2025³â12¿ù26ÀÏfri
·Î±×ÀÎ | ȸ¿ø°¡ÀÔ
OFF
Æ®À§ÅÍ·Î º¸³»±â ½ÎÀÌ¿ùµå °ø°¨
±â»ç±ÛÈ®´ë ±â»ç±ÛÃà¼Ò ±â»ç½ºÅ©·¦ À̸ÞÀϹ®ÀÇ ÇÁ¸°Æ®Çϱâ
ÇѸ²´ë¼º½É, ±¹³» ÃÖÃÊ Äڷγª19 ȯÀÚ 'ÆóÀ̽Ä' ¼º°ø
Áß±¹¡¤¹Ì±¹ µî ÀÌ¾î ¼¼°è 9¹øÂ°¡¤¡¤¡¤ÃÖÀå±â°£ 112ÀÏ ECMO ÀåÂø
[ 2020³â 07¿ù 02ÀÏ 09½Ã 49ºÐ ]

[µ¥Àϸ®¸Þµð ¹ÚÁ¤¿¬ ±âÀÚ] ÇѸ²´ëÇб³¼º½Éº´¿ø(º´¿øÀå À¯°æÈ£)Àº Áö³­ 6¿ù 21ÀÏ Äڷγª19 ÁßÁõȯÀÚÀÇ ÆóÀ̽ÄÀ» ±¹³» ÃÖÃÊ·Î ¼º°ø½ÃÄ×´Ù°í 2ÀÏ ¹àÇû´Ù. ¼¼°è¿¡¼± 9¹øÂ° ¼º°ø»ç·Ê´Ù.

 

50´ë ¿©¼ºÀΠȯÀÚ´Â Áö³­ 2¿ù 29ÀÏ ÇѸ²´ëÇб³¼º½Éº´¿øÀ¸·Î Äڷγª19 ÁßÁõȯÀÚ·Î ±ä±Þ Èļ۵ŠÀÀ±ÞÁßȯÀÚ½Ç À½¾Ð°Ý¸®½Ç·Î ÀÔ¿øÇß´Ù.

Àü¿ø ´ç½Ã ÀǽÄÀº ÀÖ¾úÀ¸³ª »ê¼Ò¸¶½ºÅ©¸¦ Âø¿ëÇßÀ½¿¡µµ »ê¼Ò³óµµ°¡ 88% ÀÌÇÏ·Î ¶³¾îÁö´Â ºÒ¾ÈÁ¤ÇÑ »óÅ¿´´Ù.

ÀÔ¿ø 3½Ã°£ ¸¸¿¡ ±âµµ»ð°ü ÈÄ ÀΰøÈ£Èí±â¸¦ ´Þ¾ÒÁö¸¸ ÀΰøÈ£Èí±â Âø¿ë ÈÄ¿¡µµ Ç÷¾Ð°ú »ê¼Ò³óµµ°¡ È£ÀüµÇÁö ¾Ê°í ¼ûÀ» ½¬±â ¾î·Á¿öÇß´Ù.

 

Ãʱâ Ä¡·á·Î Ç׸»¶ó¸®¾Æ¾àÀΠŬ·Î·ÎÄý(chloroquine)°ú ¿¡ÀÌÁî ȯÀÚ¿¡¼­ »ç¿ëÇÏ´Â Ä®·¹Æ®¶ó(Kaletra)¸¦ »ç¿ëÇß°í, Ç׿°ÁõÀÛ¿ëÀ» À§ÇØ ½ºÅ×·ÎÀ̵嵵 »ç¿ëÇßÁö¸¸ È¿°ú¸¦ º¸Áö ¸øÇß´Ù.


ºñ±³Àû Àþ°í °Ç°­ÇÑ È¯ÀÚ¿´Áö¸¸ ¿¡Å©¸ð¸¦ ½ÃÇàÇØ ȯÀÚÀÇ Æó ±â´ÉÀ» ´ë½ÅÇØ¾ß Çß´Ù.

 

ÇѸ²´ëÇб³¼º½Éº´¿ø ¿¡Å©¸ðÆÀÀº ´ÙÀ½ ³¯ÀÎ 3¿ù 1ÀÏ È¯ÀÚ¿¡°Ô ¿¡Å©¸ð¸¦ ÀåÂøÇÏ°í ¼±Á¦Àû Ä¡·á¸¦ ½ÃÀÛÇß´Ù. ¿¡Å©¸ð(ü¿Ü¸·»ê¼ÒÈ­ÀåÄ¡·ECMO:Extra-Corporeal Membrane Oxygenation)´Â ȯÀÚÀÇ Ç÷¾×À» ü¿Ü·Î »©³» »ê¼Ò¸¦ °ø±ÞÇÑ µÚ ´Ù½Ã ü³»·Î Èê·Áº¸³»´Â ÀåÄ¡·Î, ½ÉÀåÀ̳ª Æó ±â´ÉÀÌ Á¤»óÀÌ ¾Æ´Ò ¶§ ÁßȯÀÚÀÇ ½ÉÆó ±â´ÉÀ» º¸Á¶ÇØ »ý¸íÀ» À¯ÁöÇØÁÖ´Â ÀåÄ¡´Ù.

 

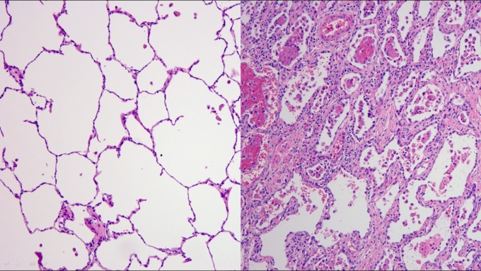
¹ÙÀÌ·¯½º´Â »ç¶óÁ³Áö¸¸ Æó´Â ‘µüµüÇϰԒ ±»¾î

ȯÀÚ´Â À½¾Ð°Ý¸®½Ç¿¡¼­ ¿¡Å©¸ð¸¦ ´Þ°í ·¹º§D ¹æÈ£º¹À» ÀÔÀº ÀÇ·áÁø¿¡°Ô Ä¡·á¸¦ ¹Þ¾Ò´Ù. ȯÀÚ´Â 3¿ù ÃÊ ÇÑ ¹øÀÇ Äڷγª19 ¾ç¼º¹ÝÀÀ ÀÌÈÄ ÁÙ°ð À½¼ºÀÌ ³ª¿Ô´Ù. °Ý¸® 2°³¿ù ¸¸¿¡ ±â°üÁö³»½Ã°æÀ¸·Î äÃëÇÑ °Ëü·Î Äڷγª19 ÃÖÁ¾ À½¼ºÀ» È®ÀÎÇß´Ù.

 

ÇÏÁö¸¸ ȯÀÚ´Â ¹ÙÀÌ·¯½º¸¸ »ç¶óÁ³À» »Ó Æó »óÅ´ ³ªºüÁ³´Ù. ÈäºÎX-ray °Ë»ç °á°ú¿¡¼­´Â ½ÉÇÑ Æ¯ÀÌ»çÇ×ÀÌ ¹ß°ßµÇÁö ¾Ê¾ÒÁö¸¸, ÈäºÎCT °Ë»ç °á°ú ¾çÃø Æó¿¡ ±¤¹üÀ§ÇÑ Ä§À±¼Ò°ß°ú Æó¼¶À¯È­ ¼Óµµ°¡ »ó´çÈ÷ »¡¶ú´Ù. Æó ±â´ÉÀÌ ³Ê¹« ½ÉÇÏ°Ô ¼Õ»óµÅ ¿¡Å©¸ð¸¦ ¶¼´Â ¼ø°£ ȯÀÚ´Â »ç¸Á À§ÇèÀÌ ³ô¾Ò´Ù. ¼±ÅÃÀº ÆóÀÌ½Ä ¹Û¿¡ ¾ø¾ú°í ÀÇ·áÁøÀº ÆóÀ̽ÄÀ» °áÁ¤Çß´Ù.

 

Äڷγª19·Î °Ç°­Çß´ø ȯÀÚ´Â ¼ø½Ä°£¿¡ »ý»ç¸¦ ¿À°¡´Â »óŰ¡ µÆ´Ù. ȯÀÚ´Â °¡Á·°ú ¶³¾îÁ® À¾¾Ð°Ý¸®½Ç¿¡¼­ ÀÚ½ÅÀÇ ¼Õ¹ßÀÌ µÈ ¿¡Å©¸ð¼¾ÅÍ ÀÇ·áÁøÀÇ ¼ÕÀ» Àâ°í ´«¹°À» ÇÑÂü µ¿¾È Èê·È´Ù. ¿¡Å©¸ð¼¾ÅÍ ÀÇ·áÁøÀº 5¿ù 4ÀÏ ¼ö¼úÀ» °áÁ¤ÇÏ°í ¿¡Å©¸ð Ä¡·á¸¦ À¯ÁöÇÑ Ã¤ ¿Ü°úÁßȯÀÚ½Ç ¾ç¾ÐÀ̽ĹæÀ¸·Î ȯÀÚ¸¦ ¿Å°Ü Æó °ø¿©ÀÚ¸¦ ±â´Ù·È´Ù.

 


ȯÀÚ´Â ÀÔ¿ø ´ÙÀ½ ³¯ÀÎ 3¿ù 1ÀϺÎÅÍ À̽ÄÇϱâ Àü³¯ÀÎ 6¿ù 20ÀϱîÁö ¹«·Á 112ÀÏ µ¿¾È ¿¡Å©¸ð Ä¡·á¸¦ ½ÃÇàÇß´Ù. 112ÀÏ Äڷγª19ȯÀÚ Áß ¿¡Å©¸ð ÀåÂøÀº ¼¼°è ÃÖÀå±â°£ ±â·ÏÀÌ´Ù.

 

±¹³» ÃÖÃÊ Äڷγª19 ȯÀÚ ÆóÀ̽ÄÀº 6¿ù 20ÀÏ ¿ÀÈÄ 3½ÃºÎÅÍ 21ÀÏ »õº® 2½Ã±îÁö ÇßÀ¸¸ç, ½ÇÁ¦ ¼ö¼ú½Ã°£Àº 8½Ã°£ µ¿¾È ÀÌ·ïÁ³´Ù.
 

±èÇü¼ö ¿¡Å©¸ð¼¾ÅÍÀå ÈäºÎ¿Ü°ú ±³¼ö´Â “Äڷγª19 ȯÀÚ Áß ±¹³»¿¡¼­ ÃÖ°íÀÇ ÁßÁõÄ¡·á »ç·Ê¿´À¸¸ç Äڷγª¹ÙÀÌ·¯½º¿¡ °¨¿°µÈ Æó¸¦ ¶¼¾î³¾ ¶§ °Ç°­ÇÑ Æó¿Í ´Ù¸£°Ô Å©±âµµ ÀÛ°Ô ¼öÃà µÇ¾ú°í ¸¶Ä¡ µ¹µ¢ÀÌó·³ Æó°¡ µüµüÇÑ ´À³¦À̾ú´Ù”°í ¸»Çß´Ù.

¹Ú¼ºÈÆ ¿¡Å©¸ð¼¾ÅÍ È£Èí±â³»°ú(ÁßȯÀÚÀÇÇÐ) ±³¼ö´Â “ÇöÀç±îÁö ȯÀÚ°¡ ±Þ¼º°ÅºÎ¹ÝÀÀÀ» ³ªÅ¸³ªÁö´Â ¾Ê¾Ò´Ù. ÇöÀç ȯÀÚÀÇ °Ç°­»óŸ¦ ¸é¹ÐÇÏ°Ô °üÂûÇÏ°í ±Þ¼º°ÅºÎ¹ÝÀÀÀÇ À§Ç輺À» ³·Ãß±â À§ÇØ ¸é¿ª¾ïÁ¦Á¦ ³óµµ¸¦ Á¶ÀýÇϰí ÀçȰ¿îµ¿¿¡ ÁýÁßÇϰí ÀÖ´Ù”°í ¼³¸íÇß´Ù.

 

ȯÀÚ “¼û½¬´Â °ÍÀÌ ¾ó¸¶³ª °¨»çÇÑ ÀÏÀÎÁö °Ç°­ÇÒ ¶§´Â ¸ô¶ú´Ù”

ȸº¹ ÁßÀΠȯÀÚ´Â "¿¡Å©¸ð Ä¡·á¸¦ ¹ÞÁö ¾Ê¾ÒÀ¸¸é ¼û½¬±â°¡ ¸Å¿ì Èûµé¾î ÀÌ¹Ì ÀÌ ¼¼»ó¿¡ ¾ø¾úÀ» °Å´Ù. ¼û ½¬´Â °ÍÀÌ ¾ó¸¶³ª °¨»çÇÑÁö °Ç°­ÇÒ ¶§´Â ¸ô¶ú´Ù”¸ç “°¡Á·°ú ¶³¾îÁ® º´»ó¿¡ ´©¿ö Á×°í ½ÍÀ» ¸¸Å­ °íÅ뽺·¯¿ï ¶§ ¸ÅÀÏ ½Ä»çµµ ì°ÜÁÖ°í ¿îµ¿µµ ½ÃÄÑÁÖ°í ³ª¸¦ ´ë½ÅÇØ ¼Õ¹ßÀÌ µÇ¾îÁØ ÀÇ·áÁøÀÇ Çå½Å¿¡ º´À» À̰ܳ»ÀÚ´Â ÀÇÁö°¡ ´õ¿í °­ÇØÁ³´Ù”°í ¸»Çß´Ù.

 

À̾î ȯÀÚ´Â “ÆóÀÌ½Ä ÀÌÈÄ ¼ûÀÌ Àß ½¬¾îÁö´Ï±î ¼ö¼úÀÌ Àß µÆ´Ù°í ´À²¼´Ù”¸ç “³»°Ô Æó¸¦ °ø¿©ÇØ ÁֽŠºÐ²² °¨»çÇÏ´Â ¸¶À½À¸·Î »ì°Ú´Ù. Ç㸮¿¡ ÆÄ½º ºÙÀ̰í Áö¼ÓÀûÀ¸·Î µ¹ºÁÁÖ´ø °£È£»ç´Ô°ú ±³¼ö´Ôµé²² Á¤¸» °¨»çÇÏ´Ù”°í ¼Ò°¨À» ¸»Çß´Ù.

 

ȯÀÚ´Â ÇöÀç »ê¼Ò¸¦ µéÀ̸¶½Ã¸é¼­ ÀÚ¹ßÈ£ÈíÀ» Çϰí ÀÖÀ¸¸ç ¾É¾Æ¼­ ½º½º·Î ½Ä»ç¸¦ Çϰí, È£Èí±Ù¿îµ¿°ú »çÀÌŬÀ» ÅëÇÑ Ä§»ó ÀçȰ¿îµ¿À» ½ÃÇàÇØ ÇÏÁö ±Ù·ÂÀ» Ű¿ö °ÉÀ» Áغñ¸¦ Çϰí ÀÖ´Ù. 
 

ÇѸ²´ëÇб³¼º½Éº´¿ø À¯°æÈ£ º´¿øÀåÀº “ȯÀÚ´Â Ä¡·á±â°£µ¿¾È Äڷγª19¸¦ ±Øº¹ÇϰíÀÚ ÇÏ´Â ÀÇÁö°¡ ±²ÀåÈ÷ °­ÇßÀ¸¸ç ÀÇ·áÁø°ú °¡Á·µéÀÇ ÁöÁö¸¦ ÅëÇØ ÀçȰÀ» ¼º°øÀûÀ¸·Î Çϰí ÀÖ´Ù”¸ç “ÇѸ²´ëÇб³¼º½Éº´¿øÀº À̹ø Äڷγª19ȯÀÚ ÆóÀ̽ļö¼ú ¼º°øÀ» ±âÁ¡À¸·Î Äڷγª19¸¦ Á¤º¹Çϱâ À§ÇØ ´õ¿í´õ ³ë·ÂÇØ ³ª°¥ °Í"À̶ó°í ¸»Çß´Ù.

mut@dailymedi.com
À̱âÀÚÀÇ ´Ù¸¥´º½ºº¸±â
¹«ÅëÀåÀÔ±Ý Á¤º¸ÀÔ·Â ÀÔ±ÝÀÚ¸í ÀԱݿ¹Á¤ÀÏÀÚ
(ÀÔ±ÝÇÏ½Ç ÀÔ±ÝÀÚ¸í + ÀԱݿ¹Á¤ÀÏÀÚ¸¦ ÀÔ·ÂÇϼ¼¿ä)
[°ü·Ã´º½º]
- °ü·Ã´º½º°¡ ¾ø½À´Ï´Ù.
Æ®À§ÅÍ·Î º¸³»±â ½ÎÀÌ¿ùµå °ø°¨
±â»ç±ÛÈ®´ë ±â»ç±ÛÃà¼Ò ±â»ç½ºÅ©·¦ À̸ÞÀϹ®ÀÇ ÇÁ¸°Æ®Çϱâ
¸íÁöº´¿ø, ͺ À̰ÇÈñ ȸÀå ÁÖÄ¡ÀÇ À̰­¿ì ±³¼ö(»ï¼º¼­¿ïº´¿ø ÀçȰÀÇÇаú) ¿µÀÔ
´ëÀü¼º¸ðº´¿ø ±èµ¿±â¡¤À̵¿Ã¢ ±³¼ö, ´ëÇÑÀ̺ñÀÎÈİúÇÐȸ ÃÖ¿ì¼ö ±¸¿¬»ó¡¤ÃÖ¿ì¼ö Æ÷½ºÅÍ»ó
Á¶Àç¿ì ±³¼ö(°í´ë±¸·Îº´¿ø Á¤Çü¿Ü°ú), ´ëÇѰñÀýÇÐȸ ÃÖ´Ù³í¹®»ó
´ëÇÑÀÇ»çÇùȸ ºÎȸÀå ¹éÇö¿í¡¤Àǹ«ÀÌ»ç ¿Àµ¿È£¡¤Á¤º¸Åë½ÅÀÌ»ç À¯¼Ò¿µèâ
Çѱ¹Á¦¾à¹ÙÀÌ¿ÀÇùȸ ÀǾàǰ±¤°í½ÉÀÇÀ§¿øÈ¸ À§¿øÀå ±è¼ºÁø¡¤ºÎÀ§¿øÀå ÀÌÁØÈñ¡¤ÀåÃá°ï èâ
¹è±â¼ö ±³¼ö(¾ÆÁִ뺴¿ø ¼Ò¾ÆÃ»¼Ò³â°ú), Á¦100ȸ ¾î¸°À̳¯ ¿ÁÁ¶±ÙÁ¤ÈÆÀå
À̺´ÈÆ¡¤½ÉÀç¾Ó ±³¼öÆÀ(±æº´¿ø Á¤Çü¿Ü°ú), ´ëÇѰñÀýÇÐȸ ¿ÃÇØ ¿ì¼ö ±¸¿¬»ó
³²°¡Àº ±³¼ö(°í´ë±¸·Îº´¿ø °¡Á¤ÀÇÇаú), Çѱ¹¿©ÀÚÀÇ»çȸ Á¦4ȸ ÀþÀºÀÇÇÐÀÚ Çмú»ó
±¹¸³Áß¾ÓÀÇ·á¿ø Áß¾ÓÀÀ±ÞÀÇ·á¼¾ÅÍÀå ±è¼ºÁß(Á¶¼±´ëº´¿ø ÀÀ±ÞÀÇÇаú ±³¼ö)
ÃÖÁ¤¿õ ¿µ°æÀÇ·áÀç´Ü ÀüÁÖº´¿ø ÀÌ»çÀå, ¾Æµ¿º¸È£»ç¾÷ ±â±Ý 4000¸¸¿ø
±è¿µÁÖ ±³¼ö(ÀÌ´ë¸ñµ¿º´¿ø »êºÎÀΰú), Á¦13ȸ Çѵ¶¿©ÀÇ»çÇмú´ë»ó
¹ÚÂùÈì ±³¼ö(ÇѸ²´ëÃáõ¼º½Éº´¿ø À̺ñÀÎÈİú), ´ëÇÑÀ̺ñÀÎÈİúÇÐȸ Çмú»ó
Á¶¼öÁø ±³¼ö(ÇѸ²´ëµ¿Åº¼º½Éº´¿ø ½Å°æ°ú), Á¦26ȸ JWÁß¿ÜÇмú´ë»ó
¼­Á¤°Ç ¿¬¼¼¼­³»°ú ¿øÀå ÀåÀλó