2026³â01¿ù16ÀÏfri
·Î±×ÀÎ | ȸ¿ø°¡ÀÔ
OFF
Æ®À§ÅÍ·Î º¸³»±â ½ÎÀÌ¿ùµå °ø°¨
±â»ç±ÛÈ®´ë ±â»ç±ÛÃà¼Ò ±â»ç½ºÅ©·¦ À̸ÞÀϹ®ÀÇ ÇÁ¸°Æ®Çϱâ
¡°ÀΰøÁö´É(AI), ÀÇ·á ºÐ¾ß ±â¼ú ¸®µù(Leading)¡±
ºä³ë ÀÌ¿¹ÇÏ ´ëÇ¥ "½ÃÀå ÀáÀç·Â ¹«ÇÑ´ë·Î ÀÇ»çµé¿¡ µµ¿òµÇ´Â ¼Ö·ç¼Ç °³¹ß ³ë·Â"
[ 2016³â 06¿ù 22ÀÏ 06½Ã 27ºÐ ]

¾ËÆÄ°í µîÀåÀº ¸Ö°Ô¸¸ ´À²¸Á³´ø ÀΰøÁö´ÉÀÌ Çö½Ç·Î ´Ù°¡¿À°í ÀÖ´Ù´Â »ç½ÇÀ» »õ»ï Àϱú¿öÁá´Ù. ƯÈ÷ ¹ÙµÏÀ» ³Ñ¾î »çȸ Àü¹ÝÀ» º¯È­½Ãų ±â¼úÀ̶ó´Â Á¡¿¡¼­ ÀΰøÁö´É¿¡ ´ëÇÑ ±â´ë¿Í ¿ì·Á°¡ ±³Â÷ÇÏ´Â »óȲÀÌ´Ù.
 

ÀΰøÁö´ÉÀÌ ¿µÇâÀ» ¹ÌÄ¥ ´ëÇ¥ÀûÀÎ ºÐ¾ß Áß Çϳª·Î´Â ÀÇ·á°¡ ²ÅÈ÷°í ÀÖ´Ù. ¸ÓÁö¾ÊÀº ¹Ì·¡¿¡´Â ÀΰøÁö´ÉÀÌ Àΰ£ Àǻ縦 ´ëüÇÒ °ÍÀ̶ó´Â Àü¸ÁÀÌ ³ª¿Ã Á¤µµ´Ù.
 

ÀÌ·± °¡¿îµ¥ IBM°ú ±¸±Û °°Àº ¼¼°èÀûÀÎ ±â¾÷µéÀº ÀÌ¹Ì ÀΰøÁö´É ±â¼úÀ» ÀÇ·á¿¡ Àû¿ë, ÀÌ ºÐ¾ßÀÇ ¼±µÎÁÖÀÚ·Î ³ª¼­°í ÀÖ´Ù.
 

¹Ý¸é ¿ì¸®³ª¶óÀÇ °æ¿ì ÀǷḦ ¶°³ª ÀΰøÁö´É ±â¼ú·Â ÀÚü°¡ ÁÖ¿ä ¼±Áø±¹º¸´Ù ¶³¾îÁø´Ù´Â ¿¬±¸°á°ú°¡ ³ª¿Â¹Ù ÀÖÀ¸¸ç Á¤ºÎ ¿ª½Ã ÃÖ±Ù¿¡¾ß ÀΰøÁö´É »ê¾÷ À°¼º Á¤Ã¥À» ³»³õÀº »óÅ´Ù.


±×·±µ¥ ¿ì¸®³ª¶óµµ ÀÌ ºÐ¾ß¿¡¼­ °¡´É¼ºÀ» º¼ ¼ö Àִ ±â¾÷ÀÌ ³ª¿Ô´Ù. À̹ÌÁö ÀÎ½Ä ±â¼úÀÇ ¿ùµåÄÅÀ̶ó°í ºÒ¸®´Â À̹ÌÁö³Ý(ImageNet) ´ëȸÀÇ classification ºÐ¾ß¿¡¼­ 5À§¸¦ Â÷ÁöÇÏ¸ç ±â¼ú·Âµµ ÀÎÁ¤¹Þ¾Ò´Ù.


µ¥Àϸ®¸Þµð¿Í ¸¸³­ ÀÌ¿¹ÇÏ ºä³ë ´ëÇ¥[»çÁø]´Â “µö·¯´× ±â¼úÀÇ °æ¿¬ÀåÀÎ À̹ÌÁö³Ý ´ëȸ¿¡¼­ Çѱ¹ÀÇ ÀÛÀº ½ºÅ¸Æ®¾÷ÀÌ ÀÌ °°Àº ¼º°ú¸¦ ³½ °ÍÀ» ÀÚ¶û½º·´°Ô »ý°¢ÇÑ´Ù”°í ¸»Çß´Ù.


ÀÌ¾î ±×´Â “ÀÇ·á °ü·Ã ÀΰøÁö´É ±â¼úÀ» ¸®µùÇÏ´Â ±â¾÷À¸·Î ¹ßµ¸¿òÇÏ°í ½Í´Ù”¸ç “±¹³»¸¦ ³Ñ¾î ¼¼°è·Î ³ª¾Æ°¥ ¼ö ÀÖµµ·Ï ³ë·ÂÇϰڴٔ°í ¹àÇû´Ù. ÀÌ ´ëÇ¥·ÎºÎÅÍ ¼º°øÀ» ²Þ²Ù´Â ½ºÅ¸Æ®¾÷ ±â¾÷À¸·Î¼­ÀÇ °¢¿À¸¦ µé¾ú´Ù. 




Q. ºä³ë´Â ¾î¶² ȸ»çÀΰ¡


“ºä³ë´Â 2015³â 1¿ù ¼³¸³ÇÑ ¸Ó½Å·¯´× ±â¹ÝÀÇ ÀÇ·á µ¥ÀÌÅÍ ºÐ¼® ½ºÅ¸Æ®¾÷ÀÌ´Ù. ¸Ó½Å·¯´×À̶õ ¿ë¾î°¡ »ý¼ÒÇÒÅÙµ¥ ÄÄÇ»ÅͰ¡ ¹æ´ëÇÑ ¾çÀÇ µ¥ÀÌÅ͸¦ ½º½º·Î ÇнÀÇÏ´Â °ÍÀ̶ó°í º¸¸é µÈ´Ù. ¾ËÆÄ°í·Î ÀÎÇØ ¸¹ÀÌ ¾Ë·ÁÁø µö·¯´×À» Æ÷ÇÔÇÏ´Â °³³äÀÌ´Ù. ¿ì¸®´Â À̸¦ ±â¹ÝÀ¸·Î ÀÇ·á µ¥ÀÌÅ͸¦ ºÐ¼®ÇØ Áø´Ü º¸Á¶ ¼Ö·ç¼ÇÀ» °³¹ßÇϰí ÀÖ´Ù.”


Q. ¿Ö ¸¹Àº »ê¾÷ Áß ÀÇ·á ºÐ¾ß¸¦ ¼±ÅÃÇß³ª


“»ç½Ç ¿ì¸®´Â ±â¼ú¸¸ °¡Áø ½ºÅ¸Æ®¾÷À̾ú´Ù. º¥Ã³Ä³ÇÇÅ»°ú Á¤ºÎÀÇ ÅõÀÚ¸¦ À̲ø¾î ³ÂÀ» ¶§µµ »ç¾÷ ¹æÇâÀº °áÁ¤ÇÏÁö ¸øÇß¾ú´Ù. ±×·¯´ø Áß ÀÇ·á ºÐ¾ß´Â µ¥ÀÌÅͰ¡ ¸¹ÀÌ ÃàÀûµÅ ÀÖÀ½¿¡µµ Ȱ¿ëÀÌ Àß ¾ÈµÇ°í ÀÖ´Ù´Â Á¡¿¡¼­ ¼±ÅÃÇÏ°Ô µÆ´Ù. °Ô´Ù°¡ ¿ì¸®ÀÇ ±â¼úÀÌ ÀÇ·á ¹ßÀü¿¡ µµ¿òÀÌ µÉ ¼ö ÀÖÀ» °ÍÀ̶ó´Â Àڽŵµ ÀÖ¾ú´Ù.”
 

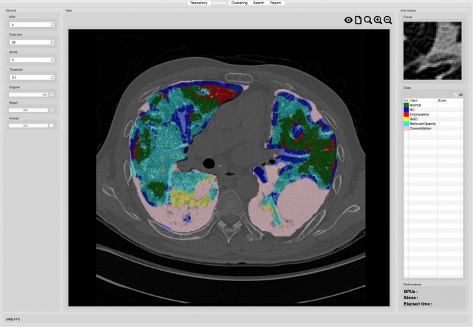
Q. ´ëÇ¥ÀûÀÎ ¼Ö·ç¼ÇÀº ¾î¶²°Ô ÀÖ³ª


“ȯÀÚÀÇ ¿µ»ó µ¥ÀÌÅÍ¿Í Áø´Ü µ¥ÀÌÅ͸¦ ¹ÙÅÁÀ¸·Î ÆóÁúȯ ¿©ºÎ¸¦ ºü¸£°í Á¤È®È÷ Áø´ÜÇÒ ¼ö ÀÖµµ·Ï µ½´Â ‘ºä³ë ¸Þµå’(ÆóÁúȯ ¿µ»ó À̹ÌÁö °Ë»ö ½Ã½ºÅÛ)°¡ ´ëÇ¥ÀûÀÌ´Ù. ÇöÀç´Â ¹Ì¸¸¼º °£Áú¼º ÆóÁúȯ(DILD)¸¸À» ´ë»óÀ¸·Î ¼­¿ï¾Æ»êº´¿ø ¿¬±¸ÆÀ°ú ÇÔ²² ÀÛ¾÷Çϰí ÀÖ´Ù. ¿ì¸®´Â À̹ÌÁö À¯»çµµ, ¿¬±¸ÆÀÀº ÀÇÇÐÀû À¯»çµµ¸¦ °ËÁõÇϰí ÀÖÀ¸¸ç ³»³â 3ºÐ±â±îÁö Çù¾÷ÀÌ À̾îÁú ¿¹Á¤ÀÌ´Ù. ÀÌÈÄ¿¡´Â Áúȯ ¹üÀ§¸¦ ´õ ³ÐÈú °èȹÀÌ´Ù”
 

“¿ì¸® ¼Ö·ç¼ÇÀÇ ÀåÁ¡Àº ÀÚü °³¹ß ¸Ó½Å·¯´× ¿£ÁøÀÎ ‘ºä³ë ³Ý’(Vuno Net)À» ÅëÇØ °³¹ßÇß´Ù´Â Á¡ÀÌ´Ù. ÀÚü °³¹ß ¿£ÁøÀ» »ç¿ëÇÑ ¸¸Å­ À¯¿¬ÇÏ°Ô ¹®Á¦¸¦ ÇØ°áÇÒ ¼ö ÀÖÀ» »Ó ¾Æ´Ï¶ó ¿ÀǼҽº ´ëºñ ¼Óµµ¸é¿¡¼­ ÀåÁ¡À» °®°í ÀÖ´Ù. ÃßÈÄ »ó¿ëÈ­ÇÒ ¶§µµ °í°´È­°¡ ½¬¿ï °ÍÀ̶ó°í »ý°¢ÇÑ´Ù.”


 

Q. ºä³ë ¸Þµå ¿Ü¿¡ ¶Ç ´Ù¸¥ ¼Ö·ç¼Çµµ ÀÖ³ª


“‘º» ¿¡ÀÌÁö’¶ó´Â ¼Ö·ç¼ÇÀÌ ÀÖ´Ù. ÀÌ ¼Ö·ç¼ÇÀº »ç¶÷ ¼ÕÀ» ÃÔ¿µÇÑ ¿¢½º·¹ÀÌ »çÁøÀ» ÅëÇØ ³ªÀ̸¦ ÆÇµ¶ÇÏ°í ¼ºÀå °¡´É¼ºÀ» ¿¹ÃøÇÏ´Â ¼Ö·ç¼ÇÀÌ´Ù. ÀÌ ¿ª½Ã ¸Ó½Å·¯´×ÀÌ ±â¹ÝÀ¸·Î °³¹ßµÅ ºü¸£°í Á¤È®ÇÑ Áø´ÜÀ» µ½´Â´Ù. ÇöÀç ¼­¿ï¾Æ»êº´¿ø¿¡¼­ »ç¿ëµÇ°í ÀÖÀ¸¸ç »ó¿ëÈ­µµ Áغñ ÁßÀÌ´Ù. ÇâÈÄ ¼ºÀåŬ¸®´Ð¿¡¼­ »ç¿ëµÉ ¼ö ÀÖÀ» °ÍÀ¸·Î ±â´ëÇϰí ÀÖ´Ù.”
 

Q. ºä³ëÀÇ ºñÀüÀº ¹«¾ùÀΰ¡


“ÀÇ·á °ü·Ã ÀΰøÁö´É ±â¼úÀº Àü¼¼°èÀûÀ¸·Îµµ ŵ¿±â¶ó°í º»´Ù. ½ÃÀåµµ ¾ÆÁ÷ ¿ÏÀüÇÏ°Ô ¿­¸®Áö ¾Ê¾Ò´Ù. ±×·³¿¡µµ ¼¼°èÀûÀÎ ±â¾÷µéÀÌ ¸ðµÎ ¶Ù¾îµé°í ÀÖ´Ù´Â Á¡Àº ¾öû³­ °¡Ä¡¸¦ Áö´Ñ ½ÃÀåÀ̶ó´Â È®½ÅÀ» ÁØ´Ù. ¿ì¸®°¡ ÀÌ ½ÃÀåÀ» ¸®µåÇÒ ¼ö ÀÖ´Â ±â¾÷ÀÌ µÉ ¼ö ÀÖµµ·Ï ´õ ³ë·ÂÇÒ °ÍÀÌ´Ù.”


“ÀÇ»çµé¿¡°Ô µµ¿òÀÌ µÇ´Â ¼Ö·ç¼ÇÀ» °³¹ßÇÏ°í ½Í´Ù. ÀÇ»çµéÀÌ º¸´Ù ºü¸£°í Á¤È®ÇÑ Áø´ÜÀ» ³»¸± ¼ö ÀÖ°Ô ÇϰíÀÚ ÇÑ´Ù. À̸¦ À§ÇØ »õ·Î¿î ¼Ö·ç¼ÇÀ» °³¹ßÇÏ´Â ÇÑÆí ±âÁ¸ ¼Ö·ç¼Çµµ Áö¼ÓÀûÀ¸·Î ¾÷±×·¹À̵å ÇϰڴÙ. ¶ÇÇÑ ÀÇ»çµéÀ» À§ÇÑ »ç¿ëÀÚ ÀÎÅÍÆäÀ̽º(UI), »ç¿ëÀÚ °æÇè(UX)À» Á¦°øÇϰڴÙ.”

À¯¿µ¹Î ±âÀÚ yym0488@dailymedi.com
À̱âÀÚÀÇ ´Ù¸¥´º½ºº¸±â
¹«ÅëÀåÀÔ±Ý Á¤º¸ÀÔ·Â ÀÔ±ÝÀÚ¸í ÀԱݿ¹Á¤ÀÏÀÚ
(ÀÔ±ÝÇÏ½Ç ÀÔ±ÝÀÚ¸í + ÀԱݿ¹Á¤ÀÏÀÚ¸¦ ÀÔ·ÂÇϼ¼¿ä)
[°ü·Ã´º½º]
"±¹³» º¥Ã³ ·Ñ ¸ðµ¨·Î ¿µ¼Ó(çµáÙ) ¸ñÇ¥"
Æ®À§ÅÍ·Î º¸³»±â ½ÎÀÌ¿ùµå °ø°¨
±â»ç±ÛÈ®´ë ±â»ç±ÛÃà¼Ò ±â»ç½ºÅ©·¦ À̸ÞÀϹ®ÀÇ ÇÁ¸°Æ®Çϱâ
¸íÁöº´¿ø, ͺ À̰ÇÈñ ȸÀå ÁÖÄ¡ÀÇ À̰­¿ì ±³¼ö(»ï¼º¼­¿ïº´¿ø ÀçȰÀÇÇаú) ¿µÀÔ
´ëÀü¼º¸ðº´¿ø ±èµ¿±â¡¤À̵¿Ã¢ ±³¼ö, ´ëÇÑÀ̺ñÀÎÈİúÇÐȸ ÃÖ¿ì¼ö ±¸¿¬»ó¡¤ÃÖ¿ì¼ö Æ÷½ºÅÍ»ó
Á¶Àç¿ì ±³¼ö(°í´ë±¸·Îº´¿ø Á¤Çü¿Ü°ú), ´ëÇѰñÀýÇÐȸ ÃÖ´Ù³í¹®»ó
´ëÇÑÀÇ»çÇùȸ ºÎȸÀå ¹éÇö¿í¡¤Àǹ«ÀÌ»ç ¿Àµ¿È£¡¤Á¤º¸Åë½ÅÀÌ»ç À¯¼Ò¿µèâ
Çѱ¹Á¦¾à¹ÙÀÌ¿ÀÇùȸ ÀǾàǰ±¤°í½ÉÀÇÀ§¿øÈ¸ À§¿øÀå ±è¼ºÁø¡¤ºÎÀ§¿øÀå ÀÌÁØÈñ¡¤ÀåÃá°ï èâ
¹è±â¼ö ±³¼ö(¾ÆÁִ뺴¿ø ¼Ò¾ÆÃ»¼Ò³â°ú), Á¦100ȸ ¾î¸°À̳¯ ¿ÁÁ¶±ÙÁ¤ÈÆÀå
À̺´ÈÆ¡¤½ÉÀç¾Ó ±³¼öÆÀ(±æº´¿ø Á¤Çü¿Ü°ú), ´ëÇѰñÀýÇÐȸ ¿ÃÇØ ¿ì¼ö ±¸¿¬»ó
³²°¡Àº ±³¼ö(°í´ë±¸·Îº´¿ø °¡Á¤ÀÇÇаú), Çѱ¹¿©ÀÚÀÇ»çȸ Á¦4ȸ ÀþÀºÀÇÇÐÀÚ Çмú»ó
±¹¸³Áß¾ÓÀÇ·á¿ø Áß¾ÓÀÀ±ÞÀÇ·á¼¾ÅÍÀå ±è¼ºÁß(Á¶¼±´ëº´¿ø ÀÀ±ÞÀÇÇаú ±³¼ö)
ÃÖÁ¤¿õ ¿µ°æÀÇ·áÀç´Ü ÀüÁÖº´¿ø ÀÌ»çÀå, ¾Æµ¿º¸È£»ç¾÷ ±â±Ý 4000¸¸¿ø
±è¿µÁÖ ±³¼ö(ÀÌ´ë¸ñµ¿º´¿ø »êºÎÀΰú), Á¦13ȸ Çѵ¶¿©ÀÇ»çÇмú´ë»ó
¹ÚÂùÈì ±³¼ö(ÇѸ²´ëÃáõ¼º½Éº´¿ø À̺ñÀÎÈİú), ´ëÇÑÀ̺ñÀÎÈİúÇÐȸ Çмú»ó
Á¶¼öÁø ±³¼ö(ÇѸ²´ëµ¿Åº¼º½Éº´¿ø ½Å°æ°ú), Á¦26ȸ JWÁß¿ÜÇмú´ë»ó
¼­Á¤°Ç ¿¬¼¼¼­³»°ú ¿øÀå ÀåÀλó