2025³â12¿ù23ÀÏtue
·Î±×ÀÎ | ȸ¿ø°¡ÀÔ
OFF
Æ®À§ÅÍ·Î º¸³»±â ½ÎÀÌ¿ùµå °ø°¨
±â»ç±ÛÈ®´ë ±â»ç±ÛÃà¼Ò ±â»ç½ºÅ©·¦ À̸ÞÀϹ®ÀÇ ÇÁ¸°Æ®Çϱâ
ȸÀü±Ù°³ ÆÄ¿­ ºñ¼ö¼úÀû Ä¡·á °¡´É¼º Á¦½Ã
°¡Å縯ÀÇ´ë ¿¬±¸Áø, ¾ÆÅÚ·ÎÄݶó°Õ ÁÖ»ç·Î ȸº¹¡¤±â´É È£Àü È®ÀÎ
[ 2020³â 09¿ù 23ÀÏ 10½Ã 00ºÐ ]
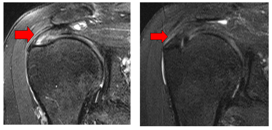
[µ¥Àϸ®¸Þµð ÇÑÇØÁø ±âÀÚ] ¾î±ú ÅëÁõÀ» À¯¹ßÇÏ´Â ÈçÇÑ Áúº´ÀΠȸÀü±Ù°³ ÆÄ¿­ÀÇ ºñ¼ö¼úÀû Ä¡·á¿¡ ÀÖ¾î ¾ÆÅÚ·ÎÄݶó°Õ ÁÖ»çÀÇ È¿°ú°¡ ³ô´Ù´Â ¿¬±¸ °á°ú°¡ ³ª¿Ô´Ù.

±¹³»¿¡¼± ¿¬°£ 13¸¸¸íÀÇ È¯ÀÚ°¡ ȸÀü±Ù°³ ÁúȯÀ¸·Î ÀÇ·á±â°üÀ» ã´Â´Ù. ȸÀü±Ù°³´Â ¾î±ú¸¦ °¨½Î°í ÀÖ´Â 4°³ÀÇ ÈûÁÙÀ» ¸»Çϴµ¥ ¾î±úÀÇ ¾ÈÁ¤¼º°ú ¿îµ¿¼º¿¡ Áß¿äÇÑ ¿ªÇÒÀ» ¸Ã´Â´Ù. ÈûÁÙÀÌ ´Ù¾çÇÑ ¿øÀο¡ ÀÇÇØ ¾àÇØÁö°Å³ª Âõ¾îÁö¸é¼­ ¹ß»ýÇÏ´Â °ÍÀÌ È¸Àü±Ù°³ ÆÄ¿­ÀÌ´Ù.

°¡Å縯´ëÇб³ ¼­¿ï¼º¸ðº´¿ø Á¤Çü¿Ü°ú ±è¾ç¼ö ±³¼ö(±³½ÅÀúÀÚ), ¿©Àǵµ¼º¸ðº´¿ø Á¤Çü¿Ü°ú ±èÁ¾È£ ±³¼ö(Á¦1ÀúÀÚ) ¿¬±¸ÆÀÀº ȸÀü±Ù°³ ºÎºÐ ÆÄ¿­ ȯÀڵ鿡°Ô ÆÄ¿­ ºÎÀ§¿¡ ÃÊÀ½ÆÄ À¯µµÇÏ ¾ÆÅÚ·ÎÄݶó°ÕÀ» ÁÖ»çÇÑ ÆÄ¿­ ºÎÀ§°¡ MRI °Ë»ç»ó ȸº¹µÆ°í ±â´ÉÀûÀ¸·Îµµ È£ÀüµÈ °ÍÀ» È®ÀÎÇß´Ù°í 23ÀÏ ¹àÇû´Ù.
 
¿¬±¸ÆÀÀº 2014³âºÎÅÍ 2017³â±îÁö 94¸íÀÇ È¸Àü±Ù°³ ºÎºÐ ÆÄ¿­ ȯÀÚ¸¦ ´ë»óÀ¸·Î ¾ÆÅÚ·ÎÄݶó°Õ ÁÖ»ç Ä¡·á È¿°ú¸¦ ºÐ¼®Çß´Ù.

´ë»ó ȯÀÚ´Â ¾ÆÅÚ·ÎÄݶó°Õ 0.5mL Áֻ籺(32¸í), ¾ÆÅÚ·ÎÄݶó°Õ 1mL Áֻ籺(30¸í), Áֻ縦 ÇÏÁö ¾Ê´Â ±º(32¸í)À¸·Î ³ª´³´Ù. 12°³¿ù µ¿¾È ÅëÁõ Á¡¼ö ¹× ¾î±ú ±â´É Á¡¼ö, MRI °Ë»ç °á°ú µîÀ» ºñ±³ ºÐ¼®ÇÑ °á°ú 2°³ÀÇ Áֻ籺 ¸ðµÎ ¾î±ú ±â´É ¹× ÅëÁõ Á¡¼öÀÇ À¯ÀǹÌÇÑ °³¼± È¿°ú¸¦ º¸¿´´Ù.

¶Ç ÁÖ»ç 6°³¿ù ÈÄ ½ÃÇàÇÑ MRI °Ë»ç °á°ú 1mL Áֻ籺 Áß 36.7%, 0.5mL Áֻ籺 Áß 28.1% ¿¡¼­ ȸÀü±Ù°³ ÆÄ¿­ ºÎÀ§°¡ ȸº¹µÈ ¹Ý¸é Áֻ縦 ÇÏÁö ¾ÊÀº ±º¿¡¼­´Â ȸÀü±Ù °³ ÆÄ¿­ ȸº¹·üÀÌ 6.3%·Î Á¶»çµÆ´Ù.

¾ÆÅÚ·ÎÄݶó°ÕÀº ¸»´Ü ÅÚ·ÎÆéŸÀ̵带 ´Ü¹éºÐÇØÈ¿¼Ò·Î Á¦°Å, ÀÎü Åõ¿© ½Ã ¸é¿ª¿ø¼ºÀ» ³·°Ô ¸¸µç Äݶó°ÕÀÌ´Ù. Á¤Á¦µÈ ¾ÆÅÚ·ÎÄݶó°ÕÀº ¿ì¸® ¸öÀÇ ¼¼Æ÷-Äݶó°Õ °£ »óÈ£ÀÛ¿ëÀ» ³ôÀÓÀ¸·Î½á »ýüÀûÇÕ¼ºÀ» º¸ÀÌ´Â ÀåÁ¡À» °®´Â °ÍÀ¸·Î ¾Ë·ÁÁ® ÀÖ´Ù.
 
±è¾ç¼ö ±³¼ö´Â “À̹ø ¿¬±¸´Â ȸÀü±Ù°³ ºÎºÐ ÆÄ¿­ ȯÀÚ°¡ ¼ö¼úÀ» ¹Þ±â Àü ºñ¼ö¼úÀûÀÎ Ä¡·áÀÎ ¾ÆÅÚ·ÎÄݶó°Õ ÁÖ»ç Ä¡·á¸¦ ÅëÇØ µµ¿òÀÌ µÉ ¼ö ÀÖ´Ù´Â Á¡À» ¹àÇô ȸÀü±Ù°³ ÆÄ¿­ÀÇ ºñ¼ö¼úÀû Ä¡·á¿¡ »õ·Î¿î °¡À̵å¶óÀÎÀ» Á¦½ÃÇß´Ù´Â Á¡¿¡¼­ ÀÇÀǰ¡ ÀÖ´Ù”°í ¸»Çß´Ù.  
 
ÇÑÆí À̹ø ¿¬±¸ °á°ú´Â Á¤Çü¿Ü°ú ±¹Á¦ÇмúÁö ¹Ì±¹ ½ºÆ÷Ã÷ÀÇÇÐÀú³Î(Orthopedic Journal of Sports Medicine, IF 2.589)¿¡ ÃÖ±Ù °ÔÀçµÆ´Ù.
hjhan@dailymedi.com
À̱âÀÚÀÇ ´Ù¸¥´º½ºº¸±â
¹«ÅëÀåÀÔ±Ý Á¤º¸ÀÔ·Â ÀÔ±ÝÀÚ¸í ÀԱݿ¹Á¤ÀÏÀÚ
(ÀÔ±ÝÇÏ½Ç ÀÔ±ÝÀÚ¸í + ÀԱݿ¹Á¤ÀÏÀÚ¸¦ ÀÔ·ÂÇϼ¼¿ä)
[°ü·Ã´º½º]
- °ü·Ã´º½º°¡ ¾ø½À´Ï´Ù.
Æ®À§ÅÍ·Î º¸³»±â ½ÎÀÌ¿ùµå °ø°¨
±â»ç±ÛÈ®´ë ±â»ç±ÛÃà¼Ò ±â»ç½ºÅ©·¦ À̸ÞÀϹ®ÀÇ ÇÁ¸°Æ®Çϱâ
¸íÁöº´¿ø, ͺ À̰ÇÈñ ȸÀå ÁÖÄ¡ÀÇ À̰­¿ì ±³¼ö(»ï¼º¼­¿ïº´¿ø ÀçȰÀÇÇаú) ¿µÀÔ
´ëÀü¼º¸ðº´¿ø ±èµ¿±â¡¤À̵¿Ã¢ ±³¼ö, ´ëÇÑÀ̺ñÀÎÈİúÇÐȸ ÃÖ¿ì¼ö ±¸¿¬»ó¡¤ÃÖ¿ì¼ö Æ÷½ºÅÍ»ó
Á¶Àç¿ì ±³¼ö(°í´ë±¸·Îº´¿ø Á¤Çü¿Ü°ú), ´ëÇѰñÀýÇÐȸ ÃÖ´Ù³í¹®»ó
´ëÇÑÀÇ»çÇùȸ ºÎȸÀå ¹éÇö¿í¡¤Àǹ«ÀÌ»ç ¿Àµ¿È£¡¤Á¤º¸Åë½ÅÀÌ»ç À¯¼Ò¿µèâ
Çѱ¹Á¦¾à¹ÙÀÌ¿ÀÇùȸ ÀǾàǰ±¤°í½ÉÀÇÀ§¿øÈ¸ À§¿øÀå ±è¼ºÁø¡¤ºÎÀ§¿øÀå ÀÌÁØÈñ¡¤ÀåÃá°ï èâ
¹è±â¼ö ±³¼ö(¾ÆÁִ뺴¿ø ¼Ò¾ÆÃ»¼Ò³â°ú), Á¦100ȸ ¾î¸°À̳¯ ¿ÁÁ¶±ÙÁ¤ÈÆÀå
À̺´ÈÆ¡¤½ÉÀç¾Ó ±³¼öÆÀ(±æº´¿ø Á¤Çü¿Ü°ú), ´ëÇѰñÀýÇÐȸ ¿ÃÇØ ¿ì¼ö ±¸¿¬»ó
³²°¡Àº ±³¼ö(°í´ë±¸·Îº´¿ø °¡Á¤ÀÇÇаú), Çѱ¹¿©ÀÚÀÇ»çȸ Á¦4ȸ ÀþÀºÀÇÇÐÀÚ Çмú»ó
±¹¸³Áß¾ÓÀÇ·á¿ø Áß¾ÓÀÀ±ÞÀÇ·á¼¾ÅÍÀå ±è¼ºÁß(Á¶¼±´ëº´¿ø ÀÀ±ÞÀÇÇаú ±³¼ö)
ÃÖÁ¤¿õ ¿µ°æÀÇ·áÀç´Ü ÀüÁÖº´¿ø ÀÌ»çÀå, ¾Æµ¿º¸È£»ç¾÷ ±â±Ý 4000¸¸¿ø
±è¿µÁÖ ±³¼ö(ÀÌ´ë¸ñµ¿º´¿ø »êºÎÀΰú), Á¦13ȸ Çѵ¶¿©ÀÇ»çÇмú´ë»ó
¹ÚÂùÈì ±³¼ö(ÇѸ²´ëÃáõ¼º½Éº´¿ø À̺ñÀÎÈİú), ´ëÇÑÀ̺ñÀÎÈİúÇÐȸ Çмú»ó
Á¶¼öÁø ±³¼ö(ÇѸ²´ëµ¿Åº¼º½Éº´¿ø ½Å°æ°ú), Á¦26ȸ JWÁß¿ÜÇмú´ë»ó
¼­Á¤°Ç ¿¬¼¼¼­³»°ú ¿øÀå ÀåÀλó