2025³â12¿ù27ÀÏsat
·Î±×ÀÎ | ȸ¿ø°¡ÀÔ
OFF
Æ®À§ÅÍ·Î º¸³»±â ½ÎÀÌ¿ùµå °ø°¨
±â»ç±ÛÈ®´ë ±â»ç±ÛÃà¼Ò ±â»ç½ºÅ©·¦ À̸ÞÀϹ®ÀÇ ÇÁ¸°Æ®Çϱâ
ºä³ë "ü½ºÆ® ¿¢½º·¹ÀÌ, Äڷγª19 ¼±º° µµ¿ò ±â´ë"
[ 2020³â 03¿ù 06ÀÏ 11½Ã 53ºÐ ]

[µ¥Àϸ®¸Þµð ÇÑÇØÁø ±âÀÚ] ÀÇ·áAI Àü¹®±â¾÷ ºä³ë´Â ÃÖ±Ù Áö¿ª ÀÇ·á±â°ü¿¡¼­ Äڷγª19 Áø´ÜÀ» À§ÇÑ Æó·Å °Ë»ç¿¡ ‘ºä³ë¸Þµå ü½ºÆ® ¿¢½º·¹ÀÌ™(VUNO Med®-Chest X-ray™)’ Ȱ¿ëµµ°¡ ³ô¾ÆÁö°í ÀÖ´Ù°í ¹àÇû´Ù.

ºä³ë¿¡ µû¸£¸é ÃÖ±Ù ´ë±¸ÆÄƼ¸¶º´¿øÀ» ºñ·ÔÇØ °­¿øµµ Áö¿ª º¸°Ç¼Ò¿¡¼­´Â Äڷγª19 ½Å°í ´ë»óÀÚ¸¦ È¿À²ÀûÀ¸·Î ¼±º°ÇÒ ¼ö ÀÖµµ·Ï ºä³ë¸Þµå ü½ºÆ® ¿¢½º·¹ÀÌ™¸¦ µµÀÔÇØ Ȱ¿ëÇϰí ÀÖ´Ù.
 
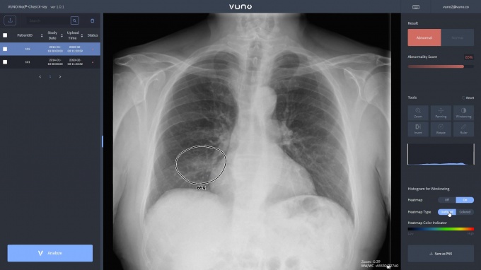
ºä³ë¸Þµå ü½ºÆ® ¿¢½º·¹ÀÌ™´Â Æó·Å Áø´Ü¿¡ µµ¿òÀ» ÁÖ´Â ÁÖ¿ä ÈäºÎ ¿¢½º·¹ÀÌ ¼Ò°ß 3°¡Áö ¡ã°æÈ­(consolidation) ¡ã°£Áú¼ºÀ½¿µ(interstitia lopacity) ¡ãÈ丷»ïÃâ(pleural effusion)À» ºñ·ÔÇÑ ¡ã°áÀý(nodule) ¡ã±âÈä(pneumothorax) µî ÃÑ 5°¡Áö ¼Ò°ßÀ» °ËÃâÇÏ´Â ±â´ÉÀ¸·Î ÀÓ»ó½ÃÇèÀ» ÅëÇØ ½ÄǰÀǾàǰ¾ÈÀüó Çã°¡¸¦ ¹ÞÀº ÈäºÎ ¿¢½º·¹ÀÌ ÀΰøÁö´É ¼Ö·ç¼ÇÀÌ´Ù.

Çã°¡¹ÞÀº 5°¡Áö ¼Ò°ß ¹× Áúº´¿¡ ´ëÇÑ Á¤»ó/ºñÁ¤»ó ºÐ·ù ¼º´É(AUROC)Àº 99%¿¡ ´ÞÇÑ´Ù.
 
ÃÖ±Ù Äڷγª19 Áß¾Ó»ç°í¼ö½Àº»ºÎ°¡ ÀÇ·á±â°ü ³» ¼±º°Áø·á¼Ò¿¡ À̵¿½Ä ¿¢½º·¹ÀÌ Àåºñ È®Ãæ ¿¹»êÀ» ÁöÀÚü¿¡ ÁýÇàÇϱâ·Î ÇÔ¿¡ µû¶ó ÀǽÉȯÀÚ ¼±º°À» À§ÇÑ ÈäºÎ ¿¢½º·¹ÀÌ ÃÔ¿µÀÌ Áõ°¡ÇÒ °ÍÀ¸·Î ¿¹»óµÈ´Ù.
 
ÀÌ¿¡ µû¶ó ÀÇ·áÁø ¾÷¹« °úÁß°ú ÇǷεµ ´©ÀûÀ¸·Î ÀÎÇÑ ¿ÀÁø ¹× 2Â÷ °¨¿° À§Ç輺ÀÌ ±¹³»¼­µµ Á¦±âµÇ´Â Çö »óȲ¿¡¼­, ÀÇ·áÁø ¾÷¹« ºÎ´ãÀ» °æ°¨ÇÏ´Â µ¥ µµ¿òÀÌ µÉ °ÍÀ¸·Î º¸ÀδÙ.
 
ºä³ë ÀÌ¿¹ÇÏ ´ëÇ¥ÀÌ»ç´Â “ºä³ë¸Þµå ü½ºÆ® ¿¢½º·¹ÀÌ™´Â ½Ä¾àó Çã°¡¸¦ ¹ÞÀº Á¦Ç° Áß °¡Àå ¸¹Àº ÈäºÎ ¼Ò°ßÀ» 3ÃÊ À̳» ÀÇ½É º´º¯°ú ÇÔ²² Á¤È®ÇÏ°Ô °ËÃâÇÑ´Ù”¸ç “À̹ø Äڷγª19 ´ëÀÀ ½Ã ÀÇ·áÁø ¾÷¹« °æ°¨ ¹× Á¤È®ÇÑ È¯ÀÚ ºÐ·ù µî¿¡ µµ¿òÀ» ÁÙ ¼ö ÀÖÀ» °ÍÀ¸·Î ±â´ëµÈ´Ù”°í ¸»Çß´Ù.
hjhan@dailymedi.com
À̱âÀÚÀÇ ´Ù¸¥´º½ºº¸±â
¹«ÅëÀåÀÔ±Ý Á¤º¸ÀÔ·Â ÀÔ±ÝÀÚ¸í ÀԱݿ¹Á¤ÀÏÀÚ
(ÀÔ±ÝÇÏ½Ç ÀÔ±ÝÀÚ¸í + ÀԱݿ¹Á¤ÀÏÀÚ¸¦ ÀÔ·ÂÇϼ¼¿ä)
[°ü·Ã´º½º]
- °ü·Ã´º½º°¡ ¾ø½À´Ï´Ù.
Æ®À§ÅÍ·Î º¸³»±â ½ÎÀÌ¿ùµå °ø°¨
±â»ç±ÛÈ®´ë ±â»ç±ÛÃà¼Ò ±â»ç½ºÅ©·¦ À̸ÞÀϹ®ÀÇ ÇÁ¸°Æ®Çϱâ
¸íÁöº´¿ø, ͺ À̰ÇÈñ ȸÀå ÁÖÄ¡ÀÇ À̰­¿ì ±³¼ö(»ï¼º¼­¿ïº´¿ø ÀçȰÀÇÇаú) ¿µÀÔ
´ëÀü¼º¸ðº´¿ø ±èµ¿±â¡¤À̵¿Ã¢ ±³¼ö, ´ëÇÑÀ̺ñÀÎÈİúÇÐȸ ÃÖ¿ì¼ö ±¸¿¬»ó¡¤ÃÖ¿ì¼ö Æ÷½ºÅÍ»ó
Á¶Àç¿ì ±³¼ö(°í´ë±¸·Îº´¿ø Á¤Çü¿Ü°ú), ´ëÇѰñÀýÇÐȸ ÃÖ´Ù³í¹®»ó
´ëÇÑÀÇ»çÇùȸ ºÎȸÀå ¹éÇö¿í¡¤Àǹ«ÀÌ»ç ¿Àµ¿È£¡¤Á¤º¸Åë½ÅÀÌ»ç À¯¼Ò¿µèâ
Çѱ¹Á¦¾à¹ÙÀÌ¿ÀÇùȸ ÀǾàǰ±¤°í½ÉÀÇÀ§¿øÈ¸ À§¿øÀå ±è¼ºÁø¡¤ºÎÀ§¿øÀå ÀÌÁØÈñ¡¤ÀåÃá°ï èâ
¹è±â¼ö ±³¼ö(¾ÆÁִ뺴¿ø ¼Ò¾ÆÃ»¼Ò³â°ú), Á¦100ȸ ¾î¸°À̳¯ ¿ÁÁ¶±ÙÁ¤ÈÆÀå
À̺´ÈÆ¡¤½ÉÀç¾Ó ±³¼öÆÀ(±æº´¿ø Á¤Çü¿Ü°ú), ´ëÇѰñÀýÇÐȸ ¿ÃÇØ ¿ì¼ö ±¸¿¬»ó
³²°¡Àº ±³¼ö(°í´ë±¸·Îº´¿ø °¡Á¤ÀÇÇаú), Çѱ¹¿©ÀÚÀÇ»çȸ Á¦4ȸ ÀþÀºÀÇÇÐÀÚ Çмú»ó
±¹¸³Áß¾ÓÀÇ·á¿ø Áß¾ÓÀÀ±ÞÀÇ·á¼¾ÅÍÀå ±è¼ºÁß(Á¶¼±´ëº´¿ø ÀÀ±ÞÀÇÇаú ±³¼ö)
ÃÖÁ¤¿õ ¿µ°æÀÇ·áÀç´Ü ÀüÁÖº´¿ø ÀÌ»çÀå, ¾Æµ¿º¸È£»ç¾÷ ±â±Ý 4000¸¸¿ø
±è¿µÁÖ ±³¼ö(ÀÌ´ë¸ñµ¿º´¿ø »êºÎÀΰú), Á¦13ȸ Çѵ¶¿©ÀÇ»çÇмú´ë»ó
¹ÚÂùÈì ±³¼ö(ÇѸ²´ëÃáõ¼º½Éº´¿ø À̺ñÀÎÈİú), ´ëÇÑÀ̺ñÀÎÈİúÇÐȸ Çмú»ó
Á¶¼öÁø ±³¼ö(ÇѸ²´ëµ¿Åº¼º½Éº´¿ø ½Å°æ°ú), Á¦26ȸ JWÁß¿ÜÇмú´ë»ó
¼­Á¤°Ç ¿¬¼¼¼­³»°ú ¿øÀå ÀåÀλó