2025³â12¿ù09ÀÏtue
·Î±×ÀÎ | ȸ¿ø°¡ÀÔ
OFF
Æ®À§ÅÍ·Î º¸³»±â ½ÎÀÌ¿ùµå °ø°¨
±â»ç±ÛÈ®´ë ±â»ç±ÛÃà¼Ò ±â»ç½ºÅ©·¦ À̸ÞÀϹ®ÀÇ ÇÁ¸°Æ®Çϱâ
Àα׷¡µð¾ðÆ®, 'AI ¹Ù¿ìó Áö¿ø»ç¾÷' ´ë»ó±â¾÷ ¼±Á¤
[ 2022³â 03¿ù 11ÀÏ 18½Ã 19ºÐ ]
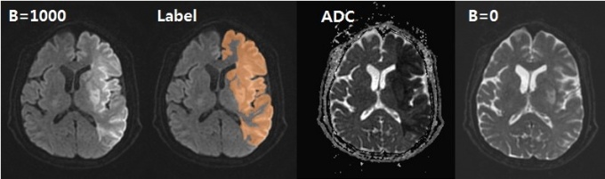
[µ¥Àϸ®¸Þµð ±¸±³À± ±âÀÚ] ÀÇ·á ÀΰøÁö´É(AI) ½ºÅ¸Æ®¾÷ Àα׷¡µð¾ðÆ®(´ëÇ¥ ÀÌÁØÈ£)°¡ '2022³â AI ¹Ù¿ìó Áö¿ø»ç¾÷' °úÁ¦¿¡ ÃÖÁ¾ ¼±Á¤µÅ °ø±Þ±â¾÷À¸·Î Âü¿©ÇÑ´Ù.
 
Àα׷¡µð¾ðÆ®´Â ´ë±¸°¡Å縯´ëÀÇ·á¿ø ºòµ¥ÀÌÅÍ ÀΰøÁö´É¼¾ÅÍ À±¼º¿ø ±³¼öÆÀ°ú ÇÔ²² '±Þ¼º ³úÁ¹Áß º´º¯ ÀÚµ¿ ŽÁö¿Í ºÐȹȭ¸¦ À§ÇÑ È®»ê°­Á¶ ³ú MRI µ¥ÀÌÅͼ Á¦ÀÛ ¹× ÀΰøÁö´É °³¹ß' °úÁ¦¸¦ ¼öÇàÇÑ´Ù.
 
À̹ø °úÁ¦·Î ±Þ¼º ³úÁ¹Áß¿¡ ´ëÇÑ µö·¯´× ±â¼ú Àû¿ë ¹× ¿µ»óÀÇÇÐÀû ÆÇµ¶À» º¸Á¶ÇÒ ¼ö ÀÖ´Â ¼Ö·ç¼ÇÀ» °³¹ßÇÒ ¿¹Á¤ÀÌ´Ù.
 
ƯÈ÷ °³¹ßÇÑ ¼Ö·ç¼ÇÀº ±Þ¼º³úÁ¹Áß º´º¯ À¯¹«·¹üÀ§·ºÎÇÇ·Å©±â È®Àΰú ÆÇµ¶ ¾÷¹« ¼Óµµ ÁõÁø, Áø·á ¼º°ø·üÀ» ³ôÀ̴µ¥ ±â¿©ÇÒ °ÍÀ¸·Î ±â´ëÇϰí ÀÖ´Ù.
 
ÀÌÁØÈ£ ´ëÇ¥´Â “À̹ø AI ¹Ù¿ìó Áö¿ø»ç¾÷ °øµ¿¿¬±¸¸¦ ¼º°øÀûÀ¸·Î ¼öÇàÇØ ³úÁúȯ °ü·Ã ÀÇ·á ºñ¿ë Àý°¨Àº ¹°·Ð ´õ¿í ¸¹Àº ±Þ¼º ³úÁ¹Áß Á¶±â Áø´Ü »ç·Ê¸¦ Àâ¾Æ³»´Â AI °³¹ß Ãʼ®À» ´ÙÁú °èȹ”À̶ó°í ¸»Çß´Ù.
yun@dailymedi.com
À̱âÀÚÀÇ ´Ù¸¥´º½ºº¸±â
¹«ÅëÀåÀÔ±Ý Á¤º¸ÀÔ·Â ÀÔ±ÝÀÚ¸í ÀԱݿ¹Á¤ÀÏÀÚ
(ÀÔ±ÝÇÏ½Ç ÀÔ±ÝÀÚ¸í + ÀԱݿ¹Á¤ÀÏÀÚ¸¦ ÀÔ·ÂÇϼ¼¿ä)
[°ü·Ã´º½º]
- °ü·Ã´º½º°¡ ¾ø½À´Ï´Ù.
Æ®À§ÅÍ·Î º¸³»±â ½ÎÀÌ¿ùµå °ø°¨
±â»ç±ÛÈ®´ë ±â»ç±ÛÃà¼Ò ±â»ç½ºÅ©·¦ À̸ÞÀϹ®ÀÇ ÇÁ¸°Æ®Çϱâ
¸íÁöº´¿ø, ͺ À̰ÇÈñ ȸÀå ÁÖÄ¡ÀÇ À̰­¿ì ±³¼ö(»ï¼º¼­¿ïº´¿ø ÀçȰÀÇÇаú) ¿µÀÔ
´ëÀü¼º¸ðº´¿ø ±èµ¿±â¡¤À̵¿Ã¢ ±³¼ö, ´ëÇÑÀ̺ñÀÎÈİúÇÐȸ ÃÖ¿ì¼ö ±¸¿¬»ó¡¤ÃÖ¿ì¼ö Æ÷½ºÅÍ»ó
Á¶Àç¿ì ±³¼ö(°í´ë±¸·Îº´¿ø Á¤Çü¿Ü°ú), ´ëÇѰñÀýÇÐȸ ÃÖ´Ù³í¹®»ó
´ëÇÑÀÇ»çÇùȸ ºÎȸÀå ¹éÇö¿í¡¤Àǹ«ÀÌ»ç ¿Àµ¿È£¡¤Á¤º¸Åë½ÅÀÌ»ç À¯¼Ò¿µèâ
Çѱ¹Á¦¾à¹ÙÀÌ¿ÀÇùȸ ÀǾàǰ±¤°í½ÉÀÇÀ§¿øÈ¸ À§¿øÀå ±è¼ºÁø¡¤ºÎÀ§¿øÀå ÀÌÁØÈñ¡¤ÀåÃá°ï èâ
¹è±â¼ö ±³¼ö(¾ÆÁִ뺴¿ø ¼Ò¾ÆÃ»¼Ò³â°ú), Á¦100ȸ ¾î¸°À̳¯ ¿ÁÁ¶±ÙÁ¤ÈÆÀå
À̺´ÈÆ¡¤½ÉÀç¾Ó ±³¼öÆÀ(±æº´¿ø Á¤Çü¿Ü°ú), ´ëÇѰñÀýÇÐȸ ¿ÃÇØ ¿ì¼ö ±¸¿¬»ó
³²°¡Àº ±³¼ö(°í´ë±¸·Îº´¿ø °¡Á¤ÀÇÇаú), Çѱ¹¿©ÀÚÀÇ»çȸ Á¦4ȸ ÀþÀºÀÇÇÐÀÚ Çмú»ó
±¹¸³Áß¾ÓÀÇ·á¿ø Áß¾ÓÀÀ±ÞÀÇ·á¼¾ÅÍÀå ±è¼ºÁß(Á¶¼±´ëº´¿ø ÀÀ±ÞÀÇÇаú ±³¼ö)
ÃÖÁ¤¿õ ¿µ°æÀÇ·áÀç´Ü ÀüÁÖº´¿ø ÀÌ»çÀå, ¾Æµ¿º¸È£»ç¾÷ ±â±Ý 4000¸¸¿ø
±è¿µÁÖ ±³¼ö(ÀÌ´ë¸ñµ¿º´¿ø »êºÎÀΰú), Á¦13ȸ Çѵ¶¿©ÀÇ»çÇмú´ë»ó
¹ÚÂùÈì ±³¼ö(ÇѸ²´ëÃáõ¼º½Éº´¿ø À̺ñÀÎÈİú), ´ëÇÑÀ̺ñÀÎÈİúÇÐȸ Çмú»ó
Á¶¼öÁø ±³¼ö(ÇѸ²´ëµ¿Åº¼º½Éº´¿ø ½Å°æ°ú), Á¦26ȸ JWÁß¿ÜÇмú´ë»ó
¼­Á¤°Ç ¿¬¼¼¼­³»°ú ¿øÀå ÀåÀλó