2025³â12¿ù21ÀÏsun
·Î±×ÀÎ | ȸ¿ø°¡ÀÔ
OFF
Æ®À§ÅÍ·Î º¸³»±â ½ÎÀÌ¿ùµå °ø°¨
±â»ç±ÛÈ®´ë ±â»ç±ÛÃà¼Ò ±â»ç½ºÅ©·¦ À̸ÞÀϹ®ÀÇ ÇÁ¸°Æ®Çϱâ
¼­¿ï´ë, Äڷγª19 CT ºÐ¼® ¼ÒÇÁÆ®¿þ¾î °³¹ß¡¤¹èÆ÷
ÀΰøÁö´É(AI) ÀǷ῵»ó ºÐ¼® Ç÷§Æû ¹× 3DÇÁ¸°ÆÃ Àü¹®±â¾÷°ú °øµ¿ ÁøÇà
[ 2020³â 03¿ù 22ÀÏ 16½Ã 24ºÐ ]

[
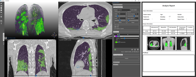
µ¥Àϸ®¸Þµð ¹Ú´ëÁø ±âÀÚ] ¼­¿ï´ëÇб³º´¿ø ¿µ»óÀÇÇаú ÀÇ·áÁøÀÌ ±¹³» ´Ù±â°ü ¿¬±¸Áø°ú Çù·ÂÇØ Äڷγª19 CT ºÐ¼® ¼ÒÇÁÆ®¿þ¾î¸¦ °³¹ßÇϰí, À̸¦ Àü¼¼°è¿¡ ¹«·á·Î ¹èÆ÷Çß´Ù.
 
ÇØ´ç ¼ÒÇÁÆ®¿þ¾î´Â ÀΰøÁö´É(AI) ÀǷ῵»ó ºÐ¼® Ç÷§Æû ¹× ÀÇ·á¿ë 3DÇÁ¸°ÆÃ Àü¹®±â¾÷ÀÌÀÚ ¼­¿ï´ëº´¿ø ½ºÇÉ¿ÀÇÁ º¥Ã³È¸»çÀÎ ¸ÞµðÄþÆÀÌÇÇÀÇ ±â¼úÀ» ±â¹ÝÀ¸·Î °³¹ßµÆ´Ù.
 
¸ÞµðÄþÆÀÌÇÇ´Â CT, MRI µî 2Â÷¿ø ÀǷ῵»óÀ» 3Â÷¿øÀ¸·Î Áï°¢ ±¸ÇöÇϰí À̸¦ ºÐÇÒ ¹× ºÐ¼®ÇÒ ¼ö ÀÖ´Â ¿øÃµ±â¼úÀ» º¸À¯Çϰí ÀÖ´Ù.
 
Àü ¼¼°èÀûÀ¸·Î Äڷγª ÀǽÉȯÀÚ¿Í È®ÁøÀÚ ¼ö°¡ ±ÞÁõÇÏ´Â °¡¿îµ¥ Á¶±âÁø´Ü°ú ÁßÁõµµ ÆÇ´ÜÀº ¸Å¿ì Áß¿äÇÑ È­µÎ·Î ¶°¿Ã¶ú´Ù.
 
¼ÒÇÁÆ®¿þ¾î´Â ¸ÞµðÄþÆÀÌÇÇ È¨ÆäÀÌÁö¸¦ ÅëÇØ ¹«·á·Î ´Ù¿î·Îµå ¹ÞÀ» ¼ö ÀÖÀ¸¸ç, Äڷγª19 ȯÀÚÀÇ CT ¿µ»óÀ» ºÐ¼®ÇØ 1ºÐ ³»¿Ü·Î Äڷγª Æó·ÅÀ» ÀÚµ¿À¸·Î ŽÁö, ºÐÇÒ, Á¤·®È­ÇÑ´Ù.
 
À̸¦ ÅëÇØ Æó·ÅÀÌ ½ÉÇÑ ÁßÁõȯÀÚ ¼±º°°ú ¸ð´ÏÅ͸µ¿¡ ±â¿©ÇÒ °ÍÀ¸·Î ±â´ëµÈ´Ù.
djpark@dailymedi.com
À̱âÀÚÀÇ ´Ù¸¥´º½ºº¸±â
¹«ÅëÀåÀÔ±Ý Á¤º¸ÀÔ·Â ÀÔ±ÝÀÚ¸í ÀԱݿ¹Á¤ÀÏÀÚ
(ÀÔ±ÝÇÏ½Ç ÀÔ±ÝÀÚ¸í + ÀԱݿ¹Á¤ÀÏÀÚ¸¦ ÀÔ·ÂÇϼ¼¿ä)
[°ü·Ã´º½º]
¼­¿ï´ëº´¿ø, ÀüÈ­Áø·á À̾î 'ÀüÀÚó¹æÀü' ¹ßÇà
Æ®À§ÅÍ·Î º¸³»±â ½ÎÀÌ¿ùµå °ø°¨
±â»ç±ÛÈ®´ë ±â»ç±ÛÃà¼Ò ±â»ç½ºÅ©·¦ À̸ÞÀϹ®ÀÇ ÇÁ¸°Æ®Çϱâ
¸íÁöº´¿ø, ͺ À̰ÇÈñ ȸÀå ÁÖÄ¡ÀÇ À̰­¿ì ±³¼ö(»ï¼º¼­¿ïº´¿ø ÀçȰÀÇÇаú) ¿µÀÔ
´ëÀü¼º¸ðº´¿ø ±èµ¿±â¡¤À̵¿Ã¢ ±³¼ö, ´ëÇÑÀ̺ñÀÎÈİúÇÐȸ ÃÖ¿ì¼ö ±¸¿¬»ó¡¤ÃÖ¿ì¼ö Æ÷½ºÅÍ»ó
Á¶Àç¿ì ±³¼ö(°í´ë±¸·Îº´¿ø Á¤Çü¿Ü°ú), ´ëÇѰñÀýÇÐȸ ÃÖ´Ù³í¹®»ó
´ëÇÑÀÇ»çÇùȸ ºÎȸÀå ¹éÇö¿í¡¤Àǹ«ÀÌ»ç ¿Àµ¿È£¡¤Á¤º¸Åë½ÅÀÌ»ç À¯¼Ò¿µèâ
Çѱ¹Á¦¾à¹ÙÀÌ¿ÀÇùȸ ÀǾàǰ±¤°í½ÉÀÇÀ§¿øÈ¸ À§¿øÀå ±è¼ºÁø¡¤ºÎÀ§¿øÀå ÀÌÁØÈñ¡¤ÀåÃá°ï èâ
¹è±â¼ö ±³¼ö(¾ÆÁִ뺴¿ø ¼Ò¾ÆÃ»¼Ò³â°ú), Á¦100ȸ ¾î¸°À̳¯ ¿ÁÁ¶±ÙÁ¤ÈÆÀå
À̺´ÈÆ¡¤½ÉÀç¾Ó ±³¼öÆÀ(±æº´¿ø Á¤Çü¿Ü°ú), ´ëÇѰñÀýÇÐȸ ¿ÃÇØ ¿ì¼ö ±¸¿¬»ó
³²°¡Àº ±³¼ö(°í´ë±¸·Îº´¿ø °¡Á¤ÀÇÇаú), Çѱ¹¿©ÀÚÀÇ»çȸ Á¦4ȸ ÀþÀºÀÇÇÐÀÚ Çмú»ó
±¹¸³Áß¾ÓÀÇ·á¿ø Áß¾ÓÀÀ±ÞÀÇ·á¼¾ÅÍÀå ±è¼ºÁß(Á¶¼±´ëº´¿ø ÀÀ±ÞÀÇÇаú ±³¼ö)
ÃÖÁ¤¿õ ¿µ°æÀÇ·áÀç´Ü ÀüÁÖº´¿ø ÀÌ»çÀå, ¾Æµ¿º¸È£»ç¾÷ ±â±Ý 4000¸¸¿ø
±è¿µÁÖ ±³¼ö(ÀÌ´ë¸ñµ¿º´¿ø »êºÎÀΰú), Á¦13ȸ Çѵ¶¿©ÀÇ»çÇмú´ë»ó
¹ÚÂùÈì ±³¼ö(ÇѸ²´ëÃáõ¼º½Éº´¿ø À̺ñÀÎÈİú), ´ëÇÑÀ̺ñÀÎÈİúÇÐȸ Çмú»ó
Á¶¼öÁø ±³¼ö(ÇѸ²´ëµ¿Åº¼º½Éº´¿ø ½Å°æ°ú), Á¦26ȸ JWÁß¿ÜÇмú´ë»ó
¼­Á¤°Ç ¿¬¼¼¼­³»°ú ¿øÀå ÀåÀλó