2025³â12¿ù19ÀÏfri
·Î±×ÀÎ | ȸ¿ø°¡ÀÔ
OFF
Æ®À§ÅÍ·Î º¸³»±â ½ÎÀÌ¿ùµå °ø°¨
±â»ç±ÛÈ®´ë ±â»ç±ÛÃà¼Ò ±â»ç½ºÅ©·¦ À̸ÞÀϹ®ÀÇ ÇÁ¸°Æ®Çϱâ
Äڷγª19 Æó·Å Á¤·®È­¡¤»ç¸Á À§Çè ¿¹Ãø ±â¼ú ÀÔÁõ
¸ÞµðÄþÆÀÌÇÇ, ¼Ö·ç¼Ç 'Ƽ¼Á' Ȱ¿ë X-ray ¿µ»ó ³í¹® ±¹Á¦ÇмúÁö °ÔÀç
[ 2021³â 10¿ù 27ÀÏ 19½Ã 18ºÐ ]
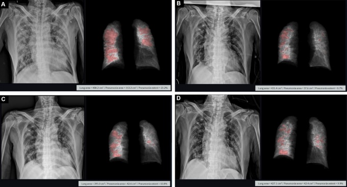
PLOS ONE¿¡ °ÔÀçµÈ Äڷγª19 È®ÁøÀÚ X-ray ¹× Ƽ¼Á Ȱ¿ë Æó·Å ºÐ¼® È­¸é/»çÁøÁ¦°ø=¸ÞµðÄþÆÀÌÇÇ
[µ¥Àϸ®¸Þµð ±¸±³À± ±âÀÚ] ¸ÞµðÄþÆÀÌÇÇ(´ëÇ¥ ¹Ú»óÁØ)°¡ ÀÚ»ç ¼Ö·ç¼Ç 'Ƽ¼Á'À» Ȱ¿ëÇØ ¿¢½º·¹ÀÌ ¿µ»ó¿¡¼­ ½ÅÁ¾ Äڷγª¹ÙÀÌ·¯½º °¨¿°Áõ(Äڷγª19) Æó·ÅÀ» Á¤·®È­ÇÑ ¿¬±¸ ³í¹®À» ÀÇÇÐ ±¹Á¦ÇмúÁö ‘PLOS ONE’¿¡ °ÔÀçÇß´Ù°í 27ÀÏ ¹àÇû´Ù.

¸ÞµðÄþÆÀÌÇÇ´Â °ü°èÀÚ´Â "Ƽ¼ÁÀ» Ȱ¿ëÇØ Äڷγª19 ÈäºÎ ¿¢½º·¹ÀÌ »çÁø¿¡¼­ Æó ¼Õ»ó Á¤µµ¸¦ ¼öÄ¡·Î ºÐ¼®ÇÏ°í º´Áõ ÃßÀ̸¦ °èÃþÈ­ÇØ »ç¸Á À§Çèµµ¸¦ ¿¹ÃøÇÒ ¼ö ÀÖ´Ù´Â °¡´É¼ºÀ» È®ÀÎÇß´Ù"°í ¸»Çß´Ù.

Ƽ¼ÁÀº Äڷγª19 Æó·Å º´º¯ÀÌ Â÷ÁöÇÏ´Â ºñÀ²À» 3Â÷¿ø Á¤º¸·Î Á¤·ÉÈ­ÇÏ´Â ¼Ö·ç¼ÇÀÌ´Ù. º´º¯À» ÀÚµ¿À¸·Î ºÐÇÒÇÏ°í ¼öÄ¡È­ÇØ °´°üÀûÀÎ Áúº´ Á¤º¸¸¦ ¾òÀ» ¼ö ÀÖÀ¸¸ç À̸¦ ±â¹ÝÀ¸·Î Àå±âÀûÀ¸·Î Ä¡·á °æ°ú¸¦ È®ÀÎÇÒ ¼ö ÀÖ´Ù.

ƯÈ÷ Äڷγª19 »Ó¸¸ ¾Æ´Ï¶ó Æó°áÇÙ(TB) µî °¢Á¾ Æó ÁúȯÀ» ½Å¼ÓÇÏ°Ô ÆÇµ¶, Á¤·®È­Çϰí Ä¡·á È¿°ú¸¦ °üÂûÇÒ ¼ö ÀÖ´Ù´Â °Ô °ü°èÀÚ ¼³¸íÀÌ´Ù.
 
¿¬±¸¸¦ ÁÖµµÇÑ À±¼øÈ£ ¼­¿ï´ëÇб³º´¿ø ¿µ»óÀÇÇаú ±³¼ö´Â “Äڷγª19 Æó·Å Áõ¼¼ ±ËÀûÀ» ºÐ¼®ÇÏ°í °üÂûÇØ °íÀ§Çè ȯÀÚ¸¦ ½Å¼ÓÇÏ°Ô Á¶Ä¡ÇÒ ¼ö ÀÖÀ» °Í"À̶ó°í ¸»Çß´Ù.
 
¹Ú»óÁØ ´ëÇ¥´Â “¼¼°èº¸°Ç±â±¸¿¡¼­µµ Äڷγª19 ÁßÁõ ȯÀÚ Áø´Ü¿¡ ÈäºÎ ¿¢½º·¹ÀÌ È°¿ëÀ» ±Ç°íÇϰí ÀÖ´Ù"¸ç "¾ÕÀ¸·Î »ç¸ÁÀ§Ç豺À» °èÃþÈ­ÇØ ¼±º°ÀûÀ¸·Î °ü¸®ÇÏ´Â Çõ½Å±â¼ú·Î ÀÚ¸®ÀâÀ» °Í"À̶ó°í ÀüÇß´Ù.
yun@dailymedi.com
À̱âÀÚÀÇ ´Ù¸¥´º½ºº¸±â
¹«ÅëÀåÀÔ±Ý Á¤º¸ÀÔ·Â ÀÔ±ÝÀÚ¸í ÀԱݿ¹Á¤ÀÏÀÚ
(ÀÔ±ÝÇÏ½Ç ÀÔ±ÝÀÚ¸í + ÀԱݿ¹Á¤ÀÏÀÚ¸¦ ÀÔ·ÂÇϼ¼¿ä)
[°ü·Ã´º½º]
- °ü·Ã´º½º°¡ ¾ø½À´Ï´Ù.
Æ®À§ÅÍ·Î º¸³»±â ½ÎÀÌ¿ùµå °ø°¨
±â»ç±ÛÈ®´ë ±â»ç±ÛÃà¼Ò ±â»ç½ºÅ©·¦ À̸ÞÀϹ®ÀÇ ÇÁ¸°Æ®Çϱâ
¸íÁöº´¿ø, ͺ À̰ÇÈñ ȸÀå ÁÖÄ¡ÀÇ À̰­¿ì ±³¼ö(»ï¼º¼­¿ïº´¿ø ÀçȰÀÇÇаú) ¿µÀÔ
´ëÀü¼º¸ðº´¿ø ±èµ¿±â¡¤À̵¿Ã¢ ±³¼ö, ´ëÇÑÀ̺ñÀÎÈİúÇÐȸ ÃÖ¿ì¼ö ±¸¿¬»ó¡¤ÃÖ¿ì¼ö Æ÷½ºÅÍ»ó
Á¶Àç¿ì ±³¼ö(°í´ë±¸·Îº´¿ø Á¤Çü¿Ü°ú), ´ëÇѰñÀýÇÐȸ ÃÖ´Ù³í¹®»ó
´ëÇÑÀÇ»çÇùȸ ºÎȸÀå ¹éÇö¿í¡¤Àǹ«ÀÌ»ç ¿Àµ¿È£¡¤Á¤º¸Åë½ÅÀÌ»ç À¯¼Ò¿µèâ
Çѱ¹Á¦¾à¹ÙÀÌ¿ÀÇùȸ ÀǾàǰ±¤°í½ÉÀÇÀ§¿øÈ¸ À§¿øÀå ±è¼ºÁø¡¤ºÎÀ§¿øÀå ÀÌÁØÈñ¡¤ÀåÃá°ï èâ
¹è±â¼ö ±³¼ö(¾ÆÁִ뺴¿ø ¼Ò¾ÆÃ»¼Ò³â°ú), Á¦100ȸ ¾î¸°À̳¯ ¿ÁÁ¶±ÙÁ¤ÈÆÀå
À̺´ÈÆ¡¤½ÉÀç¾Ó ±³¼öÆÀ(±æº´¿ø Á¤Çü¿Ü°ú), ´ëÇѰñÀýÇÐȸ ¿ÃÇØ ¿ì¼ö ±¸¿¬»ó
³²°¡Àº ±³¼ö(°í´ë±¸·Îº´¿ø °¡Á¤ÀÇÇаú), Çѱ¹¿©ÀÚÀÇ»çȸ Á¦4ȸ ÀþÀºÀÇÇÐÀÚ Çмú»ó
±¹¸³Áß¾ÓÀÇ·á¿ø Áß¾ÓÀÀ±ÞÀÇ·á¼¾ÅÍÀå ±è¼ºÁß(Á¶¼±´ëº´¿ø ÀÀ±ÞÀÇÇаú ±³¼ö)
ÃÖÁ¤¿õ ¿µ°æÀÇ·áÀç´Ü ÀüÁÖº´¿ø ÀÌ»çÀå, ¾Æµ¿º¸È£»ç¾÷ ±â±Ý 4000¸¸¿ø
±è¿µÁÖ ±³¼ö(ÀÌ´ë¸ñµ¿º´¿ø »êºÎÀΰú), Á¦13ȸ Çѵ¶¿©ÀÇ»çÇмú´ë»ó
¹ÚÂùÈì ±³¼ö(ÇѸ²´ëÃáõ¼º½Éº´¿ø À̺ñÀÎÈİú), ´ëÇÑÀ̺ñÀÎÈİúÇÐȸ Çмú»ó
Á¶¼öÁø ±³¼ö(ÇѸ²´ëµ¿Åº¼º½Éº´¿ø ½Å°æ°ú), Á¦26ȸ JWÁß¿ÜÇмú´ë»ó
¼­Á¤°Ç ¿¬¼¼¼­³»°ú ¿øÀå ÀåÀλó