2026³â01¿ù31ÀÏsat
·Î±×ÀÎ | ȸ¿ø°¡ÀÔ
OFF
Æ®À§ÅÍ·Î º¸³»±â ½ÎÀÌ¿ùµå °ø°¨
±â»ç±ÛÈ®´ë ±â»ç±ÛÃà¼Ò ±â»ç½ºÅ©·¦ À̸ÞÀϹ®ÀÇ ÇÁ¸°Æ®Çϱâ
±¹³» Á¤Çü¿Ü°ú ±³¼ö ³í¹®, NEJM 'ù °ÔÀç' Äè°Å
ÀºÆò¼º¸ðº´¿ø ¹ÚÇü¿­, ¸ð·¼-¶ó¹ß¸® º´º¯ ¼ö¼úÀû Ä¡·á ¼º°ø ³»¿ë
[ 2021³â 12¿ù 06ÀÏ 11½Ã 28ºÐ ]
[µ¥Àϸ®¸Þµð ÇÑÇØÁø ±âÀÚ] ±¹³» Á¤Çü¿Ü°ú ÀÇ·áÁøÀÌ ¹ß»ý ºóµµ°¡ ¸Å¿ì µå¹°°í, ¾ÆÁ÷±îÁö ¸íÈ®ÇÑ Ä¡·á±âÁØÀÌ ¾ø´Â Morel–Lavallée(¸ð·¼-¶ó¹ß¸®) º´º¯¿¡ ´ëÇÑ Ä¡·á¹ýÀ» ¼¼°èÀû ±ÇÀ§ÀÇ ÀÇÇÐÇмúÁö ‘´ºÀ×±Û·£µå Àú³Î ¿Àºê ¸Þµð½¼’(The New England Journal of Medicine, NEJM)¿¡ º¸°íÇØ °ü½ÉÀ» ¸ðÀº´Ù.

°¡Å縯´ëÇб³ ÀºÆò¼º¸ðº´¿øÀº Á¤Çü¿Ü°ú ¹ÚÇü¿­ ±³¼ö(±³½ÅÀúÀÚ)¿Í ¼­¿ï¼º¸ðº´¿ø Á¤Çü¿Ü°ú ±è¿µÈÆ ±³¼ö(Á¦1ÀúÀÚ)ÆÀÀÌ NEJM¿¡ ¹ßÇ¥ÇÑ ³í¹®À» ÅëÇØ Morel–Lavallée º´º¯À» ¼ö¼úÀû Á¦°Å·Î Àç¹ß ¾øÀÌ ¼º°øÀûÀ¸·Î Ä¡·áÇÑ °á°ú¸¦ °ø°³Çß´Ù°í ¹àÇû´Ù.

º´¿ø¿¡ µû¸£¸é ±¹³» Á¤Çü¿Ü°úÇÐ ºÐ¾ß¿¡¼­ NEJM¿¡ ³í¹®À» °ÔÀçÇÑ °ÍÀº À̹øÀÌ Ã³À½ÀÌ´Ù.

ÀÇ·áÁøÀÌ Ä¡·áÇÑ ¸ð·¼-¶ó¹ß¸® º´º¯Àº 1863³â ÇÁ¶û½º ÀÇ»ç ¸ð·¼-¶ó¹ß¸®°¡ óÀ½ ¹ß°ßÇØ À̸§ ºÙ¿©Áø º´º¯À¸·Î, ¿Ü»óÀ¸·Î ÀÎÇØ ÇÇÇÏ ¿¬ºÎÁ¶Á÷°ú ±Ù¸·ÀÌ ºÐ¸®µÇ¸é¼­ ÁÖº¯ÀÇ Ç÷°ü°ú ¸²ÇÁ°ü ¼Õ»óÀÌ ³ªÅ¸³ª ºÐ¸®µÈ °ø°£¿¡ Ç÷¾×, ¸²ÇÁ¾×, Áö¹æÀ» Æ÷ÇÔÇÑ ¾×ü°¡ Â÷°Ô µÇ´Â Æó¼â ¹ÚÅ»¼º ¼Õ»óÀÌ´Ù. 

Ä¡·á´Â º¸Á¸Àû Ä¡·á, °æÇÇÀû ÈíÀμú, °æÈ­¼ú, ¼ö¼úÀû Á¦°Å¿¡ À̸£±â±îÁö ´Ù¾çÇÏÁö¸¸ ÇöÀç±îÁö ÀÇÇа迡¼­ ±¤¹üÀ§ÇÏ°Ô ¹Þ¾Æµé¿©Áö´Â ¸íÈ®ÇÑ Ä¡·á ±âÁØÀÌ ¾ø´Â »óÅ´Ù.

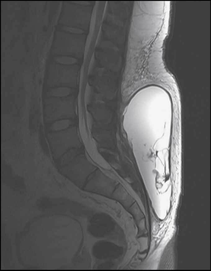
¹ÚÇü¿­, ±è¿µÈÆ ±³¼öÆÀÀÌ Ä¡·áÇÑ È¯ÀÚ´Â 3ÁÖ Àü °è´Ü¿¡¼­ ³Ñ¾îÁ® ¹Ì²ô·¯Áø ÈÄ Å©±â°¡ Ä¿Áö´Â ¿äÃß ºÎÀ§ÀÇ Á¾±«·Î ÀºÆò¼º¸ðº´¿ø Á¤Çü¿Ü°ú¸¦ ã¾Ò´Ù.

ÀÇ·áÁøÀº MRI °Ë»ç¸¦ ÅëÇØ Ç㸮 ¾Æ·¡ ºÎºÐ¿¡¼­ºÎÅÍ ¾ûµ¢À̱îÁö °¡·Î, ¼¼·Î, ±íÀÌÀÇ Å©±â°¡ °¢°¢ 20cm, 20cm, 10cm¿¡ À̸£´Â ÇǸ·ÀÌ Çü¼ºµÈ ³¶Á¾¼º Á¾±«¸¦ °üÂûÇßÀ¸¸ç, ÇÇÇÏ ¿¬ºÎÁ¶Á÷ÀÌ ±Ù¸·¿¡¼­ ¶³¾îÁ® ³ª°£ ºÎÀ§¿¡ »ïÃâ¹°ÀÌ °íÀÎ ¸ð·¼-¶ó¹ß¸® º´º¯À¸·Î Áø´ÜÇß´Ù.

º´º¯¿¡¼­ ÇǸ·ÀÌ Çü¼ºµÇ¸ç ¸¸¼ºÈ­µÅ ´Ù¸¥ Ä¡·á·Î´Â Àç¹ßÀÇ À§Ç輺ÀÌ ³ô´Ù´Â ÆÇ´Ü ÇÏ¿¡ ¼ö¼úÀû ÀýÁ¦¸¦ ½ÃÇàÇÏ°í ¼ö¼ú ÈÄ 3°³¿ù±îÁö Àç¹ßÀÌ ¾øÀ½À» È®ÀÎÇßÀ¸¸ç, ±Ù¼¶À¯¾Æ¼¼Æ÷·Î Çü¼ºµÈ °¡¼º³¶Á¾À̶ó´Â Á¶Á÷ÇÐÀû °Ë»ç°á°ú·Î ¸ð·¼-¶ó¹ß¸® º´º¯À¸·Î ÃÖÁ¾ Áø´ÜÇϰí, º´º¯ÀÇ Æ¯Â¡ÀûÀÎ ¿ÜÇü ¹× MRI ¼Ò°ßÀ» Çа迡 º¸°íÇß´Ù.

ÀºÆò¼º¸ðº´¿ø Á¤Çü¿Ü°ú ¹ÚÇü¿­ ±³¼ö´Â “À̹ø Ä¡·á »ç·Ê´Â º´º¯ÀÌ ºñ±³Àû µå¹°°Ô ³ªÅ¸³ª´Â ¿äÃß ºÎÀ§¿¡ ¹ß»ýÇß°í, ¸¸¼ºÈ­·Î ÀÎÇÑ Àç¹ß °¡´É¼ºÀ» °í·ÁÇØ ¼ö¼úÀû Á¦°Å¸¦ ÀÏÂ÷ÀûÀ¸·Î ½ÃÇàÇß´Ù”¸é¼­ “ÇöÀç±îÁö ¸íÈ®ÇÏ°Ô Á¤¸³µÇÁö ¾ÊÀº ¸ð·¼-¶ó¹ß¸® º´º¯ÀÇ ¼ö¼úÀû Ä¡·á¿¡ ´ëÇÑ »õ·Î¿î ±âÁØÀ» Çа迡 Á¦½ÃÇߴٴµ¥ ±× ÀÇÀǰ¡ ¸Å¿ì Å©´Ù”°í ¹àÇû´Ù.

ÇÑÆí, À̹ø ³í¹®Àº Áö³­ ¼¼°èÀûÀ¸·Î °¡Àå ¿ì¼öÇÑ ÀÇÇÐ ÇмúÁö·Î Æò°¡ ¹Þ´Â NEJM(ÀοëÁö¼ö IF = 91.2) ¿Â¶óÀÎÆÇ¿¡ °ø°³µÈµ¥ À̾î ÃÖ±Ù ÇмúÁö¿¡ Á¤½Ä °ÔÀçµÆ´Ù. 
hjhan@dailymedi.com
À̱âÀÚÀÇ ´Ù¸¥´º½ºº¸±â
¹«ÅëÀåÀÔ±Ý Á¤º¸ÀÔ·Â ÀÔ±ÝÀÚ¸í ÀԱݿ¹Á¤ÀÏÀÚ
(ÀÔ±ÝÇÏ½Ç ÀÔ±ÝÀÚ¸í + ÀԱݿ¹Á¤ÀÏÀÚ¸¦ ÀÔ·ÂÇϼ¼¿ä)
[°ü·Ã´º½º]
- °ü·Ã´º½º°¡ ¾ø½À´Ï´Ù.
Æ®À§ÅÍ·Î º¸³»±â ½ÎÀÌ¿ùµå °ø°¨
±â»ç±ÛÈ®´ë ±â»ç±ÛÃà¼Ò ±â»ç½ºÅ©·¦ À̸ÞÀϹ®ÀÇ ÇÁ¸°Æ®Çϱâ
¸íÁöº´¿ø, ͺ À̰ÇÈñ ȸÀå ÁÖÄ¡ÀÇ À̰­¿ì ±³¼ö(»ï¼º¼­¿ïº´¿ø ÀçȰÀÇÇаú) ¿µÀÔ
´ëÀü¼º¸ðº´¿ø ±èµ¿±â¡¤À̵¿Ã¢ ±³¼ö, ´ëÇÑÀ̺ñÀÎÈİúÇÐȸ ÃÖ¿ì¼ö ±¸¿¬»ó¡¤ÃÖ¿ì¼ö Æ÷½ºÅÍ»ó
Á¶Àç¿ì ±³¼ö(°í´ë±¸·Îº´¿ø Á¤Çü¿Ü°ú), ´ëÇѰñÀýÇÐȸ ÃÖ´Ù³í¹®»ó
´ëÇÑÀÇ»çÇùȸ ºÎȸÀå ¹éÇö¿í¡¤Àǹ«ÀÌ»ç ¿Àµ¿È£¡¤Á¤º¸Åë½ÅÀÌ»ç À¯¼Ò¿µèâ
Çѱ¹Á¦¾à¹ÙÀÌ¿ÀÇùȸ ÀǾàǰ±¤°í½ÉÀÇÀ§¿øÈ¸ À§¿øÀå ±è¼ºÁø¡¤ºÎÀ§¿øÀå ÀÌÁØÈñ¡¤ÀåÃá°ï èâ
¹è±â¼ö ±³¼ö(¾ÆÁִ뺴¿ø ¼Ò¾ÆÃ»¼Ò³â°ú), Á¦100ȸ ¾î¸°À̳¯ ¿ÁÁ¶±ÙÁ¤ÈÆÀå
À̺´ÈÆ¡¤½ÉÀç¾Ó ±³¼öÆÀ(±æº´¿ø Á¤Çü¿Ü°ú), ´ëÇѰñÀýÇÐȸ ¿ÃÇØ ¿ì¼ö ±¸¿¬»ó
³²°¡Àº ±³¼ö(°í´ë±¸·Îº´¿ø °¡Á¤ÀÇÇаú), Çѱ¹¿©ÀÚÀÇ»çȸ Á¦4ȸ ÀþÀºÀÇÇÐÀÚ Çмú»ó
±¹¸³Áß¾ÓÀÇ·á¿ø Áß¾ÓÀÀ±ÞÀÇ·á¼¾ÅÍÀå ±è¼ºÁß(Á¶¼±´ëº´¿ø ÀÀ±ÞÀÇÇаú ±³¼ö)
ÃÖÁ¤¿õ ¿µ°æÀÇ·áÀç´Ü ÀüÁÖº´¿ø ÀÌ»çÀå, ¾Æµ¿º¸È£»ç¾÷ ±â±Ý 4000¸¸¿ø
±è¿µÁÖ ±³¼ö(ÀÌ´ë¸ñµ¿º´¿ø »êºÎÀΰú), Á¦13ȸ Çѵ¶¿©ÀÇ»çÇмú´ë»ó
¹ÚÂùÈì ±³¼ö(ÇѸ²´ëÃáõ¼º½Éº´¿ø À̺ñÀÎÈİú), ´ëÇÑÀ̺ñÀÎÈİúÇÐȸ Çмú»ó
Á¶¼öÁø ±³¼ö(ÇѸ²´ëµ¿Åº¼º½Éº´¿ø ½Å°æ°ú), Á¦26ȸ JWÁß¿ÜÇмú´ë»ó
¼­Á¤°Ç ¿¬¼¼¼­³»°ú ¿øÀå ÀåÀλó