2025³â12¿ù25ÀÏthu
·Î±×ÀÎ | ȸ¿ø°¡ÀÔ
OFF
Æ®À§ÅÍ·Î º¸³»±â ½ÎÀÌ¿ùµå °ø°¨
±â»ç±ÛÈ®´ë ±â»ç±ÛÃà¼Ò ±â»ç½ºÅ©·¦ À̸ÞÀϹ®ÀÇ ÇÁ¸°Æ®Çϱâ
½ÃÇѺΠÆÇÁ¤ ·¯½Ã¾Æ ¾ÏȯÀÚ, Çѱ¹¼­ '¿ÏÄ¡ ±âÀû'
°Ç¾ç´ëº´¿ø ÃÖÁ¾±Ç ±³¼ö, ¸é¿ªÇ×¾Ï‧Ç¥ÀûÄ¡·á ÅëÇØ ÀüÀ̾ϵµ Ä¡·á
[ 2020³â 09¿ù 21ÀÏ 10½Ã 45ºÐ ]
[
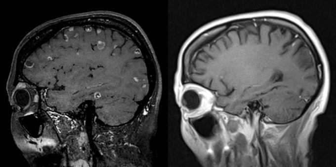
µ¥Àϸ®¸Þµð ¹Ú´ëÁø ±âÀÚ] °Ç¾ç´ëÇб³º´¿ø Ç÷¾×Á¾¾ç³»°ú ÃÖÁ¾±Ç ±³¼ö°¡ 1°³¿ù ½ÃÇѺΠ¼±°í¸¦ ¹ÞÀº ·¯½Ã¾Æ ¸»±â ¾ÏȯÀÚ¸¦ ¿ÏÄ¡½ÃŰ´Â ±âÀûÀ» ÀϱɴÙ.
 
·¯½Ã¾Æ ±¹ÀûÀÇ ÀÚÀ̷ιÙ(48¼¼) ¾¾´Â 1³â Àü ÀÚ±¹¿¡¼­ Æó¾Ï Áø´ÜÀ» ¹Þ°í Ä¡·á¸¦ À§ÇØ Çѱ¹À» ã¾Ò´Ù.
 
¼­¿ï À¯¸í ´ëÇüº´¿ø¿¡¼­ °Ë»ç¸¦ ¹ÞÀº °á°ú ¾ÏÀÌ ±Þ¼Óµµ·Î ÁøÇàµÅ Æó»Ó¸¸ ¾Æ´Ï¶ó ³ú±îÁö ÀüÀÌµÇ¾î ±æ¾î¾ß 1°³¿ù Á¤µµ ¹Û¿¡ »ì ¼ö ¾ø´Ù´Â Àý¸ÁÀûÀÎ ¸»À» µé¾ú´Ù.
 
ÀÚÀ̷ιپ¾´Â ÀÎÅÍ³Ý °Ë»öÀ¸·Î °Ç¾ç´ëº´¿ø¿¡ ·¯½Ã¾Æ ȯÀÚ¸¦ ´ã´çÇÏ´Â Á÷¿øÀÌ ÀÖ´Ù´Â °ÍÀ» È®ÀÎÇÏ°í °¡´ÉÇÑ ÇÑ »¡¸® Áø·á¸¦ ¹ÞÀ» ¼ö ÀÖµµ·Ï µµ¿òÀ» ¿äûÇß´Ù.
 
·¯½Ã¾Æ ÄÚµð³×ÀÌÅÍÀÎ À̸®³ª ¾¾¸¦ ÅëÇØ ´ëÀüÀ¸·Î ³»·Á¿Í °Ç¾ç´ëº´¿ø Ç÷¾×Á¾¾ç³»°ú ÃÖÁ¾±Ç ±³¼ö¸¦ ¸¸³µ´Ù.
 
ÃÖ ±³¼ö´Â ȯÀÚÀÇ ¿©·¯ °¡Áö °Ë»ç ¿µ»óÀ» È®ÀÎÇÑ °á°ú 10¿© °³°¡ ³Ñ´Â ¾Ï µ¢¾î¸®µéÀÌ ³ú ¼Ó ±ºµ¥±ºµ¥¸¦ Â÷ÁöÇϰí ÀÖ¾î ¼­¿ï¿¡¼­ Ä¡·á¸¦ Æ÷±âÇß´Ù´Â ¸»À» ½Ç°¨ÇÒ ¼ö ÀÖ¾ú´Ù.
 
ÇÏÁö¸¸ ÃÖ ±³¼ö´Â ȯÀÚ¿¡°Ô Àû±ØÀûÀÎ Ä¡·á¸¦ ±ÇÀ¯Çß´Ù. ¸»±â ¾Ï ȯÀÚ¶óµµ Ä¡·á¸¦ Æ÷±âÇÏÁö ¾Ê´Â´Ù¸é ÈçÄ¡´Â ¾ÊÁö¸¸ ±âÀû °°Àº ÀÏÀÌ ÀϾ´Â °æ¿ì¸¦ ÀÓ»ó°æÇèÀ» ÅëÇØ ºÃ±â ¶§¹®ÀÌ´Ù.
 
ÃÖ ±³¼ö´Â ¿ì¼± ȯÀÚÀÇ ¸é¿ªÃ¼°è¸¦ Ȱ¼ºÈ­½ÃÄÑ ¾Ï¼¼Æ÷¸¦ »ç¸ê½ÃŰ´Â ¸é¿ªÇ׾Ͽä¹ý°ú ¾Ï¼¼Æ÷¸¸À» Á¤¹ÐŸ°ÝÇϴ ǥÀûÇ×¾ÏÄ¡·á¸¦ º´ÇàÇÏ´Â Ä¡·á¸¦ ½ÃÇàÇß´Ù.
 
°á°ú´Â ³î¶ó¿ü´Ù. ¾Ï ¼¼Æ÷°¡ Ä¡·á¿¡ ¹ÝÀÀÀ» º¸À̱⠽ÃÀÛÇÏ´õ´Ï ³ú¿Í Æó¿¡ ÀÖ´ø Á¾¾çµéÀÌ ¾à 10°³¿ù¿¡ °ÉÃÄ ¸ðµÎ »ç¶óÁ³´Ù.
 
1°³¿ù ½ÃÇѺΠ¼±°í¸¦ ¹ÞÀº ¸»±â ¾Ï ȯÀÚ°¡ °ÅÀÇ ¿ÏÄ¡¼öÁØÀÇ ±âÀûÀÌ ÀϾ °ÍÀÌ´Ù.
 
ÀÚÀ̷ιپ¾´Â Ä¡·á¸¦ ¸¶Ä£ ÈÄ ÃÖ±Ù ·¯½Ã¾Æ·Î µ¹¾Æ°¬Áö¸¸ ÃÖ ±³¼ö´Â ÀÚÀ̷ιپ¾¸¦ ´ã´çÇÏ´Â ·¯½Ã¾Æ ÇöÁö ÀÇ»ç¿Í ¼ÒÅëÇϸç Áö¼ÓÀûÀ¸·Î °ü¸®ÇØ ÁÖ°í ÀÖ´Ù.
 
ÀÚÀ̷ιپ¾´Â ½ÃÇѺΠ»î¿¡¼­ ¹þ¾î³ª Á¤±âÀûÀÎ °Ë»ç¸¦ ¹ÞÀ¸¸ç °Ç°­À» ì±â°í ÀÖ´Ù¶ó¸ç ´ëÀü ÀÇ·áÁøÀÇ ¶Ù¾î³­ ÀǼú°ú Ä£ÀýÇÔÀ» Á¦ ÁÖº¯ »ç¶÷µé¿¡°Ô ³Î¸® ¾Ë¸®°í ÀÖ´Ù¶ó°í ¸»Çß´Ù.
 
ÃÖÁ¾±Ç ±³¼ö´Â ¸»±â ¾ÏȯÀÚ¿¡°Ô ¿ÏÄ¡¸¦ ±â´ëÇϱâ¶õ ½¬¿î ÀÏÀÌ ¾Æ´ÏÁö¸¸ ÀÇ·áÁøÀº ÃÖÀûÀÇ Ä¡·á¹ýÀ» ã°í ȯÀÚ ¿ª½Ã °­ÇÑ ÀÇÁö°¡ ÀÖ´Ù¸é ÁÁÀº °á°ú·Î À̾îÁú ¼ö ÀÖ´Ù¶ó°í ¸»Çß´Ù.
djpark@dailymedi.com
À̱âÀÚÀÇ ´Ù¸¥´º½ºº¸±â
¹«ÅëÀåÀÔ±Ý Á¤º¸ÀÔ·Â ÀÔ±ÝÀÚ¸í ÀԱݿ¹Á¤ÀÏÀÚ
(ÀÔ±ÝÇÏ½Ç ÀÔ±ÝÀÚ¸í + ÀԱݿ¹Á¤ÀÏÀÚ¸¦ ÀÔ·ÂÇϼ¼¿ä)
[°ü·Ã´º½º]
- °ü·Ã´º½º°¡ ¾ø½À´Ï´Ù.
Æ®À§ÅÍ·Î º¸³»±â ½ÎÀÌ¿ùµå °ø°¨
±â»ç±ÛÈ®´ë ±â»ç±ÛÃà¼Ò ±â»ç½ºÅ©·¦ À̸ÞÀϹ®ÀÇ ÇÁ¸°Æ®Çϱâ
¸íÁöº´¿ø, ͺ À̰ÇÈñ ȸÀå ÁÖÄ¡ÀÇ À̰­¿ì ±³¼ö(»ï¼º¼­¿ïº´¿ø ÀçȰÀÇÇаú) ¿µÀÔ
´ëÀü¼º¸ðº´¿ø ±èµ¿±â¡¤À̵¿Ã¢ ±³¼ö, ´ëÇÑÀ̺ñÀÎÈİúÇÐȸ ÃÖ¿ì¼ö ±¸¿¬»ó¡¤ÃÖ¿ì¼ö Æ÷½ºÅÍ»ó
Á¶Àç¿ì ±³¼ö(°í´ë±¸·Îº´¿ø Á¤Çü¿Ü°ú), ´ëÇѰñÀýÇÐȸ ÃÖ´Ù³í¹®»ó
´ëÇÑÀÇ»çÇùȸ ºÎȸÀå ¹éÇö¿í¡¤Àǹ«ÀÌ»ç ¿Àµ¿È£¡¤Á¤º¸Åë½ÅÀÌ»ç À¯¼Ò¿µèâ
Çѱ¹Á¦¾à¹ÙÀÌ¿ÀÇùȸ ÀǾàǰ±¤°í½ÉÀÇÀ§¿øÈ¸ À§¿øÀå ±è¼ºÁø¡¤ºÎÀ§¿øÀå ÀÌÁØÈñ¡¤ÀåÃá°ï èâ
¹è±â¼ö ±³¼ö(¾ÆÁִ뺴¿ø ¼Ò¾ÆÃ»¼Ò³â°ú), Á¦100ȸ ¾î¸°À̳¯ ¿ÁÁ¶±ÙÁ¤ÈÆÀå
À̺´ÈÆ¡¤½ÉÀç¾Ó ±³¼öÆÀ(±æº´¿ø Á¤Çü¿Ü°ú), ´ëÇѰñÀýÇÐȸ ¿ÃÇØ ¿ì¼ö ±¸¿¬»ó
³²°¡Àº ±³¼ö(°í´ë±¸·Îº´¿ø °¡Á¤ÀÇÇаú), Çѱ¹¿©ÀÚÀÇ»çȸ Á¦4ȸ ÀþÀºÀÇÇÐÀÚ Çмú»ó
±¹¸³Áß¾ÓÀÇ·á¿ø Áß¾ÓÀÀ±ÞÀÇ·á¼¾ÅÍÀå ±è¼ºÁß(Á¶¼±´ëº´¿ø ÀÀ±ÞÀÇÇаú ±³¼ö)
ÃÖÁ¤¿õ ¿µ°æÀÇ·áÀç´Ü ÀüÁÖº´¿ø ÀÌ»çÀå, ¾Æµ¿º¸È£»ç¾÷ ±â±Ý 4000¸¸¿ø
±è¿µÁÖ ±³¼ö(ÀÌ´ë¸ñµ¿º´¿ø »êºÎÀΰú), Á¦13ȸ Çѵ¶¿©ÀÇ»çÇмú´ë»ó
¹ÚÂùÈì ±³¼ö(ÇѸ²´ëÃáõ¼º½Éº´¿ø À̺ñÀÎÈİú), ´ëÇÑÀ̺ñÀÎÈİúÇÐȸ Çмú»ó
Á¶¼öÁø ±³¼ö(ÇѸ²´ëµ¿Åº¼º½Éº´¿ø ½Å°æ°ú), Á¦26ȸ JWÁß¿ÜÇмú´ë»ó
¼­Á¤°Ç ¿¬¼¼¼­³»°ú ¿øÀå ÀåÀλó