2025³â12¿ù27ÀÏsat
·Î±×ÀÎ | ȸ¿ø°¡ÀÔ
OFF
Æ®À§ÅÍ·Î º¸³»±â ½ÎÀÌ¿ùµå °ø°¨
±â»ç±ÛÈ®´ë ±â»ç±ÛÃà¼Ò ±â»ç½ºÅ©·¦ À̸ÞÀϹ®ÀÇ ÇÁ¸°Æ®Çϱâ
»ðÀÔ¸·´ë »ç°¢ °íÁ¤¹ý ½Ç½Ã ÈÄ '³Ê½º¼ö¼ú Àç¼ö¼ú' ±Þ°¨
ÀÎõ¼º¸ð Á¤Áø¿ë ±³¼öÆÀ "±³Á¤¸·´ë À§Ä¡ À̵¿½ÃÄÑ ºÎÀÛ¿ë ÁÙ¿©"
[ 2020³â 01¿ù 01ÀÏ 15½Ã 06ºÐ ]
[µ¥Àϸ®¸Þµð ÇÑÇØÁø ±âÀÚ] ¿À¸ñ°¡½¿¿¡ ´ëÇÑ ÃÖ¼Òħ½À¼ö¼úÀÎ ³Ê½º¼ö¼ú ½ÃÇà½Ã »ðÀÔ ¸·´ë¿¡ »ç°¢°íÁ¤¹ýÀ» Àû¿ëÇϸé Àç¼ö¼ú·üÀ» ȹ±âÀûÀ¸·Î ÁÙÀÏ ¼ö ÀÖ´Ù´Â ¿¬±¸°á°ú°¡ ¹ßÇ¥µÆ´Ù.
 
°¡Å縯´ëÇб³ ÀÎõ¼º¸ðº´¿ø ÈäºÎ¿Ü°ú Á¤Áø¿ë ±³¼öÆÀÀº ³Ê½º¼ö¼ú ½Ã ¿À¸ñ°¡½¿ ±³Á¤¿ë ±Ý¼Ó¸·´ë ¿©·¯ °³¸¦ »ðÀÔÇÑ ÈÄ À̵éÀÌ ¿òÁ÷ÀÌ´Â °ÍÀ» ¹æÁöÇÏ´Â »ç°¢°íÁ¤¹ýÀ» ½ÃÇà, Àç¼ö¼ú È®·üÀ» ȹ±âÀûÀ¸·Î ³·Ãè´Ù°í 1ÀÏ ¹àÇû´Ù.
 
1998³â ¹Ì±¹¿¡¼­ ½ÃÀÛµÈ ³Ê½º¼ö¼úÀº ¾ç ¿·±¸¸® ÇǺθ¦ 1§¯Á¤µµ Àý°³ÇÑ µÚ, Ȱó·³ ÈØ ±³Á¤¿ë ±Ý¼Ó¸·´ë¸¦ °¥ºñ»À ¾ÈÂÊ¿¡ »ðÀÔÇØ ÇÔ¸ôµÈ °¡½¿»À¿Í ¿¬°ñÀ» µé¾î ¿Ã·ÁÁÖ´Â ¼ö¼ú¹ýÀÌ´Ù.

»ðÀÔµÈ ±³Á¤¸·´ë´Â º¸Åë 2~3³â ÈÄ Á¦°ÅÇÑ´Ù. ÇÏÁö¸¸ ³Ê½º¼ö¼úÀº ±³Á¤À» À§ÇØ »ðÀÔÇÏ´Â ¸·´ë À§Ä¡À̵¿(ÀüÀ§)À¸·Î ¹ß»ýÇÏ´Â ¼ö¼ú ½ÇÆÐ³ª Àç¼ö¼úÀÌ °íÁúÀûÀÎ ¹®Á¦·Î ÁöÀûµÆ´Ù.
 
¿À¸ñ°¡½¿Àº °¡½¿»ÀÀÇ ¼±Ãµ¼º ±âÇü Áß °¡Àå ÈçÇÑ ÇüÅ·Î, °¥ºñ»À¿Í °¡½¿»À ¿¬°á ºÎÀ§ÀÎ °¡½¿¿¬°ñ µîÀÌ °¡½¿ ¾ÈÂÊÀ¸·Î ¿À¸ñÇÏ°Ô µé¾î°¡ ÀÖ´Â »óÅ´Ù.

¼±ÃµÀûÀ¸·Î °¡½¿»À¿Í ¿¬°áµÈ ¿¬°ñ ¹× ´Á°ñÀÇ ÀϺΰ¡ ¿òÇ«ÇÏ°Ô ÇÔ¸ôµÈ ±âÇüÀ¸·Î ÈäÅë, È£Èí°ï¶õ, Æó·Å, ôÃßÃø¸¸Áõ µîÀ» À¯¹ßÇÒ ¼ö ÀÖ´Ù. ¾à 1000¸í Áß 1¸í²Ã·Î ³ªÅ¸³­´Ù.
 
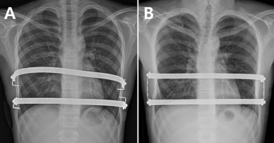
Á¤Áø¿ë ±³¼öÆÀÀº ±âÁ¸ 2°³ÀÇ ±³Á¤ ¸·´ë¸¦ °³º°ÀûÀ¸·Î °íÁ¤ÇÏ´Â ‘ºÐ¸®°íÁ¤ ¼ö¼ú¹ý’(»çÁøA)°ú, °¢ ±³Á¤ ¸·´ë ¾ç ³¡À» ÀÛÀº ±Ý¼Ó ¸·´ë·Î ¿¬°áÇØ »ç°¢Çü ÇüÅ·Π°íÁ¤ÇÏ´Â ‘»ç°¢°íÁ¤ ¼ö¼ú¹ý’(»çÁøB)ÀÇ °á°ú¸¦ ºñ±³ ºÐ¼®Çß´Ù.
 
ÀÇ·áÁøÀº 2011³â 9¿ùºÎÅÍ 2016³â 1¿ù±îÁö 2°³ÀÇ ±Ý¼Ó¸·´ë¸¦ »ðÀÔÇÑ ³Ê½º¼ö¼ú ȯÀÚ 86¸íÀ» ±³Á¤ ¸·´ëÀÇ ¾çÂÊ Ãø¸éÀ» °¢°¢ °íÁ¤ÇÑ A±º(44¸í, »çÁøA)°ú °¢ ±³Á¤ ¸·´ë¸¦ ¼¼·ÎÇü ¸·´ë¿Í ¿¬°áÇØ »ç°¢Çü ÇüÅ·Π°íÁ¤ ½ÃŲ B±º(42¸í, »çÁøB)À¸·Î ³ª´³´Ù. 
 
ÀÌÈÄ µÎ ±×·ìÀÇ ¡ã¿À¸ñ°¡½¿ÀÇ ÇÔ¸ô Á¤µµ¸¦ ³ªÅ¸³»´Â ÇÛ·¯ Áö¼ö(HI, Haller Index) ¡ã¼ö¼ú ÈÄ ±³Á¤ ¸·´ëÀÇ À§Ä¡º¯È­¸¦ º¸¿©ÁÖ´Â ¸·´ëÀüÀ§ Áö¼ö(BDI, Bar Displacement Index) ¡ãÀç¼ö¼ú·ü µîÀ» ºñ±³Çß´Ù.
 
±× °á°ú ¼ö¼ú ÈÄ A±º¿¡¼­ ¸·´ë ÀüÀ§·Î Àç¼ö¼úÇÑ °æ¿ì°¡ 6.8%(3¸í)Àε¥ ºñÇØ B±º¿¡¼­´Â Àç¼ö¼úÀÌ ´Ü ÇÑ °Çµµ ¾ø¾ú´Ù. A±º°ú B±º¿¡¼­ ¼ö¼ú ÀüÈÄ ÇÛ·¯ Áö¼ö Â÷ÀÌ´Â ³ªÅ¸³ªÁö ¾Ê¾Ò´Ù.
 
À̸¦ ÅëÇØ ¿¬±¸ÆÀÀº »ç°¢°íÁ¤ ¹æ¹ýÀÌ ºÐ¸®°íÁ¤ ¼ö¼ú¿¡ ºñÇØ ¸·´ë ÀüÀ§¸¦ º¸´Ù È¿°úÀûÀ¸·Î ¹æÁöÇϰí, ÀÌ·Î ÀÎÇÑ Àç¼ö¼úÀ» ÃÖ¼ÒÈ­ÇÒ ¼ö ÀÖ´Ù´Â °á°ú¸¦ È®ÀÎÇß´Ù.
 
Á¤Áø¿ë ±³¼ö´Â “¿À¸ñ°¡½¿ ±³Á¤À» À§ÇØ »ðÀÔÇÑ ±³Á¤¸·´ë º¯À§´Â ½É°¢ÇÑ ÇÕº´ÁõÀ» ÃÊ·¡ÇÒ ¼ö ÀÖ´Ù”¸é¼­ “³Ê½º¼ö¼ú¿¡¼­ »ç°¢°íÁ¤ ¼ö¼ú¹ýÀ» »ç¿ëÇÏ¸é ±âÁ¸º¸´Ù º¯À§¸¦ È¿°úÀûÀ¸·Î ¹æÁö, Àç¼ö¼ú·üÀ» ȹ±âÀûÀ¸·Î ³·Ãâ ¼ö ÀÖ´Ù”°í ¸»Çß´Ù.
 
ÇÑÆí, À̹ø ¿¬±¸°á°ú´Â ÈäºÎ¿Ü°ú SCI ±¹Á¦ÇмúÁöÀÎ ‘The Thoracic and Cardiovascular Surgeon’¿¡ °ÔÀçµÆ´Ù.
hjhan@dailymedi.com
À̱âÀÚÀÇ ´Ù¸¥´º½ºº¸±â
¹«ÅëÀåÀÔ±Ý Á¤º¸ÀÔ·Â ÀÔ±ÝÀÚ¸í ÀԱݿ¹Á¤ÀÏÀÚ
(ÀÔ±ÝÇÏ½Ç ÀÔ±ÝÀÚ¸í + ÀԱݿ¹Á¤ÀÏÀÚ¸¦ ÀÔ·ÂÇϼ¼¿ä)
[°ü·Ã´º½º]
µ¶Àϼ­ ½ÇÆÐÇÑ È¯ÀÚ, ¼­¿ï¼º¸ðº´¿ø Àç¼ö¼ú ¼º°ø
Æ®À§ÅÍ·Î º¸³»±â ½ÎÀÌ¿ùµå °ø°¨
±â»ç±ÛÈ®´ë ±â»ç±ÛÃà¼Ò ±â»ç½ºÅ©·¦ À̸ÞÀϹ®ÀÇ ÇÁ¸°Æ®Çϱâ
¸íÁöº´¿ø, ͺ À̰ÇÈñ ȸÀå ÁÖÄ¡ÀÇ À̰­¿ì ±³¼ö(»ï¼º¼­¿ïº´¿ø ÀçȰÀÇÇаú) ¿µÀÔ
´ëÀü¼º¸ðº´¿ø ±èµ¿±â¡¤À̵¿Ã¢ ±³¼ö, ´ëÇÑÀ̺ñÀÎÈİúÇÐȸ ÃÖ¿ì¼ö ±¸¿¬»ó¡¤ÃÖ¿ì¼ö Æ÷½ºÅÍ»ó
Á¶Àç¿ì ±³¼ö(°í´ë±¸·Îº´¿ø Á¤Çü¿Ü°ú), ´ëÇѰñÀýÇÐȸ ÃÖ´Ù³í¹®»ó
´ëÇÑÀÇ»çÇùȸ ºÎȸÀå ¹éÇö¿í¡¤Àǹ«ÀÌ»ç ¿Àµ¿È£¡¤Á¤º¸Åë½ÅÀÌ»ç À¯¼Ò¿µèâ
Çѱ¹Á¦¾à¹ÙÀÌ¿ÀÇùȸ ÀǾàǰ±¤°í½ÉÀÇÀ§¿øÈ¸ À§¿øÀå ±è¼ºÁø¡¤ºÎÀ§¿øÀå ÀÌÁØÈñ¡¤ÀåÃá°ï èâ
¹è±â¼ö ±³¼ö(¾ÆÁִ뺴¿ø ¼Ò¾ÆÃ»¼Ò³â°ú), Á¦100ȸ ¾î¸°À̳¯ ¿ÁÁ¶±ÙÁ¤ÈÆÀå
À̺´ÈÆ¡¤½ÉÀç¾Ó ±³¼öÆÀ(±æº´¿ø Á¤Çü¿Ü°ú), ´ëÇѰñÀýÇÐȸ ¿ÃÇØ ¿ì¼ö ±¸¿¬»ó
³²°¡Àº ±³¼ö(°í´ë±¸·Îº´¿ø °¡Á¤ÀÇÇаú), Çѱ¹¿©ÀÚÀÇ»çȸ Á¦4ȸ ÀþÀºÀÇÇÐÀÚ Çмú»ó
±¹¸³Áß¾ÓÀÇ·á¿ø Áß¾ÓÀÀ±ÞÀÇ·á¼¾ÅÍÀå ±è¼ºÁß(Á¶¼±´ëº´¿ø ÀÀ±ÞÀÇÇаú ±³¼ö)
ÃÖÁ¤¿õ ¿µ°æÀÇ·áÀç´Ü ÀüÁÖº´¿ø ÀÌ»çÀå, ¾Æµ¿º¸È£»ç¾÷ ±â±Ý 4000¸¸¿ø
±è¿µÁÖ ±³¼ö(ÀÌ´ë¸ñµ¿º´¿ø »êºÎÀΰú), Á¦13ȸ Çѵ¶¿©ÀÇ»çÇмú´ë»ó
¹ÚÂùÈì ±³¼ö(ÇѸ²´ëÃáõ¼º½Éº´¿ø À̺ñÀÎÈİú), ´ëÇÑÀ̺ñÀÎÈİúÇÐȸ Çмú»ó
Á¶¼öÁø ±³¼ö(ÇѸ²´ëµ¿Åº¼º½Éº´¿ø ½Å°æ°ú), Á¦26ȸ JWÁß¿ÜÇмú´ë»ó
¼­Á¤°Ç ¿¬¼¼¼­³»°ú ¿øÀå ÀåÀλó