2025³â12¿ù27ÀÏsat
·Î±×ÀÎ | ȸ¿ø°¡ÀÔ
OFF
Æ®À§ÅÍ·Î º¸³»±â ½ÎÀÌ¿ùµå °ø°¨
±â»ç±ÛÈ®´ë ±â»ç±ÛÃà¼Ò ±â»ç½ºÅ©·¦ À̸ÞÀϹ®ÀÇ ÇÁ¸°Æ®Çϱâ
°Ç±¹´ëº´¿ø, ½É¹æ¼¼µ¿ ³Ã°¢ µµÀÚ ÀýÁ¦¼ú µµÀÔ
"±âÁ¸ °íÁÖÆÄ µµÀÚ ÀýÁ¦¼ú ´ëºñ ¼ö¼ú½Ã°£ Àý¹Ý ¼öÁØ"
[ 2020³â 02¿ù 06ÀÏ 16½Ã 18ºÐ ]

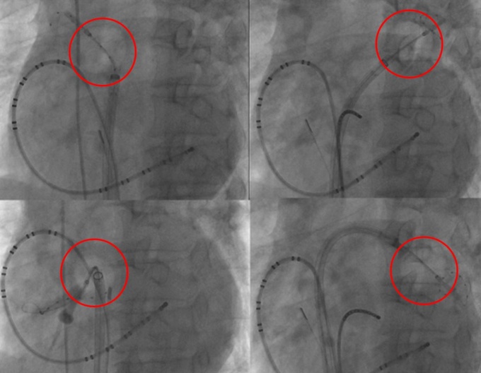
[µ¥Àϸ®¸Þµð ¹ÚÁ¤¿¬ ±âÀÚ] °Ç±¹´ëº´¿øÀº ½É¹æ¼¼µ¿ Ä¡·á¹ýÀÎ ³Ã°¢ µµÀÚ ÀýÁ¦¼úÀ» ½ÃÀÛÇß´Ù°í 6ÀÏ ¹àÇû´Ù.

 
½É¹æ¼¼µ¿Àº Á½ɽǰú ¿¬°áµÇ´Â ÆóÁ¤¸Æ ¾ÈÂÊ¿¡¼­ ºü¸£°í ºÒ±ÔÄ¢ÇÑ Àü±â¿¡ ÀÇÇØ ¹ß»ýÇÑ´Ù. ½É¹æ¼¼µ¿ Ä¡·á´Â ÀÌ ºÎÀ§ÀÇ Á¶Á÷À» ±«»ç½ÃÄÑ Á½ɹæÀÌ Àü±â½ÅÈ£¿¡ ¿µÇâÀ» ¹ÞÁö ¾Ê°Ô ÇÏ´Â ¿ø¸®·Î ÀÌ·ïÁø´Ù.
 

³Ã°¢ µµÀÚ ÀýÁ¦¼úÀº ÆóÁ¤¸Æ ÀÔ±¸¸¦ dz¼±À¸·Î ¸·Àº ÈÄ ÆóÁ¤¸Æ ÀÔ±¸Àüü¸¦ ¿µÇÏ 6~60µµ·Î ¾ó·Á ÀÌ ºÎÀ§ Á¶Á÷À» ±«»ç½ÃŰ´Â ¹æ½ÄÀÌ´Ù.

±âÁ¸ Ä¡·á¹ýÀÎ °íÁÖÆÄ µµÀÚ ÀýÁ¦¼ú°ú È¿°ú´Â ºñ½ÁÇϸ鼭µµ ½Ã¼ú ½Ã°£Àº 2½Ã°£ À̳»·Î, Àý¹Ý ÀÌ»óÀÇ ½Ã°£À» ´ÜÃà½ÃŲ °ÍÀÌ ÀåÁ¡ÀÌ´Ù.
 
°Ç±¹´ëº´¿ø ºÎÁ¤¸Æ Ŭ¸®´Ð ±ÇâÈñ ±³¼ö´Â “°íÁÖÆÄ µµÀÚ ÀýÁ¦¼úÀº ÆóÁ¤¸Æ ÀÔ±¸ Á¶Á÷À» ÇÑ Á¡, ÇÑ Á¡ ±«»ç½ÃÄѳª°¡´Â ¹æ½ÄÀ¸·Î ½Ã°£ÀÌ ¿À·¡ °É¸®´Â ¹Ý¸é, ³Ã°¢ µµÀÚ ÀýÁ¦¼úÀº ³Ã°¢ dz¼±À» ÆóÁ¤¸Æ ÀÔ±¸ Àüü¿¡ ¹ÐÂø½ÃÄÑ ÇÑ ¹ø¿¡ ³Ã°¢Ç졒ʱ«»ç½Ã۱⠶§¹®¿¡ ½Ã¼ú½Ã°£À» ´ÜÃàÇÒ ¼ö ÀÖ´Ù”°í ¼³¸íÇß´Ù.


ÇÑÆí, °Ç±¹´ëº´¿øÀº ºÎÁ¤¸Æ Ŭ¸®´ÐÀº ³Ã°¢ µµÀÚ ÀýÁ¦¼ú½ÃÇà¿¡ À̾î ÃֽŠ3Â÷¿ø½ÉÀ念»óÀåºñ¸¦ ÃÖ±Ù µµÀÔÇϴ µî °í³­µµ ºÎÁ¤¸Æ Ä¡·á È¿°ú¸¦ ³ôÀ̰í ÀÖ´Ù.

mut@dailymedi.com
À̱âÀÚÀÇ ´Ù¸¥´º½ºº¸±â
¹«ÅëÀåÀÔ±Ý Á¤º¸ÀÔ·Â ÀÔ±ÝÀÚ¸í ÀԱݿ¹Á¤ÀÏÀÚ
(ÀÔ±ÝÇÏ½Ç ÀÔ±ÝÀÚ¸í + ÀԱݿ¹Á¤ÀÏÀÚ¸¦ ÀÔ·ÂÇϼ¼¿ä)
[°ü·Ã´º½º]
- °ü·Ã´º½º°¡ ¾ø½À´Ï´Ù.
Æ®À§ÅÍ·Î º¸³»±â ½ÎÀÌ¿ùµå °ø°¨
±â»ç±ÛÈ®´ë ±â»ç±ÛÃà¼Ò ±â»ç½ºÅ©·¦ À̸ÞÀϹ®ÀÇ ÇÁ¸°Æ®Çϱâ
¸íÁöº´¿ø, ͺ À̰ÇÈñ ȸÀå ÁÖÄ¡ÀÇ À̰­¿ì ±³¼ö(»ï¼º¼­¿ïº´¿ø ÀçȰÀÇÇаú) ¿µÀÔ
´ëÀü¼º¸ðº´¿ø ±èµ¿±â¡¤À̵¿Ã¢ ±³¼ö, ´ëÇÑÀ̺ñÀÎÈİúÇÐȸ ÃÖ¿ì¼ö ±¸¿¬»ó¡¤ÃÖ¿ì¼ö Æ÷½ºÅÍ»ó
Á¶Àç¿ì ±³¼ö(°í´ë±¸·Îº´¿ø Á¤Çü¿Ü°ú), ´ëÇѰñÀýÇÐȸ ÃÖ´Ù³í¹®»ó
´ëÇÑÀÇ»çÇùȸ ºÎȸÀå ¹éÇö¿í¡¤Àǹ«ÀÌ»ç ¿Àµ¿È£¡¤Á¤º¸Åë½ÅÀÌ»ç À¯¼Ò¿µèâ
Çѱ¹Á¦¾à¹ÙÀÌ¿ÀÇùȸ ÀǾàǰ±¤°í½ÉÀÇÀ§¿øÈ¸ À§¿øÀå ±è¼ºÁø¡¤ºÎÀ§¿øÀå ÀÌÁØÈñ¡¤ÀåÃá°ï èâ
¹è±â¼ö ±³¼ö(¾ÆÁִ뺴¿ø ¼Ò¾ÆÃ»¼Ò³â°ú), Á¦100ȸ ¾î¸°À̳¯ ¿ÁÁ¶±ÙÁ¤ÈÆÀå
À̺´ÈÆ¡¤½ÉÀç¾Ó ±³¼öÆÀ(±æº´¿ø Á¤Çü¿Ü°ú), ´ëÇѰñÀýÇÐȸ ¿ÃÇØ ¿ì¼ö ±¸¿¬»ó
³²°¡Àº ±³¼ö(°í´ë±¸·Îº´¿ø °¡Á¤ÀÇÇаú), Çѱ¹¿©ÀÚÀÇ»çȸ Á¦4ȸ ÀþÀºÀÇÇÐÀÚ Çмú»ó
±¹¸³Áß¾ÓÀÇ·á¿ø Áß¾ÓÀÀ±ÞÀÇ·á¼¾ÅÍÀå ±è¼ºÁß(Á¶¼±´ëº´¿ø ÀÀ±ÞÀÇÇаú ±³¼ö)
ÃÖÁ¤¿õ ¿µ°æÀÇ·áÀç´Ü ÀüÁÖº´¿ø ÀÌ»çÀå, ¾Æµ¿º¸È£»ç¾÷ ±â±Ý 4000¸¸¿ø
±è¿µÁÖ ±³¼ö(ÀÌ´ë¸ñµ¿º´¿ø »êºÎÀΰú), Á¦13ȸ Çѵ¶¿©ÀÇ»çÇмú´ë»ó
¹ÚÂùÈì ±³¼ö(ÇѸ²´ëÃáõ¼º½Éº´¿ø À̺ñÀÎÈİú), ´ëÇÑÀ̺ñÀÎÈİúÇÐȸ Çмú»ó
Á¶¼öÁø ±³¼ö(ÇѸ²´ëµ¿Åº¼º½Éº´¿ø ½Å°æ°ú), Á¦26ȸ JWÁß¿ÜÇмú´ë»ó
¼­Á¤°Ç ¿¬¼¼¼­³»°ú ¿øÀå ÀåÀλó