2025³â12¿ù27ÀÏsat
·Î±×ÀÎ | ȸ¿ø°¡ÀÔ
OFF
Æ®À§ÅÍ·Î º¸³»±â ½ÎÀÌ¿ùµå °ø°¨
±â»ç±ÛÈ®´ë ±â»ç±ÛÃà¼Ò ±â»ç½ºÅ©·¦ À̸ÞÀϹ®ÀÇ ÇÁ¸°Æ®Çϱâ
´ëÇѰáÇÙ¹×È£Èí±âÇÐȸ, '¿ìÇÑÆó·Å Áöħ' °øÁö
°Ë»ç¹ý ¹× WHO °¡À̵å¶óÀÎ ¾È³»¡¤¡¤¡¤"»ç½ºº¸´Ù »ç¶÷ °£ Àü¿°¼º ³·¾Æ"
[ 2020³â 01¿ù 29ÀÏ 11½Ã 56ºÐ ]

[µ¥Àϸ®¸Þµð ¹ÚÁ¤¿¬ ±âÀÚ] ´ëÇѰáÇÙ ¹× È£Èí±âÇÐȸ(ÀÌÇÏ ÇÐȸ)°¡ ‘¿ìÇÑÆó·Å’(½ÅÁ¾ Äڷγª ¹ÙÀÌ·¯½º) °ü·ÃÇØ ¼¼°èº¸°Ç±â±¸(WHO) °¡À̵å¶óÀÎ ¹× Á¤ºÎ ´ëÀÀÀ» ¼÷ÁöÇϰí ÀÓ»óÇöÀå¿¡¼­ Âü°íÇ϶ó´Â ÁöħÀ» ȸ¿øµé¿¡°Ô ¾È³»Çß´Ù.


¿ìÇÑÆó·ÅÀº Áö³­ÇØ 12¿ù 12ÀÏ Áß±¹ ¿ìÇÑ ³» ÇØ»ê¹° ½ÃÀå ¹æ¹®°´À» Áß½ÉÀ¸·Î ¹ß»ýÇß´Ù°í ¾Ë·ÁÁ³°í °°Àº ´Þ 31ÀÏ WHO¿¡ ¿øÀÎ ºÒ¸íÀÇ Æó·ÅÀ¸·Î Á¤½Ä º¸°íµÆ´Ù. WHO´Â Áö³­ 1¿ù 12ÀÏ ¿ìÇÑ Æó·ÅÀ» ‘2019 Novel Coronavirus’·Î Á¤½Ä ¸í¸íÇß´Ù.


±¹³»¿¡¼­´Â Áß±¹ ±¹ÀûÀÇ 30´ë ¿©¼ºÀÌ Áö³­ 20ÀÏ Ã¹ ¹øÂ° È®ÁøÀÚ·Î È®ÀÎµÆ°í ¿À´Ã(29ÀÏ) 11½Ã±îÁö ÃÑ 4¸íÀÇ È®ÁøÀÚ°¡ ¹ß»ýÇß´Ù.


ÇöÀç Áúº´°ü¸®º»ºÎ´Â ¸ðµç ÃÖ±Ù 2ÁÖ À̳» Áß±¹ ¹æ¹®ÀÚ¸¦ ´ë»óÀ¸·Î º´¿ø ÀÔ±¸¿¡¼­ ü¿Â°ú º´·ÂÀ» Á¶»çÅä·Ï Áö½ÃÇß´Ù.


ƯÈ÷ ÀÇ·á±â°ü ³»¿¡¼± ±âħ ¿¹ÀýÀ» ¼÷ÁöÇÏ°í ¸¶½ºÅ©¸¦ Âø¿ëÇÒ °ÍÀ» ±Ç°íÇϰí ÀÖ´Ù.


ÇÐȸ´Â "¿ìÇÑÆó·ÅÀº ½ºÆÄÀÌÅ© ´Ü¹éÁú(Spike protein)°ú ACE2ÀÇ °áÇÕÀÌ °­ÇÏÁö ¾Ê±â ¶§¹®¿¡ ÀÌ·ÐÀûÀ¸·Î »ç½ºº¸´Ù »ç¶÷ °£ °¨¿° °¡´É¼ºÀº ¶³¾îÁø´Ù"¸é¼­ "´Ù¸¸ ¹ÐÁ¢ÇÑ Á¢ÃË Á¤µµ¿¡ µû¶ó °¨¿° À§ÇèÀº ÃæºÐÇÏ´Ù"°í ¹àÇû´Ù.


¶Ç "ÀϹÝÀûÀ¸·Î »ç½º¿Í ¸Þ¸£½ºº¸´Ù´Â °¡º­¿î È£Èí±â Áõ»óÀÌ ³ªÅ¸³¯ °Í"À̶ó°í ¼³¸íÇß´Ù. ¶§¹®¿¡ ½ÇÁ¦ °¨¿° ȯÀÚ°¡ ¾ÆÁ÷ º´¿øÀ» ãÁö ¾ÊÀº °æ¿ì°¡ ¸¹À» ¼ö ÀÖ´Ù°íµµ °üÃøÇß´Ù.


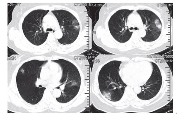
ÁÖ¿ä ÀÓ»ó ¾ç»óÀ¸·Î´Â °í¿­, ¸¶¸¥±âħ, ±ÙÀ°Åë, È£Èí°ï¶õ Áõ»óÀÌ ³ªÅ¸³ª¸ç, ÈäºÎ CT ÃÔ¿µ°á°ú Æó·Å ¼Ò°ßÀÌ ³ª¿Ô´Ù°í ¼Ò°³Çß´Ù. (Bilateral GGO, subsegmental consolidation)


Áø´Ü¹ýÀº ºñÀεο¡¼­ ¸éºÀÀ¸·Î äÃëÇÑ °Ëü ¶Ç´Â ³»¹ñÀº °¡·¡¸¦ ÀÌ¿ëÇØ ÁøÇàÇÒ ¼ö ÀÖ´Ù. µÑ Áß Çϳª¸¸ ¼±ÅÃÇÑ´Ù¸é Çϱ⵿¿¡¼­ ¾òÀº °Ëü, Áï °¡·¡ µîÀ¸·ÎºÎÅÍ ¾òÀº °Ëü°¡ º¸´Ù Áß¿äÇÏ´Ù°í ¼³¸íÇß´Ù.


ÇÐȸ´Â “Áúº´°ü¸®º»ºÎÀÇ ¼±Á¦Àû ´ëÀÀ¿¡ ÀÇÇÑ °ü¸®°¡ ÀÌ·ïÁö°í ÀÖÀ¸¹Ç·Î ȸ¿øµéÀº ºÒ¾ÈÇØ ÇÏÁö ¸»°í ±¹¹ÎµéÀÇ ºÒ¾ÈÀ» ÃÖ¼ÒÈ­Çϱâ À§ÇØ ³ë·ÂÇØ¾ß ÇÑ´Ù”¸ç ½ÇÁ¦ ÀÓ»ó Áø·á¸¦ À§ÇÑ Á¤ºÎ ´ëÀÀ ÁöħÀ» ¼÷ÁöÇÒ °ÍÀ» °­Á¶Çß´Ù.

Áúº´°ü¸®º»ºÎ ´ë»óÀÚ È®´ë ÇöȲ

mut@dailymedi.com
À̱âÀÚÀÇ ´Ù¸¥´º½ºº¸±â
¹«ÅëÀåÀÔ±Ý Á¤º¸ÀÔ·Â ÀÔ±ÝÀÚ¸í ÀԱݿ¹Á¤ÀÏÀÚ
(ÀÔ±ÝÇÏ½Ç ÀÔ±ÝÀÚ¸í + ÀԱݿ¹Á¤ÀÏÀÚ¸¦ ÀÔ·ÂÇϼ¼¿ä)
[°ü·Ã´º½º]
WHO "½ÅÁ¾Äڷγª, ¹«Áõ»ó °¨¿°ÀÚµµ ÀüÆÄ °¡´É¼º"
Æ®À§ÅÍ·Î º¸³»±â ½ÎÀÌ¿ùµå °ø°¨
±â»ç±ÛÈ®´ë ±â»ç±ÛÃà¼Ò ±â»ç½ºÅ©·¦ À̸ÞÀϹ®ÀÇ ÇÁ¸°Æ®Çϱâ
¸íÁöº´¿ø, ͺ À̰ÇÈñ ȸÀå ÁÖÄ¡ÀÇ À̰­¿ì ±³¼ö(»ï¼º¼­¿ïº´¿ø ÀçȰÀÇÇаú) ¿µÀÔ
´ëÀü¼º¸ðº´¿ø ±èµ¿±â¡¤À̵¿Ã¢ ±³¼ö, ´ëÇÑÀ̺ñÀÎÈİúÇÐȸ ÃÖ¿ì¼ö ±¸¿¬»ó¡¤ÃÖ¿ì¼ö Æ÷½ºÅÍ»ó
Á¶Àç¿ì ±³¼ö(°í´ë±¸·Îº´¿ø Á¤Çü¿Ü°ú), ´ëÇѰñÀýÇÐȸ ÃÖ´Ù³í¹®»ó
´ëÇÑÀÇ»çÇùȸ ºÎȸÀå ¹éÇö¿í¡¤Àǹ«ÀÌ»ç ¿Àµ¿È£¡¤Á¤º¸Åë½ÅÀÌ»ç À¯¼Ò¿µèâ
Çѱ¹Á¦¾à¹ÙÀÌ¿ÀÇùȸ ÀǾàǰ±¤°í½ÉÀÇÀ§¿øÈ¸ À§¿øÀå ±è¼ºÁø¡¤ºÎÀ§¿øÀå ÀÌÁØÈñ¡¤ÀåÃá°ï èâ
¹è±â¼ö ±³¼ö(¾ÆÁִ뺴¿ø ¼Ò¾ÆÃ»¼Ò³â°ú), Á¦100ȸ ¾î¸°À̳¯ ¿ÁÁ¶±ÙÁ¤ÈÆÀå
À̺´ÈÆ¡¤½ÉÀç¾Ó ±³¼öÆÀ(±æº´¿ø Á¤Çü¿Ü°ú), ´ëÇѰñÀýÇÐȸ ¿ÃÇØ ¿ì¼ö ±¸¿¬»ó
³²°¡Àº ±³¼ö(°í´ë±¸·Îº´¿ø °¡Á¤ÀÇÇаú), Çѱ¹¿©ÀÚÀÇ»çȸ Á¦4ȸ ÀþÀºÀÇÇÐÀÚ Çмú»ó
±¹¸³Áß¾ÓÀÇ·á¿ø Áß¾ÓÀÀ±ÞÀÇ·á¼¾ÅÍÀå ±è¼ºÁß(Á¶¼±´ëº´¿ø ÀÀ±ÞÀÇÇаú ±³¼ö)
ÃÖÁ¤¿õ ¿µ°æÀÇ·áÀç´Ü ÀüÁÖº´¿ø ÀÌ»çÀå, ¾Æµ¿º¸È£»ç¾÷ ±â±Ý 4000¸¸¿ø
±è¿µÁÖ ±³¼ö(ÀÌ´ë¸ñµ¿º´¿ø »êºÎÀΰú), Á¦13ȸ Çѵ¶¿©ÀÇ»çÇмú´ë»ó
¹ÚÂùÈì ±³¼ö(ÇѸ²´ëÃáõ¼º½Éº´¿ø À̺ñÀÎÈİú), ´ëÇÑÀ̺ñÀÎÈİúÇÐȸ Çмú»ó
Á¶¼öÁø ±³¼ö(ÇѸ²´ëµ¿Åº¼º½Éº´¿ø ½Å°æ°ú), Á¦26ȸ JWÁß¿ÜÇмú´ë»ó
¼­Á¤°Ç ¿¬¼¼¼­³»°ú ¿øÀå ÀåÀλó