2025³â12¿ù21ÀÏsun
·Î±×ÀÎ | ȸ¿ø°¡ÀÔ
OFF
Æ®À§ÅÍ·Î º¸³»±â ½ÎÀÌ¿ùµå °ø°¨
±â»ç±ÛÈ®´ë ±â»ç±ÛÃà¼Ò ±â»ç½ºÅ©·¦ À̸ÞÀϹ®ÀÇ ÇÁ¸°Æ®Çϱâ
ij³í, ÇÁ¸®¹Ì¾ö ÃÊÀ½ÆÄ 'Aplio' ¾÷±×·¹À̵å
[ 2021³â 09¿ù 02ÀÏ 11½Ã 00ºÐ ]
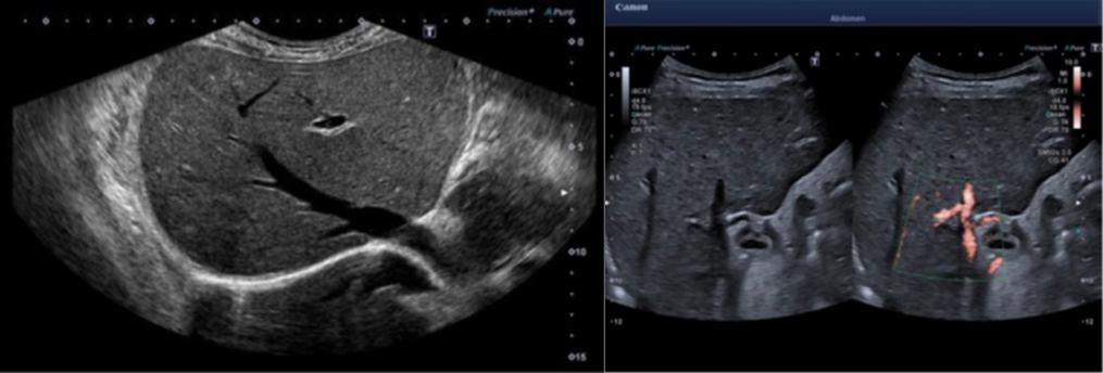
[µ¥Àϸ®¸Þµð ÇÑÇØÁø ±âÀÚ] ij³í¸ÞµðÄ®ÀÌ ÇÁ¸®¹Ì¾ö ÃÊÀ½ÆÄ 'Aplio(¾îÇø®¿À) i-series Prism Edition'ÀÇ ´ë´ëÀûÀÎ ¾÷±×·¹ÀÌµå ¸¶¹«¸®ÇÏ°í »õ·Ó°Ô Ãâ½ÃÇß´Ù.
 
À̹ø¿¡ ¼±º¸ÀÎ ¾îÇø®¿À i ½Ã¸®Áî´Â ¡ãµðÀÚÀÎ ¹× ¾îÇø®ÄÉÀÌ¼Ç Çâ»ó ¡ã¿ïÆ®¶ó ¿ÍÀÌµå ºä ¡ãÇ® Æ÷Ä¿½º ±â¼ú ¡ãSMI 4¼¼´ë ¡ã¸®´Ï¾î ½Ì±Û Å©¸®½ºÅ» Æ®·£½ºµà¼­ µîÀÇ Æ¯Â¡À» °®´Â´Ù.
 
Á¶ÀÛ ÆÐ³Î, º»Ã¼ Ä¿¹öºÎÅÍ ÈÙ, Æ®·£½ºµà¼­ Ä¿³ØÅͱîÁö ¸ð´øÇÏ°í ¼¼·ÃµÈ µðÀÚÀÎÀ¸·Î Å»¹Ù²ÞÇßÀ¸¸ç, ´Ù¾çÇÑ Å³·¯ ¾îÇø®ÄÉÀ̼ÇÀ» Á¦°øÇØ ¾÷¹« ȯ°æÀÇ È¿À²¼ºÀ» ±Ø´ëÈ­Çß´Ù.
 
ƯÈ÷ °¡Àå Çõ½ÅÀûÀÎ ºö ±â¼úÀÎ' iBeam+'´Â ±âÁ¸º¸´Ù ÈξÀ °­·ÂÇÑ ºö ÇÁ·Î¼¼½ÌÀ» Á¦°øÇÏ´Â °ÍÀº ¹°·Ð ºö ħÅõ·Âµµ ´ëÆø Çâ»óµÆ´Ù.
 
°­·ÂÇØÁø ºö ħÅõ·ÂÀ¸·Î Á֯ļö Àüȯ ¾øÀÌ ±âÁ¸º¸´Ù ´õ ±íÀº ¿µ¿ª±îÁö Åõ°úÇØ º¼ ¼ö ÀÖ°í, ±íÀº ¿µ¿ªÀ» º¼ ¶§ ÀÚÄ© ¶³¾îÁú ¼ö ÀÖ´Â ¿µ»óÀÇ ±ÕÁúµµ ¶ÇÇÑ ±â¼úÀûÀ¸·Î º¸¿ÏÇØ ÁÁÀº À̹ÌÁö Ä÷¸®Æ¼¸¦ º¸ÀåÇÑ´Ù.
 
ÇÁ·¹ÀÓ ·¹ÀÌÆ®´Â º¹ºÎ¿¡¼­ ±âÁ¸ ´ëºñ ¾à 2¹è ÀÌ»ó »¡¶óÁ³°í, ¿ïÆ®¶ó ¿ÍÀÌµå ºä(Ultra Wide View) ¿ª½Ã ´õ ºü¸¥ ÇÁ·¹ÀÓ ·¹ÀÌÆ®¿¡¼­ °¡´ÉÇØÁ³´Ù.
 
¿ïÆ®¶ó ¿ÍÀÌµå ºä´Â ¿µ»ó È­ÁúÀ» À¯ÁöÇϸ鼭 ½ºÄµ °¢µµ¸¦ È®Àå(ÃÖ´ë 140µµ)ÇØ ´õ ³ÐÀº ¿µ¿ªÀ» °Ë»çÇÏ´Â ±â´ÉÀÌ´Ù.

iBeam+°¡ Àû¿ëµÊ¿¡ µû¶ó ´õ ³ôÀº ÇÁ·¹ÀÓ ·¹ÀÌÆ®·Î °Ë»ç°¡ °¡´ÉÇÏ´Ù. ij³í¿¡ µû¸£¸é ÇØ´ç ±â´ÉÀº ÇöÀç ij³í¸ÞµðÄ®¿¡¼­ À¯ÀÏÇÏ´Ù.
 
¶ÇÇÑ Ç¥ÇÇ °¡±î¿î °÷ºÎÅÍ ±íÀº °÷±îÁö »ç¿ëÀÚ°¡ º°µµÀÇ Æ÷Ä¿½º ¼³Á¤À» ÇÏÁö ¾Ê°íµµ Àüü ¿µ»óÀÇ Æ÷Ä¿½º ¼³Á¤ÀÌ °¡´ÉÇØÁ³°í, ¿µ»ó ¶ÇÇÑ ¸Å¿ì ¼±¸íÇÏ°í ±ÕÁúÇÏ´Ù.
 
ÀÌ ¹Û¿¡µµ ij³íÀÇ µ¶º¸ÀûÀÎ µµÇ÷¯ ±â¼úÀÎ SMI(Superb Micro-Vascula Imaging)µµ 4¼¼´ë·Î ¾÷±×·¹ÀÌµå µÆ´Ù.
ÁÂ:¿ïÆ®¶ó ¿ÍÀÌµå ºä ¿ì:SMI 4¼¼´ë
¿©±â¿¡ Ç÷·ù·®ÀÇ ¹üÀ§¸¦ È®ÀåÇØ ´õ ³ôÀº ¼ÓµµÀÇ Ç÷·ùµµ °¡½ÃÈ­ÇÒ ¼ö ÀÖ°Ô µÆ°í, ³ëÀÌÁî ¿µ¿ª¿¡¼­ Clutter noise¸¦ ÁÙÀÓÀ¸·Î½á È£Èí Á¶ÀýÀÌ Èûµé¾ú´ø ȯÀÚ¿¡°Ô¼­µµ ÀûÀº ¾ÆÆ¼ÆÑÆ®·Î ¹Ì¼¼Ç÷·ù¸¦ º¸´Â °Ô °¡´ÉÇÏ´Ù.
 
ij³í °ü°èÀÚ´Â "¸ÅÆ®¸¯½º ŸÀÔÀÇ ½Ì±Û ¸®´Ï¾î·Î´Â ¼¼°è ÃÖÃÊ"¶ó¸ç "ÀÌ·Î ÀÎÇØ ÇÁ·¹ÀÓ ·¹ÀÌÆ®°¡ »¡¶óÁ³°í, ¿µ»ó À̹ÌÁö¿Í Ä÷¯ ¹Î°¨¼º ¸ðµÎ ¿ùµîÈ÷ ÁÁ¾ÆÁ³´Ù"°í °­Á¶Çß´Ù.
 
À̾î "Ç¥ÇÇ¿¡ Á÷Á¢ ´ê´Â ºÎºÐÀ» Ä¿ºêµå µðÀÚÀÎÀ¸·Î ó¸®ÇØ Ç¥ÇÇ ¹ÐÂø·ÂÀ» ³ô¿© °Ë»ç°¡ ÈξÀ ¿ëÀÌÇØÁ³À¸¸ç, ¿µ»óÀÇ ³ëÀÌÁî¿Í ¾ÆÆ¼ÆÑÆ® ¶ÇÇÑ ÇöÀúÈ÷ °¨¼ÒÇß´Ù"°í µ¡ºÙ¿´´Ù.
hjhan@dailymedi.com
À̱âÀÚÀÇ ´Ù¸¥´º½ºº¸±â
¹«ÅëÀåÀÔ±Ý Á¤º¸ÀÔ·Â ÀÔ±ÝÀÚ¸í ÀԱݿ¹Á¤ÀÏÀÚ
(ÀÔ±ÝÇÏ½Ç ÀÔ±ÝÀÚ¸í + ÀԱݿ¹Á¤ÀÏÀÚ¸¦ ÀÔ·ÂÇϼ¼¿ä)
[°ü·Ã´º½º]
- °ü·Ã´º½º°¡ ¾ø½À´Ï´Ù.
Æ®À§ÅÍ·Î º¸³»±â ½ÎÀÌ¿ùµå °ø°¨
±â»ç±ÛÈ®´ë ±â»ç±ÛÃà¼Ò ±â»ç½ºÅ©·¦ À̸ÞÀϹ®ÀÇ ÇÁ¸°Æ®Çϱâ
¸íÁöº´¿ø, ͺ À̰ÇÈñ ȸÀå ÁÖÄ¡ÀÇ À̰­¿ì ±³¼ö(»ï¼º¼­¿ïº´¿ø ÀçȰÀÇÇаú) ¿µÀÔ
´ëÀü¼º¸ðº´¿ø ±èµ¿±â¡¤À̵¿Ã¢ ±³¼ö, ´ëÇÑÀ̺ñÀÎÈİúÇÐȸ ÃÖ¿ì¼ö ±¸¿¬»ó¡¤ÃÖ¿ì¼ö Æ÷½ºÅÍ»ó
Á¶Àç¿ì ±³¼ö(°í´ë±¸·Îº´¿ø Á¤Çü¿Ü°ú), ´ëÇѰñÀýÇÐȸ ÃÖ´Ù³í¹®»ó
´ëÇÑÀÇ»çÇùȸ ºÎȸÀå ¹éÇö¿í¡¤Àǹ«ÀÌ»ç ¿Àµ¿È£¡¤Á¤º¸Åë½ÅÀÌ»ç À¯¼Ò¿µèâ
Çѱ¹Á¦¾à¹ÙÀÌ¿ÀÇùȸ ÀǾàǰ±¤°í½ÉÀÇÀ§¿øÈ¸ À§¿øÀå ±è¼ºÁø¡¤ºÎÀ§¿øÀå ÀÌÁØÈñ¡¤ÀåÃá°ï èâ
¹è±â¼ö ±³¼ö(¾ÆÁִ뺴¿ø ¼Ò¾ÆÃ»¼Ò³â°ú), Á¦100ȸ ¾î¸°À̳¯ ¿ÁÁ¶±ÙÁ¤ÈÆÀå
À̺´ÈÆ¡¤½ÉÀç¾Ó ±³¼öÆÀ(±æº´¿ø Á¤Çü¿Ü°ú), ´ëÇѰñÀýÇÐȸ ¿ÃÇØ ¿ì¼ö ±¸¿¬»ó
³²°¡Àº ±³¼ö(°í´ë±¸·Îº´¿ø °¡Á¤ÀÇÇаú), Çѱ¹¿©ÀÚÀÇ»çȸ Á¦4ȸ ÀþÀºÀÇÇÐÀÚ Çмú»ó
±¹¸³Áß¾ÓÀÇ·á¿ø Áß¾ÓÀÀ±ÞÀÇ·á¼¾ÅÍÀå ±è¼ºÁß(Á¶¼±´ëº´¿ø ÀÀ±ÞÀÇÇаú ±³¼ö)
ÃÖÁ¤¿õ ¿µ°æÀÇ·áÀç´Ü ÀüÁÖº´¿ø ÀÌ»çÀå, ¾Æµ¿º¸È£»ç¾÷ ±â±Ý 4000¸¸¿ø
±è¿µÁÖ ±³¼ö(ÀÌ´ë¸ñµ¿º´¿ø »êºÎÀΰú), Á¦13ȸ Çѵ¶¿©ÀÇ»çÇмú´ë»ó
¹ÚÂùÈì ±³¼ö(ÇѸ²´ëÃáõ¼º½Éº´¿ø À̺ñÀÎÈİú), ´ëÇÑÀ̺ñÀÎÈİúÇÐȸ Çмú»ó
Á¶¼öÁø ±³¼ö(ÇѸ²´ëµ¿Åº¼º½Éº´¿ø ½Å°æ°ú), Á¦26ȸ JWÁß¿ÜÇмú´ë»ó
¼­Á¤°Ç ¿¬¼¼¼­³»°ú ¿øÀå ÀåÀλó