2026³â01¿ù10ÀÏsat
·Î±×ÀÎ | ȸ¿ø°¡ÀÔ
OFF
Æ®À§ÅÍ·Î º¸³»±â ½ÎÀÌ¿ùµå °ø°¨
±â»ç±ÛÈ®´ë ±â»ç±ÛÃà¼Ò ±â»ç½ºÅ©·¦ À̸ÞÀϹ®ÀÇ ÇÁ¸°Æ®Çϱâ
ÀÇ·áºòµ¥ÀÌÅÍ ±¸Ã¼Àû Ȱ¿ë ¼º°ø»ç·Ê ¡®³ú(Òà)Áöµµ¡¯
µ¿±¹´ë Àϻ꺴¿ø ³úMR¿µ»ó¼¾ÅÍ, ÀÚü°³¹ß SW ÅëÇØ º¯È¯¡¤È°¿ë °¡´É
[ 2017³â 11¿ù 01ÀÏ 05½Ã 15ºÐ ]
±¹³» ÀÇ·á ºÐ¾ß¿¡¼­µµ ‘ÀΰøÁö´É’À̳ª ‘ºòµ¥ÀÌÅÍ’ °°Àº Ű¿öµå°¡ ¾ð±ÞµÇ´Â ÀÏÀÌ ´Ã¾î³ª°í ÀÖÁö¸¸ Á¤ÀÛ ÀΰøÁö´ÉÀ» ÅëÇØ ÀÓ»óÀÇ»ç ¹× ¿¬±¸ÀÚµéÀÌ ±¸Ã¼ÀûÀ¸·Î ¾î¶² µµ¿òÀ» ¾ò°í ÀÖ´ÂÁö ã¾Æº¸±â¶õ ½±Áö ¾Ê´Ù.

ÀÇÇÐ Áö½ÄÀ» ÇнÀÇÑ ÀΰøÁö´ÉÀÌ Åº»ýÇϱâ À§Çؼ­´Â ¹Ù·Î ±× ÀΰøÁö´ÉÀÌ ¾Ë¾Æµè±â ½±µµ·Ï Á¤µ·µÈ Áö½ÄÀÇ ÁýÇÕü Áï ºòµ¥ÀÌÅͰ¡ ÇÊ¿äÇѵ¥, ÀÌ´Â ´Ü±â°£¿¡ ±¸ÃàµÇ´Â °ÍÀÌ ¾Æ´Ï±â ¶§¹®ÀÌ´Ù.
 
ÀÌ·± Á¡¿¡¼­ Çѱ¹ÀÎ ÇãÇ÷ ³úÁöµµ ÀÛ¼º¿¡ ¼º°øÇØ À̸§À» ¾Ë¸° ¹Ù ÀÖ´Â µ¿±¹´ë Àϻ꺴¿ø Çѱ¹ÀÎ ³úMR¿µ»ó µ¥ÀÌÅͼ¾ÅÍÀÇ ¼º°ú¿¡ ÁÖ¸ñÇÒ Çʿ䰡 ÀÖ´Ù.

³úMR¿µ»ó µ¥ÀÌÅͼ¾ÅÍÀåÀÎ ±èµ¿¾ï ±³¼ö ¿¬±¸ÆÀÀÌ ÀÚüÀûÀ¸·Î °³¹ßÇÑ ¼ÒÇÁÆ®¿þ¾î¸¦ ÅëÇØ ºòµ¥ÀÌÅ͸¦ ±¸ÃàÇϰí À̸¦ ÀΰøÁö´É¿¡°Ô ÇнÀ½ÃÄÑ ÀÇ·áÀε鿡°Ô µµ¿òÀ» ÁÙ ¼ö ÀÖ´Â ÀڷḦ ¸¸µé¾î ³½ º¸±â µå¹® »ç·Ê´Ù.
 
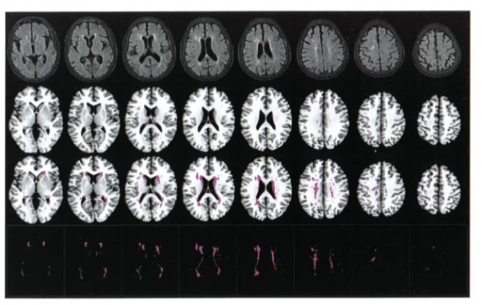
¼¾ÅͰ¡ ±¸ÃàÇÑ ‘³úÁöµµ’ÀÇ ¹ÙÅÁÀº MR¿µ»óÀÌ´Ù. ³ú Áúȯ ºÐ¼®Àº MR ÀÇÁ¸µµ°¡ Àý´ëÀûÀ¸·Î ³ô´Ù. À̹ÌÁö¸¦ º¸°í º´º¯ÀÇ Å©±â ¹× À§Ä¡¸¦ ºÐ¼®Çϰí À̸¦ ±âÁ¸ º´·Â µî ȯÀÚ Á¤º¸¿Í °áÇÕÇØ Áõ»óÀ» ÆÇ´ÜÇÏ°í ¿¹Èĸ¦ ÆÄ¾ÇÇÑ´Ù.
 
ÀÏÁ¤ÇÑ ºÐ¼® ¼öÁØ¿¡ µµ´ÞÇϱâ À§Çؼ­´Â ¼ö·Ã °úÁ¤À» °ÅÃÄ¾ß ÇÑ´Ù. ¿µ»óÀڷḦ Á¤·®ÀûÀ¸·Î ÇнÀÇÒ ¼ö ÀÖ°Ô ²û Á¤¸®ÇÏ¸é ¿¬±¸¿Í ±³À°¿¡ µµ¿òÀÌ µÉ ¼ö ÀÖ°Ú´Ù´Â °ÍÀÌ ±èµ¿¾ï ¼¾ÅÍÀåÀÇ ¾ÆÀ̵ð¾î¿´´Ù.




±èµ¿¾ï ¼¾ÅÍÀåÀº “óÀ½¿¡´Â ÀΰøÁö´ÉÀ» µµÀÔÇÒ »ý°¢ÀÌ ¾ø¾ú´Ù. ÀÇ´ë»ý°ú ¿¬±¸Àڵ鿡°Ô µµ¿òÀÌ µÇµµ·Ï MRµ¥ÀÌÅ͸¦ Á¤¸®ÇÏ´Â °ÍÀÌ ¸ñÇ¥¿´´Ù”¸ç “µ¥ÀÌÅ͸¦ Á¤Á¦ÇÏ°í ³ª´Ï ÀΰøÁö´ÉÀÌ ÇнÀÇϱ⠽¬¿î ÇüŰ¡ µÅ Àû¿ëÇϱ⿡ ÀÌ·¶´Ù”°í ¼³¸íÇß´Ù.
 
±è ¼¾ÅÍÀåÀº “MR¿µ»óÀ» Á¦°øÇÑ È¯ÀÚÀÇ ½Åü»çÇ×°ú º´·Â µî ÀÓ»óÀڷḦ ÇÔ²² ¸ðÀ¸±â À§ÇØ 700°³¿¡ ´ÞÇÏ´Â Ç׸ñÀ» ¸¸µé¾î µ¥ÀÌÅÍ¿¡ Ãß°¡Çϰí ÄÄÇ»ÅͰ¡ ÀνÄÇϱ⠽¬¿î À̹ÌÁö¸¦ ¼±Á¤ÇÏ´Â ÀÛ¾÷À» 5³â ÀÌ»ó ²ÙÁØÈ÷ Çß´Ù”°í ¹àÇû´Ù.
 
¿©±â¿¡´Â µ¥ÀÌÅÍÀÇ Á¤·®±¸ÃàÀ» À§ÇØ ¼¾ÅͰ¡ °³¹ßÇÑ ¼ÒÇÁÆ®¿þ¾î ‘Image_Q NA’°¡ »ç¿ëµÆ´Ù. Image_Q NA´Â ³úÁ¹Áß¿¡ °ü·ÃµÈ ³úº´º¯À» ÁÂÇ¥ °ø°£ À§¿¡ ºÐÇÒÇÑ´Ù. ¾Æ³¯·Î±× ¹æ½Ä¿¡¼­ ‘¿ÞÂÊ ¾îµðÂë’À̶ó°í ºÒ·¯¾ß Çß´ø º´º¯Àº ÀÌ °úÁ¤¿¡¼­ xÃà°ú yÃàÀÇ ÁÂÇ¥ °ªÀ» °¡Áø´Ù. ³ú ¼Ó º´º¯ À§Ä¡¿Í Å©±â µîÀÌ ºÐ¼® °¡´ÉÇÑ ¼öÄ¡·Î º¯È¯µÇ´Â ¼ÀÀÌ´Ù.
 
ÀÌ·¸°Ô Àç°¡°øµÈ µ¥ÀÌÅ͸¦ ÀÌ¿ëÇϸé MR¿µ»ó ¼Ò°ß°ú ÀÓ»ó ¼Ò°ßÀÌ °áÇÕµÈ »õ·Î¿î °¡¼³À» ¼ö¸³ÇÏ´Â ¿¬±¸°¡ °¡´ÉÇÏ´Ù. ÇöÀç±îÁö 11°³ ´ëÇк´¿øÀÇ 1¸¸5000¸í¿¡ À̸£´Â ȯÀÚ µ¥ÀÌÅͰ¡ µî·ÏµÅ ÀÖ´Ù.
 
±è ¼¾ÅÍÀåÀº “°ú°Å ¾Æ³¯·Î±×Àû ÀÛ¾÷À» ÇØ¾ß Çß´ø ³úÁúȯ ¿¬±¸¿¡ ¸î ¹é °Ç Á¤µµÀÇ µ¥ÀÌÅͰ¡ Ȱ¿ëµÆ´ø °ÍÀ» °í·ÁÇϸé Çõ½ÅÀûÀÎ º¯È­”¶ó°í ¼³¸íÇß´Ù. ½ÇÁ¦·Î ¼¾ÅÍ´Â ³úÁöµµ¸¦ ÅëÇØ ³úÁúȯÀ» °Þ´Â ȯÀÚµéÀÇ µî¼ö¸¦ ¸Å±â°í ÀÌ¿¡ µû¸¥ ¿¹ÈÄÀÇ Â÷ÀÌ¿¡ °üÇØ ¿¬±¸ÇÑ ³í¹®¿¡¼­ 5000¿© ¸í¿¡ ´ÞÇÏ´Â µ¥ÀÌÅ͸¦ Ȱ¿ëÇß´Ù. ÇØ´ç ³í¹®Àº Àú¸í ÇмúÁöÀÎ ‘Brain’¿¡ °ÔÀçµÆ´Ù.
 
±è ¼¾ÅÍÀå¿¡ µû¸£¸é º¯È¯µÈ µ¥ÀÌÅ͸¦ ÇнÀÇÑ ÀΰøÁö´ÉÀº ÀÌÁ¦ Àΰ£ ¸øÁö¾ÊÀº ½Ç·ÂÀ¸·Î º´º¯ÀÌ Á¸ÀçÇÏ´Â ¿µ»óÀ» ã¾Æ³»°í ¿À·ù¸¦ ¹ß°ßÇÑ´Ù. ¼¾ÅÍ´Â ÃÖ±Ù ¿øÇÏ´Â ÀÓ»óÀڷḦ ÀÔ·ÂÇÏ¸é ±×¿¡ ¸Â´Â MR¿µ»ó ¹× ±× Ư¡À» ºÐ¼®ÇØ ÁÖ´Â ¼ÒÇÁÆ®¿þ¾î¸¦ °³¹ßÇϰí ÀÖ´Ù. 
 
À̹ÌÁö¸¦ ºÐ¼®ÇØ Áø´Ü¿¡ µµ¿òÀ» ÁÖ´Â ÀΰøÁö´ÉÀÇ °¡Àå Å« ÀåÁ¡Àº ÀÌÀü¿¡´Â ¼Ò¼ö Àü¹®ÀǸ¸ÀÌ ÇÒ ¼ö ÀÖ¾ú´ø ÀÛ¾÷À» ´Ù¸¥ ÀÇ»çµéµµ °¡´ÉÇØÁ³´Ù´Â Á¡ÀÌ´Ù.

BMP ÅÛÇø´À» ÀÌ¿ëÇÑ ³úÇãÇ÷ º´º¯ µî·Ï ¿¹
 
±è ¼¾ÅÍÀåÀº “³ú°æ»ö ¿øÀÎ Áø´Ü¿¡ µû¶ó ³úÁ¹Áß ¿¹¹æ¾àÀÌ º¯È­ÇÑ´Ù. ½Å°æ°ú Àü¹®ÀÇ Áß¿¡¼­µµ ³úÁ¹ÁßÀ» Àü°øÇÑ ÀÇ»çµé Á¤µµ°¡ À̸¦ ºñ±³Àû Á¤È®È÷ ÆÇ´ÜÇÒ ¼ö ÀÖ´Ù. ±²ÀåÈ÷ Á¦ÇÑµÈ ÀηÂÀÎ ¼À”À̶ó¸ç “Á¤È®¼ºÀ» ³ôÀÎ Áø´Ü º¸Á¶ AI°¡ ÀÖ´Ù¸é Àü°øÀÌ ¾Æ´Ñ ÀÇ»çµéµµ ÆÇº°¿¡ µµ¿òÀ» ¾òÀ» ¼ö ÀÖ´Ù”°í ¼³¸íÇß´Ù.
 
±×´Â “À̸¦Å×¸é ½ÉÀüµµ¸¦ ÆÇµ¶ÇÏ´Â ÀÇ·á±â±â ÃâÇöÀ¸·Î, ´Ü¼øÇÑ »ç½Ç È®Àο¡µµ ÀÏÀÏÀÌ ½ÉÀå³»°ú ´çÁ÷ÀǸ¦ ã¾Æ´Ù´Ï´Â ¼ö°í¸¦ ÇÏÁö ¾Ê¾Æµµ µÇ´Â °Í°ú °°´Ù. Àü¹®ÀǵéÀº º¸Á¶ ÇÁ·Î±×·¥À» »ç¿ëÇØ ¿ÀÆÇ È®·üÀ» ÁÙÀÌ¸ç ¼Ò¸ðÀûÀÎ ÀÛ¾÷¿¡ ´ëÇÑ ºÎ´ãÀ» ´ú°í ÁßȯÀÚ¿¡ ÁýÁßÇÒ ¼ö ÀÖ°í, ³úÁúȯÀ» Àü°øÇÏÁö ¾ÊÀº ÀÇ»çµéÀÌ¶óµµ MR¿µ»ó¿¡ ´ëÇÑ ºÐ¼® Á¤º¸¸¦ ¾ò°í ´ÙÇÐÁ¦Àû Áø·á¸¦ ½ÇÇöÇÏ´Â ÀÏÀÌ °¡´ÉÇÏ´Ù”°í µ¡ºÙ¿´´Ù.
 
À¯·´¿¡¼­´Â »ó´ç¼öÀÇ ³úÁúȯ ȯÀÚ°¡ CT ÃÔ¿µ¸¸À» ÇÏ´Â ¹Ý¸é ±¹³»¿¡¼­´Â ³úÁ¹Áß È¯ÀÚÀÇ 90%°¡ MRI ÃÔ¿µÀ» ÇÒ Á¤µµ·Î ÇØ¿Üº¸´Ù Á¢±Ù¼ºÀÌ ³ô´Ù. ±×·¯³ª ¿¬±¸¸¦ À§Çؼ­´Â µ¥ÀÌÅ͸¦ Ç¥ÁØÈ­ÇØ¾ß ÇÏ´Â Å¿¿¡ ¼öÁý °úÁ¤¿¡¼­ºÎÅÍ ¸¹Àº ½Ã°£°ú ºñ¿ëÀÌ µé¾î°£´Ù. ±è ¼¾ÅÍÀå ¶ÇÇÑ Çѱ¹Ç¥ÁذúÇבּ¸¿øÀÇ ±¹°¡Ç¥ÁØÈ­ °úÁ¦ ¼öÇàÀ» ÅëÇÑ Àå±â°£ÀÇ ÀÛ¾÷ ³¡¿¡ Áö±ÝÀÇ ÇÙ½É µ¥ÀÌÅ͸¦ ¾òÀ» ¼ö ÀÖ¾ú´Ù.
 
±èµ¿¾ï ¼¾ÅÍÀåÀº “ÀΰøÁö´É°ú ºòµ¥ÀÌÅÍ ºÕÀÌ ÀϾ±â ÀüºÎÅÍ ²ÙÁØÈ÷ µ¥ÀÌÅ͸¦ ÃàÀûÇØ ¿Ô±â ¶§¹®¿¡ Áö±Ý¿¡ ¿Í¼­ È¿¿ëÀ» ¹ßÈÖÇÏ´Â °Í”À̶ó°í ¹àÇû´Ù.
 
ÀÌ¾î “³úÁöµµ ÀÛ¾÷Àº ½ÃÀÛ¿¡ ºÒ°úÇÏ´Ù. ¿¹ÈÄ, ¿¹Ãø Áöµµ³ª °Ç°­º¸Çè ½É»ç ½Ã °úÀ×Áø·á ÆÇ´Ü ¿©ºÎ, ȯÀÚ Àå¾Öµî±Þ ÆÇÁ¤ µî ´Ù¾çÇÑ ºÐ¾ß·Î µ¥ÀÌÅÍ È°¿ëÀ» È®Àå½Ãų ¼ö ÀÖÀ» °Í”À̶ó¸ç “µ¥ÀÌÅÍ °øÀ¯ ³×Æ®¿öÅ©°¡ °­·ÂÇØÁ® ´õ ¸¹Àº ¾²ÀÓ»õ°¡ ¹ß°ßµÆÀ¸¸é ÇÑ´Ù”°í µ¡ºÙ¿´´Ù.
ÇÑÇØÁø±âÀÚ hjhan@dailymedi.com
À̱âÀÚÀÇ ´Ù¸¥´º½ºº¸±â
¹«ÅëÀåÀÔ±Ý Á¤º¸ÀÔ·Â ÀÔ±ÝÀÚ¸í ÀԱݿ¹Á¤ÀÏÀÚ
(ÀÔ±ÝÇÏ½Ç ÀÔ±ÝÀÚ¸í + ÀԱݿ¹Á¤ÀÏÀÚ¸¦ ÀÔ·ÂÇϼ¼¿ä)
[°ü·Ã´º½º]
±¹³» ù ÀΰøÁö´É(AI) '³ú(Òà) ¿µ»óÁø´Ü' ÀÓ»ó½ÃÇè Çã°¡
Æ®À§ÅÍ·Î º¸³»±â ½ÎÀÌ¿ùµå °ø°¨
±â»ç±ÛÈ®´ë ±â»ç±ÛÃà¼Ò ±â»ç½ºÅ©·¦ À̸ÞÀϹ®ÀÇ ÇÁ¸°Æ®Çϱâ
¸íÁöº´¿ø, ͺ À̰ÇÈñ ȸÀå ÁÖÄ¡ÀÇ À̰­¿ì ±³¼ö(»ï¼º¼­¿ïº´¿ø ÀçȰÀÇÇаú) ¿µÀÔ
´ëÀü¼º¸ðº´¿ø ±èµ¿±â¡¤À̵¿Ã¢ ±³¼ö, ´ëÇÑÀ̺ñÀÎÈİúÇÐȸ ÃÖ¿ì¼ö ±¸¿¬»ó¡¤ÃÖ¿ì¼ö Æ÷½ºÅÍ»ó
Á¶Àç¿ì ±³¼ö(°í´ë±¸·Îº´¿ø Á¤Çü¿Ü°ú), ´ëÇѰñÀýÇÐȸ ÃÖ´Ù³í¹®»ó
´ëÇÑÀÇ»çÇùȸ ºÎȸÀå ¹éÇö¿í¡¤Àǹ«ÀÌ»ç ¿Àµ¿È£¡¤Á¤º¸Åë½ÅÀÌ»ç À¯¼Ò¿µèâ
Çѱ¹Á¦¾à¹ÙÀÌ¿ÀÇùȸ ÀǾàǰ±¤°í½ÉÀÇÀ§¿øÈ¸ À§¿øÀå ±è¼ºÁø¡¤ºÎÀ§¿øÀå ÀÌÁØÈñ¡¤ÀåÃá°ï èâ
¹è±â¼ö ±³¼ö(¾ÆÁִ뺴¿ø ¼Ò¾ÆÃ»¼Ò³â°ú), Á¦100ȸ ¾î¸°À̳¯ ¿ÁÁ¶±ÙÁ¤ÈÆÀå
À̺´ÈÆ¡¤½ÉÀç¾Ó ±³¼öÆÀ(±æº´¿ø Á¤Çü¿Ü°ú), ´ëÇѰñÀýÇÐȸ ¿ÃÇØ ¿ì¼ö ±¸¿¬»ó
³²°¡Àº ±³¼ö(°í´ë±¸·Îº´¿ø °¡Á¤ÀÇÇаú), Çѱ¹¿©ÀÚÀÇ»çȸ Á¦4ȸ ÀþÀºÀÇÇÐÀÚ Çмú»ó
±¹¸³Áß¾ÓÀÇ·á¿ø Áß¾ÓÀÀ±ÞÀÇ·á¼¾ÅÍÀå ±è¼ºÁß(Á¶¼±´ëº´¿ø ÀÀ±ÞÀÇÇаú ±³¼ö)
ÃÖÁ¤¿õ ¿µ°æÀÇ·áÀç´Ü ÀüÁÖº´¿ø ÀÌ»çÀå, ¾Æµ¿º¸È£»ç¾÷ ±â±Ý 4000¸¸¿ø
±è¿µÁÖ ±³¼ö(ÀÌ´ë¸ñµ¿º´¿ø »êºÎÀΰú), Á¦13ȸ Çѵ¶¿©ÀÇ»çÇмú´ë»ó
¹ÚÂùÈì ±³¼ö(ÇѸ²´ëÃáõ¼º½Éº´¿ø À̺ñÀÎÈİú), ´ëÇÑÀ̺ñÀÎÈİúÇÐȸ Çмú»ó
Á¶¼öÁø ±³¼ö(ÇѸ²´ëµ¿Åº¼º½Éº´¿ø ½Å°æ°ú), Á¦26ȸ JWÁß¿ÜÇмú´ë»ó
¼­Á¤°Ç ¿¬¼¼¼­³»°ú ¿øÀå ÀåÀλó