2025³â12¿ù26ÀÏfri
·Î±×ÀÎ | ȸ¿ø°¡ÀÔ
OFF
´º½ºÈ¨ > ´º½º

Äڷγª19 ÇØ¿ÜÀ¯ÀÔ 'Áõ°¡'¡¤¡¤¡¤»çȸÀû °Å¸®µÎ±â 2ÁÖ '¿¬Àå'

[µ¥Àϸ®¸Þµð ¹Ú¹Î½Ä ±âÀÚ] Á¤ºÎ°¡ 4ÀÏ Äڷγª19·Î ÀÎÇÑ »çȸÀû °Å¸®µÎ±â ±â°£À» 2ÁÖ ¿¬ÀåÇÑ´Ù°í ¹ßÇ¥Çß´Ù. ÇØ¿ÜÀ¯ÀÔ »ç·Ê¸¦ Áß2020-04-06 05:41:16

¶ó½Ä µî ½Ã·Â±³Á¤¼ú û±¸ ÀÚ°ÝÁ¤Áö ÀÇ»ç, º¹ÁöºÎ¿¡ '½Â(ã­)'

[µ¥Àϸ®¸Þµð ¹ÚÁ¤¿¬ ±âÀÚ] ¶ó½Ä·¶ó¼½ µî ½Ã·Â±³Á¤¼ú¿¡ ¼ö¹ÝµÇ´Â ÁøÂû·á·°Ë»ç·á¿¡ ´ëÇÑ ¿ä¾ç±Þ¿©¸¦ û±¸Çß´Ù°¡ ÀÚ.2020-04-06 05:35:41

Á¦¾à»ç ±Þ¿© À¯ÇÑ>Á¾±Ù´ç>ÇѹÌ>±¤µ¿¡¤´ë¿õÁ¦¾à â÷

[µ¥Àϸ®¸Þµð ¾çº¸Çý ±âÀÚ] Áö³­ÇØ Á÷¿ø 1ÀÎ Æò±Õ ±Þ¿©(±Þ¿© ÃѾ×/ÀçÁ÷ Àοø ¼ö)°¡ °¡Àå ¸¹Àº Á¦¾à»ç´Â 'À¯ÇѾçÇà'À̾ú´Ù. ±×»Ó .2020-04-06 05:29:30

Äڷγª19 À¯Åº, ÀÇ»ç ¿¬¼öÆòÁ¡ °ü¸® '»¡°£ºÒ'

[µ¥Àϸ®¸Þµð ¹Ú´ëÁø ±âÀÚ] Äڷγª19 ¿©ÆÄ·Î ÀÇÇаè ÇмúÇà»çµéÀÌ ÀÕµû¶ó Ãë¼ÒµÇ¸é¼­ ÀÇ»çµéÀÇ ¿¬¼öÆòÁ¡ °ü¸®¿¡µµ »¡°£ºÒÀÌ ÄÑÁ³.2020-04-06 05:22:12

ÀÕ´Ü º´¿ø ÀÇ·áÁø Äڷγª19 °¨¿°¡¤¡¤¡¤Æ¯´ÜÁ¶Ä¡ ¸¶·Ã

[µ¥Àϸ®¸Þµð ¾çº¸Çý ±âÀÚ] ÀÇÁ¤ºÎ¼º¸ðº´¿øÀ» ºñ·ÔÇØ ¼­¿ï¾Æ»êº´¿ø µî ´ëÇüº´¿ø¿¡¼­ÀÇ °¨¿°ÀÚ ¹ß»ý°ú ÇÔ²² Àü±¹ ¿ä¾çº´¿ø¿¡¼­ ÄÚ.2020-04-05 19:20:20

ÀÇÁ¤ºÎ¼º¸ðº´¿ø, Æó¼â ¿¬À塤¡¤¡¤¼­¿ï¾Æ»êº´¿ø, Á¤»ó ¿î¿µ

[µ¥Àϸ®¸Þµð ÇÑÇØÁø·¹ÚÁ¤¿¬ ±âÀÚ] ÀÇÁ¤ºÎ¼º¸ðº´¿ø °ü·Ã Äڷγª19 È®ÁøÀÚ°¡ Áõ°¡Çϸ鼭 º´¿ø Æó¼â Á¶Ä¡°¡ ¿¬ÀåµÉ Àü¸ÁÀÌ´Ù2020-04-05 18:14:32

¼­¿ï´ëº´¿ø "ºÒ¾ÈÁ¤ÇÑ Ç÷¾Ð, Ä¡¸Å À§Çè ³ô¿©"

[µ¥Àϸ®¸Þµð ¹Ú´ëÁø ±âÀÚ] Ç÷¾ÐÀÌ ºÒ¾ÈÁ¤ÇÒ¼ö·Ï Ä¡¸Å À§ÇèÀÌ ³ô´Ù´Â ¿¬±¸°á°ú°¡ ¹ßÇ¥µÆ´Ù. Ç÷¾ÐÀ» ³·Ãß´Â °Í »Ó¸¸ ¾Æ´Ï¶ó Ç÷¾ÐÀ»2020-04-05 17:27:48

Äڷγª19 »ç¸ÁÀÚ ÃÑ 185¸í¡¤Ä¡¸í·ü 1.79%¡¤¡¤¡¤ÁßÁõ ÀÌ»ó 81¸í

[µ¥Àϸ®¸Þµð ¾çº¸Çý ±âÀÚ] ´ë±¸¿¡¼­ Äڷγª19 »ç¸ÁÀÚ°¡ 2¸í ´õ ³ª¿Ô´Ù. ÀÌ·Î½á ±¹³» »ç¸ÁÀÚ´Â 185¸í, ´ë±¸´Â 125¸íÀ¸·Î Áý°èµÆ´Ù2020-04-05 17:09:47

°í´ëÀÇ·á¿ø, »ýȰġ·á¼¾ÅÍ ÀÔ¼ÒÀÚ ½ºÆ®·¹½º °ü¸®

[µ¥Àϸ®¸Þµð ¹Ú´ëÁø ±âÀÚ] °í·Á´ëÇб³ÀÇ·á¿ø(Àǹ«ºÎÃÑÀå °â ÀÇ·á¿øÀå ±è¿µÈÆ)Àº ÃÖ±Ù °æ±â±¹Á¦2 »ýȰġ·á¼¾ÅÍ ÀÔ¼ÒÀÚ¸¦ À§ÇÑ ½º2020-04-05 16:46:56

ÀϺ» Äڷγª19 ÀÇ·áÁø °¨¿° ½É°¢¡¤¡¤¡¤Àü±¹ ÃÖ¼Ò 153¸í

(µµÄì=¿¬ÇÕ´º½º) ¹Ú¼¼Áø ƯÆÄ¿ø = ½ÅÁ¾ Äڷγª¹ÙÀÌ·¯½º °¨¿°Áõ(Äڷγª19) È®ÁøÀÚ°¡ °è¼Ó ´Ã°í ÀÖ´Â ÀϺ»¿¡¼­µµ ÀÇ·áÁøÀÇ °¨¿°ÀÌ 2020-04-05 16:35:57

ÈÄµÎ½Å°æ ¼Õ»ó ¾ø´Â Èä°­°æ ½Å°³³ä Æó¾Ï¼ö¼ú ÁÖ¸ñ

[µ¥Àϸ®¸Þµð ¹Ú´ëÁø ±âÀÚ] ¼­¿ïƯº°½Ã º¸¶ó¸Åº´¿ø ÀÇ·áÁøÀÌ Èä°­°æ Æó¾Ï¼ö¼ú Áß Áö¼ÓÀû ½Å°æ¸ð´ÏÅ͸µÀ» ÅëÇØ ÈĵνŰæÀ» º¸Á¸ÇÏ.2020-04-05 16:07:46

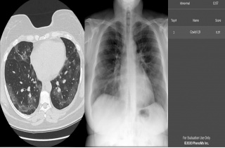
±¹»ê Äڷγª ÀΰøÁö´É(AI) Áø´Ü ¼­ºñ½º, Ú¸ ÁøÃâ

[»çÁø¼³¸í : ÀΰøÁö´ÉÀÌ ÆóCT ¹× X-RAY ¿µ»óÀ» ÅëÇØ ½ÅÁ¾ Äڷγª¹ÙÀÌ·¯½º ħ¹ü ¼öÄ¡¸¦ Á¦½ÃÇÑ °á°ú] [µ¥Àϸ®¸Þµð ÀÓ¼ö¹Î ±âÀÚ]2020-04-05 13:51:28

¿¤·¯°£ °¡½¿º¸Çü¹° ÇÇÇØ Çѱ¹ÀÎ 25¸í, Ú¸ ¼Õ¹è¼Ò¼Û

[µ¥Àϸ®¸Þµð ¹ÚÁ¤¿¬ ±âÀÚ] À¯¹æ¾Ï Ä¡·á¸ñÀûÀ¸·Î ¹Ì±¹ ¿¤·¯°£»çÀÇ º¸Çü¹°À» »ðÀÔÇß´Ù°¡ °¡½¿ºÎÀ§ ÅëÁõ µîÀ» È£¼ÒÇϴ ȯÀÚµéÀÌ ¹Ì2020-04-05 12:49:54

¹ÎÁÖ´ç-º¸°ÇÀÇ·á´Üüúð, º¸°ÇÀÇ·áÀη Áö¿ø 'Çù¾à'

[µ¥Àϸ®¸Þµð ¹Ú¹Î½Ä ±âÀÚ] ´õºÒ¾î¹ÎÁÖ´ç°ú º¸°ÇÀÇ·á´ÜüÇùÀÇȸ°¡ ÃÖ±Ù Á¦21´ë ÃѼ±À» ¾ÕµÎ°í Á¤Ã¥Çù¾àÀ» ü°á, Äڷγª19 ±Øº¹°ú2020-04-05 12:43:19

ÀÇ·áºÀ»ç ¾Æ´Ñ ÇØ¿Ü¿©Çà ÈÄ Äڷγª19 °¨¿° ÇÑÀÇ¿ø Á÷¿ø

°æ±âµµ ÆòÅà ¼ÒÀç Ù»ÇÑÀÇ¿ø¿¡¼­ ‘´ë±¸·Î ÀÇ·áºÀ»ç¸¦ °£´Ù’°í ÈÞÁø ¾È³» ÈÄ ´Üü·Î ÇØ¿Ü¿©ÇàÀ» ´Ù³à¿Ô´ø »ç½ÇÀÌ ¾Ë·Á2020-04-05 12:33:29

°Çº¸°ø´Ü, ¿ä¾çº´¿ø °¨¿°°ü¸®½Ã½ºÅÛ ±¸Ãà

[µ¥Àϸ®¸Þµð ÇÑÇØÁø ±âÀÚ] ±¹¹Î°Ç°­º¸Çè°ø´Ü(ÀÌ»çÀå ±è¿ëÀÍ)Àº Äڷγª19 È®»ê ¹æÁö¸¦ À§ÇØ ¿ä¾çº´¿øÀÌ Áؼö»çÇ×À» Àü»êÀ¸·Î °ü¸®2020-04-05 11:40:24

JWÁß¿ÜÁ¦¾à, °Ç±â½Ä ¡®¾×Ƽºê¶óÀÌÇÁ ´«°Ç°­¡¯ Ãâ½Ã

[µ¥Àϸ®¸Þµð ¾çº¸Çý ±âÀÚ] JWÁß¿ÜÁ¦¾àÀº ÃÖ±Ù ³ë¾È ¿¹¹æ°ú ´« ¿µ¾ç°ø±Þ¿¡ µµ¿òÀ» ÁÖ´Â ‘¾×Ƽºê¶óÀÌÇÁ ´«°Ç°­’À» Ãâ.2020-04-05 11:29:00

ÀÇÁ¤ºÎ¼º¸ðº´¿ø ÀÇ·áÁø °¨¿°¡¤¼­¿ï¾Æ»êº´¿øµµ Ãß°¡ È®Áø

[µ¥Àϸ®¸Þµð ÇÑÇØÁø ±âÀÚ] ¹ã »çÀÌ ÀÇÁ¤ºÎ¼º¸ðº´¿ø°ú ¼­¿ï¾Æ»êº´¿ø¿¡¼­ Ãß°¡·Î Äڷγª19 È®ÁøÀÚ°¡ ¹ß»ýÇϸ鼭 º´¿ø ³» °¨¿° ¿ì·Á2020-04-05 11:17:10

¡°Àü³² ÇÑÀü°ø´ëº¸´Ù ÀüºÏ °ø°øÀÇ´ë ¼³¸³ ¿ì¼±¡± Ã˱¸

[µ¥Àϸ®¸Þµð °íÀç¿ì ±âÀÚ] ÃÖ±Ù ¹Î»ý´çÀ¸·Î Å»´çÇÏ°í ¹«¼Ò¼ÓÀ¸·Î Àç¼±À» ³ë¸®´Â ±è±¤¼ö ÀÇ¿øÀÌ ‘ÇÑÀü°ø´ë’ ¼³¸³º¸´Ù2020-04-05 10:55:01

Äڷγª19 °¨¿° 81¸í Ãß°¡ ¹ß»ý ÃÑ 1¸¸237¸í

[µ¥Àϸ®¸Þµð ¾çº¸Çý ±âÀÚ] ±¹³» Äڷγª19 È®ÁøÀÚ ¼ö°¡ µÎÀÚ¸´¼ö¿¡ ¸Ó¹°·¶´Ù. ½Å±Ô È®ÁøÀÚ´Â ¼­¿ï ¹× °æ±â¿¡ ÁýÁߵŠÀÖ¾ú°í, ÇØ2020-04-05 10:46:02

ÀüºÏ´ëº´¿ø¼­ 50´ë¿©¼º Àå±â±âÁõ ÈÄ ¿µ¸é

[µ¥Àϸ®¸Þµð ¹é¼ºÁÖ ±âÀÚ] ºÒÀÇÀÇ ±³Åë»ç°í·Î ³ú»çÆÇÁ¤À» ¹ÞÀº 50´ë ¿©¼ºÀÌ Àå±â±âÁõÀ» ÅëÇØ 4¸íÀÇ ¼þ°íÇÑ ¸ñ¼ûÀ» »ì¸®°í ¿µ¸é.2020-04-05 09:36:10

Á߾ӹ濪´ëÃ¥º»ºÎ, Äڷγª19 °íÀ§Ç豺 'Èí¿¬ÀÚ' Ãß°¡

[µ¥Àϸ®¸Þµð ¹é¼ºÁÖ ±âÀÚ] ½ÅÁ¾ Äڷγª¹ÙÀÌ·¯½º °¨¿°Áõ(Äڷγª19) °íÀ§Ç豺¿¡ Èí¿¬ÀÚ°¡ Ãß°¡µÅ °í·ÉÀÚ³ª ±âÀúÁúȯÀÚ¿Í °°Àº ¼öÁØ2020-04-05 07:18:32

¼­¿ï¾Æ»êº´¿ø, Äڷγª19 µÎ¹øÂ° È®ÁøÀÚ ¹ß»ý

[µ¥Àϸ®¸Þµð ¹ÚÁ¤¿¬ ±âÀÚ] ±¹³» ÃÖ´ë ±Ô¸ð ¼­¿ï¾Æ»êº´¿ø¿¡¼­ 4ÀÏ Äڷγª19 È®ÁøÀÚ 1¸íÀÌ Ãß°¡·Î ¹ß»ýÇß´Ù. óÀ½ È®Áø ÆÇÁ¤À» ¹Þ.2020-04-04 23:34:46

ïÙ "ÀÏÀÏ È®ÁøÀÚ 50¸í ÀÌÇϸé Çö ÀÇ·áü°è¼­ °¨´ç"

[µ¥Àϸ®¸Þµð °íÀç¿ì ±âÀÚ] Á¤ºÎ°¡ ÀÏÀÏ Äڷγª19 ½Å±Ô È®ÁøÀÚ°¡ 50¸í ÀÌÇÏÀÏ ¶§ ¿ì¸®³ª¶ó ÀÇ·áü°è·Î ÃæºÐÈ÷ °¨´çÇÒ ¼ö ÀÖÀ» ¼ö2020-04-04 19:21:33

Ùþ ´ëÅë·É "ÀÇ·áÁø ù Èñ»ý, ¾Ö¼®ÇÏ°í ºñÅëÇÑ ¸¶À½"

[µ¥Àϸ®¸Þµð °íÀç¿ì ±âÀÚ] ¹®ÀçÀÎ ´ëÅë·ÉÀº 4ÀÏ “Äڷγª19 ȯÀÚ¸¦ Áø·áÇÏ´Ù °¨¿°µÈ ¿ì¸® ÀÇ·áÁøÀÌ Ã³À½À¸·Î Èñ»ýµÇ´Â ¸Å.2020-04-04 16:13:10

..[951][952][953][954][955][956][957][958][959][960]..
¸íÁöº´¿ø, ͺ À̰ÇÈñ ȸÀå ÁÖÄ¡ÀÇ À̰­¿ì ±³¼ö(»ï¼º¼­¿ïº´¿ø ÀçȰÀÇÇаú) ¿µÀÔ
´ëÀü¼º¸ðº´¿ø ±èµ¿±â¡¤À̵¿Ã¢ ±³¼ö, ´ëÇÑÀ̺ñÀÎÈİúÇÐȸ ÃÖ¿ì¼ö ±¸¿¬»ó¡¤ÃÖ¿ì¼ö Æ÷½ºÅÍ»ó
Á¶Àç¿ì ±³¼ö(°í´ë±¸·Îº´¿ø Á¤Çü¿Ü°ú), ´ëÇѰñÀýÇÐȸ ÃÖ´Ù³í¹®»ó
´ëÇÑÀÇ»çÇùȸ ºÎȸÀå ¹éÇö¿í¡¤Àǹ«ÀÌ»ç ¿Àµ¿È£¡¤Á¤º¸Åë½ÅÀÌ»ç À¯¼Ò¿µèâ
Çѱ¹Á¦¾à¹ÙÀÌ¿ÀÇùȸ ÀǾàǰ±¤°í½ÉÀÇÀ§¿øÈ¸ À§¿øÀå ±è¼ºÁø¡¤ºÎÀ§¿øÀå ÀÌÁØÈñ¡¤ÀåÃá°ï èâ
¹è±â¼ö ±³¼ö(¾ÆÁִ뺴¿ø ¼Ò¾ÆÃ»¼Ò³â°ú), Á¦100ȸ ¾î¸°À̳¯ ¿ÁÁ¶±ÙÁ¤ÈÆÀå
À̺´ÈÆ¡¤½ÉÀç¾Ó ±³¼öÆÀ(±æº´¿ø Á¤Çü¿Ü°ú), ´ëÇѰñÀýÇÐȸ ¿ÃÇØ ¿ì¼ö ±¸¿¬»ó
³²°¡Àº ±³¼ö(°í´ë±¸·Îº´¿ø °¡Á¤ÀÇÇаú), Çѱ¹¿©ÀÚÀÇ»çȸ Á¦4ȸ ÀþÀºÀÇÇÐÀÚ Çмú»ó
±¹¸³Áß¾ÓÀÇ·á¿ø Áß¾ÓÀÀ±ÞÀÇ·á¼¾ÅÍÀå ±è¼ºÁß(Á¶¼±´ëº´¿ø ÀÀ±ÞÀÇÇаú ±³¼ö)
ÃÖÁ¤¿õ ¿µ°æÀÇ·áÀç´Ü ÀüÁÖº´¿ø ÀÌ»çÀå, ¾Æµ¿º¸È£»ç¾÷ ±â±Ý 4000¸¸¿ø
±è¿µÁÖ ±³¼ö(ÀÌ´ë¸ñµ¿º´¿ø »êºÎÀΰú), Á¦13ȸ Çѵ¶¿©ÀÇ»çÇмú´ë»ó
¹ÚÂùÈì ±³¼ö(ÇѸ²´ëÃáõ¼º½Éº´¿ø À̺ñÀÎÈİú), ´ëÇÑÀ̺ñÀÎÈİúÇÐȸ Çмú»ó
Á¶¼öÁø ±³¼ö(ÇѸ²´ëµ¿Åº¼º½Éº´¿ø ½Å°æ°ú), Á¦26ȸ JWÁß¿ÜÇмú´ë»ó
¼­Á¤°Ç ¿¬¼¼¼­³»°ú ¿øÀå ÀåÀλó