Ò¾ÆÃ»¼Ò³â°ú), Á¦100ȸ ¾î¸°À̳¯ ¿ÁÁ¶±ÙÁ¤ÈÆÀå
À̺´ÈÆ¡¤½ÉÀç¾Ó ±³¼öÆÀ(±æº´¿ø Á¤Çü¿Ü°ú), ´ëÇѰñÀýÇÐȸ ¿ÃÇØ ¿ì¼ö ±¸¿¬»ó
³²°¡Àº ±³¼ö(°í´ë±¸·Îº´¿ø °¡Á¤ÀÇÇаú), Çѱ¹¿©ÀÚÀÇ»çȸ Á¦4ȸ ÀþÀºÀÇÇÐÀÚ Çмú»ó
±¹¸³Áß¾ÓÀÇ·á¿ø Áß¾ÓÀÀ±ÞÀÇ·á¼¾ÅÍÀå ±è¼ºÁß(Á¶¼±´ëº´¿ø ÀÀ±ÞÀÇÇаú ±³¼ö)
ÃÖÁ¤¿õ ¿µ°æÀÇ·áÀç´Ü ÀüÁÖº´¿ø ÀÌ»çÀå, ¾Æµ¿º¸È£»ç¾÷ ±â±Ý 4000¸¸¿ø
±è¿µÁÖ ±³¼ö(ÀÌ´ë¸ñµ¿º´¿ø »êºÎÀΰú), Á¦13ȸ Çѵ¶¿©ÀÇ»çÇмú´ë»ó
¹ÚÂùÈì ±³¼ö(ÇѸ²´ëÃáõ¼º½Éº´¿ø À̺ñÀÎÈİú), ´ëÇÑÀ̺ñÀÎÈİúÇÐȸ Çмú»ó
Á¶¼öÁø ±³¼ö(ÇѸ²´ëµ¿Åº¼º½Éº´¿ø ½Å°æ°ú), Á¦26ȸ JWÁß¿ÜÇмú´ë»ó
¼­Á¤°Ç ¿¬¼¼¼­³»°ú ¿øÀå ÀåÀλó